Toggle navigation
牙科美容資訊
全部文章
全瓷冠貼片
牙齒美白
全瓷嵌體
人工植牙
健康保健
案例介紹
全部案例
全瓷冠貼片
牙齒美白
全瓷嵌體
植牙全口重建
醫師動態
診所資訊
回首頁
張凱榮醫師
Dr. Chang Kai Jung
案例介紹
2018-07-10
假牙太長---全瓷冠合併矯正治療
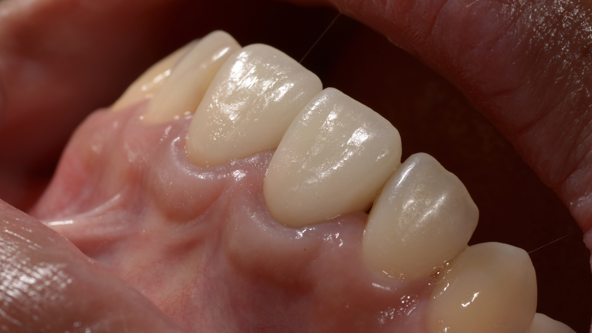
C小姐早期治療的假牙,一直感覺牙齒過長、不好看,榮醫師經由局部矯正,將牙齦被動生長,再經由臨時假牙,牙齦整形,讓全瓷冠恢復到正常長度,讓蔡小姐不再為自己的牙齒感到害羞
網站照片.001
SHARE :