• 牙科美容資訊
    • 全部文章
    • 全瓷冠貼片
    • 牙齒美白
    • 全瓷嵌體
    • 人工植牙
    • 健康保健
  • 案例介紹
    • 全部案例
    • 全瓷冠貼片
    • 牙齒美白
    • 全瓷嵌體
    • 植牙全口重建
  • 醫師動態
  • 診所資訊
  • 回首頁

張凱榮醫師

Dr. Chang Kai Jung

案例介紹

  • 牙齒咬起來怪怪的,原來是邊緣裂了一個縫,沒想到裡面牙齒蛀這麼大------全瓷嵌體修復
    牙齒咬起來怪怪的,原來是邊緣裂了一個縫,沒想到裡面牙齒蛀這麼大------全瓷嵌體修復
  • 牙齒補得好像掉了,好容易塞食物,打開發現牙齒快要蛀光了------全瓷嵌體修復
    牙齒補得好像掉了,好容易塞食物,打開發現牙齒快要蛀光了------全瓷嵌體修復
  • 我的前牙假牙一直掉,都黏不回去,該怎麼辦呢?-----植牙、全瓷冠、貼片全口重建
    我的前牙假牙一直掉,都黏不回去,該怎麼辦呢?-----植牙、全瓷冠、貼片全口重建
  • 榮醫師,我覺得我的門牙平平的,而且顏色偏黃,該怎麼辦呢?------牙冠增長術與全瓷貼片
    榮醫師,我覺得我的門牙平平的,而且顏色偏黃,該怎麼辦呢?------牙冠增長術與全瓷貼片
  • 榮醫師!!!我的牙齒圖然變黑了怎麼辦?------根管治療與尺內美白
    榮醫師!!!我的牙齒圖然變黑了怎麼辦?------根管治療與尺內美白
  • 我的側門牙有點小,該怎麼辦呢?------側門牙錐狀牙,全瓷冠修復
    我的側門牙有點小,該怎麼辦呢?------側門牙錐狀牙,全瓷冠修復
  • 我的牙齒黃黃的,可以怎麼處理呢?------全瓷貼片搭配下顎美白治療
    我的牙齒黃黃的,可以怎麼處理呢?------全瓷貼片搭配下顎美白治療
  • 我的牙齒咬破了,感覺牙齦有點痛痛的-----牙冠增長術後,全瓷嵌體修復
    我的牙齒咬破了,感覺牙齦有點痛痛的-----牙冠增長術後,全瓷嵌體修復
  • 牙齒咬起來怪怪的,有點不舒服------牙齒裂痕,造成牙髓壞死,顯微根管與全瓷嵌體修復
    牙齒咬起來怪怪的,有點不舒服------牙齒裂痕,造成牙髓壞死,顯微根管與全瓷嵌體修復
  • 我的舊假牙破了,邊緣有黑邊,而且牙齦還腫起來怎麼辦?------植牙、全瓷冠、貼片治療
    我的舊假牙破了,邊緣有黑邊,而且牙齦還腫起來怎麼辦?------植牙、全瓷冠、貼片治療
  • 舊假牙大小不一,樹脂變色,牙齦高度不一致怎麼辦呢?------牙冠增長術與牙齒美白後,全瓷冠與貼片修復
    舊假牙大小不一,樹脂變色,牙齦高度不一致怎麼辦呢?------牙冠增長術與牙齒美白後,全瓷冠與貼片修復
  • 牙齒錯咬改善後,牙齒外觀不協調一致怎麼處理呢?------全瓷冠貼片修復,利用雙層冠改善變色牙根
    牙齒錯咬改善後,牙齒外觀不協調一致怎麼處理呢?------全瓷冠貼片修復,利用雙層冠改善變色牙根
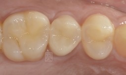
  • 牙齒偶爾覺得酸酸的,原來蛀了那麼大一個洞------MTA(三氧礦化物)保護牙髓,再用陶瓷嵌體恢復牙齒結構
    牙齒偶爾覺得酸酸的,原來蛀了那麼大一個洞------MTA(三氧礦化物)保護牙髓,再用陶瓷嵌體恢復牙齒結構
  • 十年之約------兒童門牙撞斷,馬利蘭牙橋修復,成年後再補骨植牙修復
    十年之約------兒童門牙撞斷,馬利蘭牙橋修復,成年後再補骨植牙修復
  • 小時候車禍牙齒撞歪了,而且還把一顆牙齒撞沒了------矯正、植牙合併全瓷冠修復
    小時候車禍牙齒撞歪了,而且還把一顆牙齒撞沒了------矯正、植牙合併全瓷冠修復
  • 舊假牙邊緣變色、牙齦變黑、舊牙冠顏色不和諧------全瓷冠搭配牙冠增長術
    舊假牙邊緣變色、牙齦變黑、舊牙冠顏色不和諧------全瓷冠搭配牙冠增長術
  • 我怎麼覺得牙齒笑起來呆呆地------全瓷冠修復
    我怎麼覺得牙齒笑起來呆呆地------全瓷冠修復
  • 牙齒暴、笑起來牙齦多、假牙變色要怎麼處理呢?------矯正後全瓷冠貼片治療
    牙齒暴、笑起來牙齦多、假牙變色要怎麼處理呢?------矯正後全瓷冠貼片治療
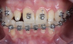
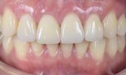
  • 矯正後發現牙齒偏小------全瓷冠貼片修復
    矯正後發現牙齒偏小------全瓷冠貼片修復
  • 醫師,我的瓷牙冠顏色都不一樣------全瓷冠貼片修復
    醫師,我的瓷牙冠顏色都不一樣------全瓷冠貼片修復
  • 前牙笑起來像哭臉------反微笑曲線、矯正、全瓷冠
    前牙笑起來像哭臉------反微笑曲線、矯正、全瓷冠
  • 牙齒殺手,嬰兒殺———植牙全瓷冠修復
    牙齒殺手,嬰兒殺———植牙全瓷冠修復
  • 門牙舊假牙黑邊露出來,根管治療後的牙齒變色------全瓷冠貼片搭配修復
    門牙舊假牙黑邊露出來,根管治療後的牙齒變色------全瓷冠貼片搭配修復
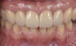
  • 我覺得我的牙齒好黃不好看------全瓷冠貼片全口重建
    我覺得我的牙齒好黃不好看------全瓷冠貼片全口重建
  • Prev
  • 1
  • 2
  • 3
  • 4
  • 5
  • Next

© 2026 美容牙科張凱榮醫師. All Rights Reserved | Design by W3layouts

  • 牙科美容資訊
  • 案例介紹
  • 常見問題
  • 醫師動態
  • 診所資訊
  • 回首頁