Toggle navigation
牙科美容資訊
全部文章
全瓷冠貼片
牙齒美白
全瓷嵌體
人工植牙
健康保健
案例介紹
全部案例
全瓷冠貼片
牙齒美白
全瓷嵌體
植牙全口重建
醫師動態
診所資訊
回首頁
張凱榮醫師
Dr. Chang Kai Jung
牙科美容資訊
牙齒美白
2019-04-08
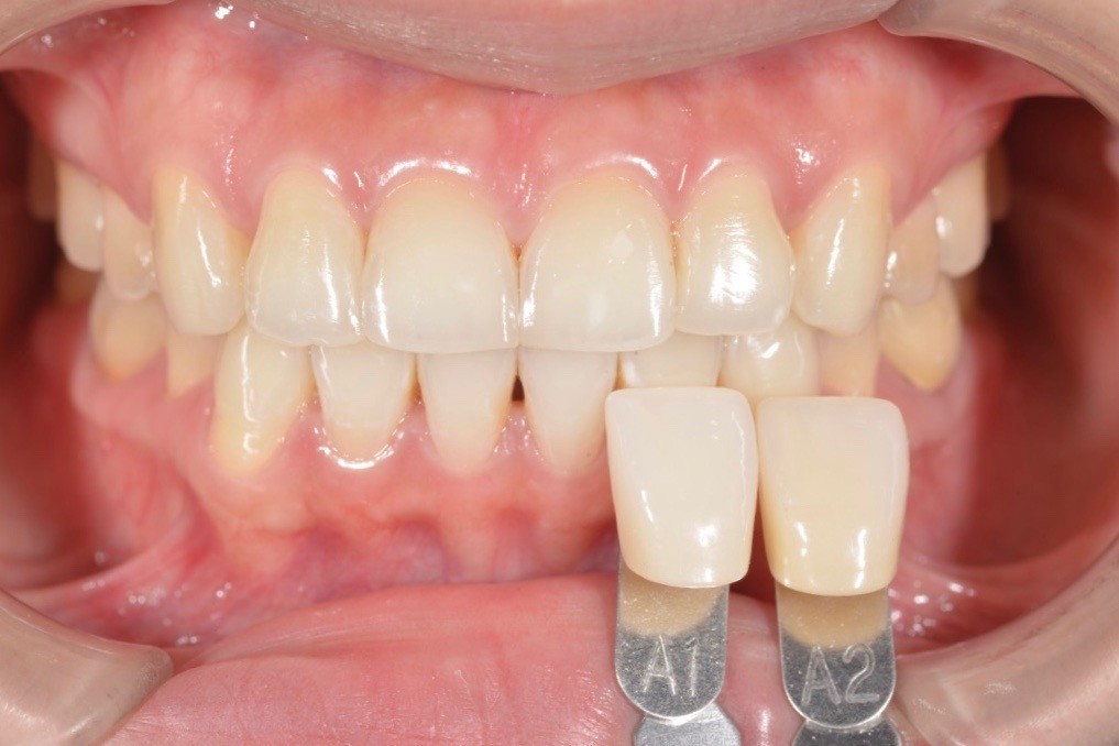
牙齒美白可以美白幾個色階呢?
閱讀更多
2019-04-07
美白後牙齒怎麼還會有點黃黃的?
閱讀更多
2018-11-12
有假牙能不能美白呢?
閱讀更多
2018-07-08
牙齒美白三部曲(三)---牙齒美白步驟
閱讀更多
Prev
1
2
Next