假牙變色,齒色暗沈---全瓷冠併全口美白

陳小姐即將步入禮堂,但牙齒顏色暗沉跟多年的門牙舊假牙讓他很困擾,無法在最幸福的時刻,綻放最美的笑容......
榮醫師先將他牙齒美白、再將舊假牙更換成全瓷冠,給他滿滿幸福的笑容,讓她美美的迎接人生最幸福的一刻~~
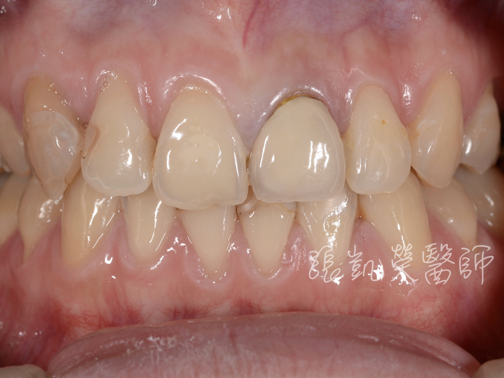
治療前,舊假牙邊緣黑黑的
治療前,舊假牙邊緣黑黑的

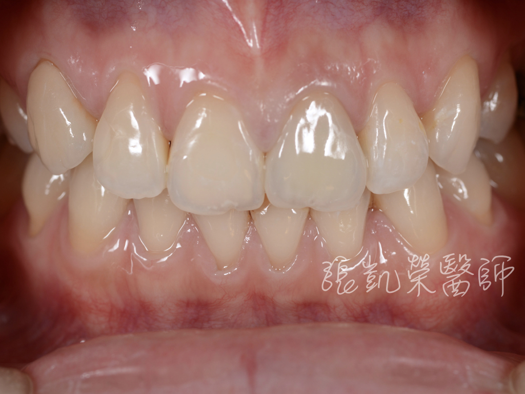
美白、全瓷冠治療後
美白、全瓷冠治療後

治療前,羞澀的笑容
治療前,羞澀的笑容

完成後
完成後