根管治療齒色變暗---全瓷冠合併齒內美白

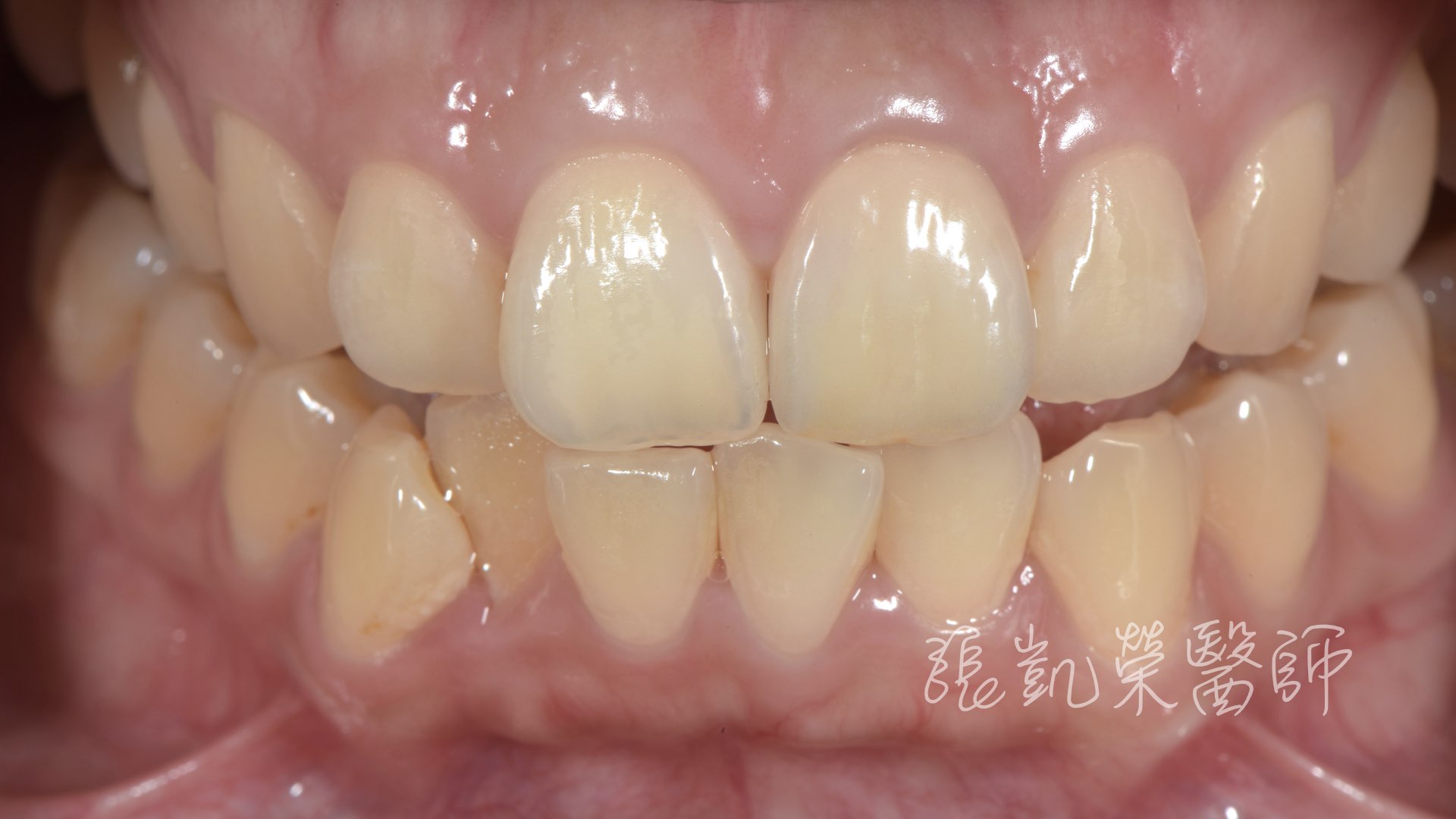
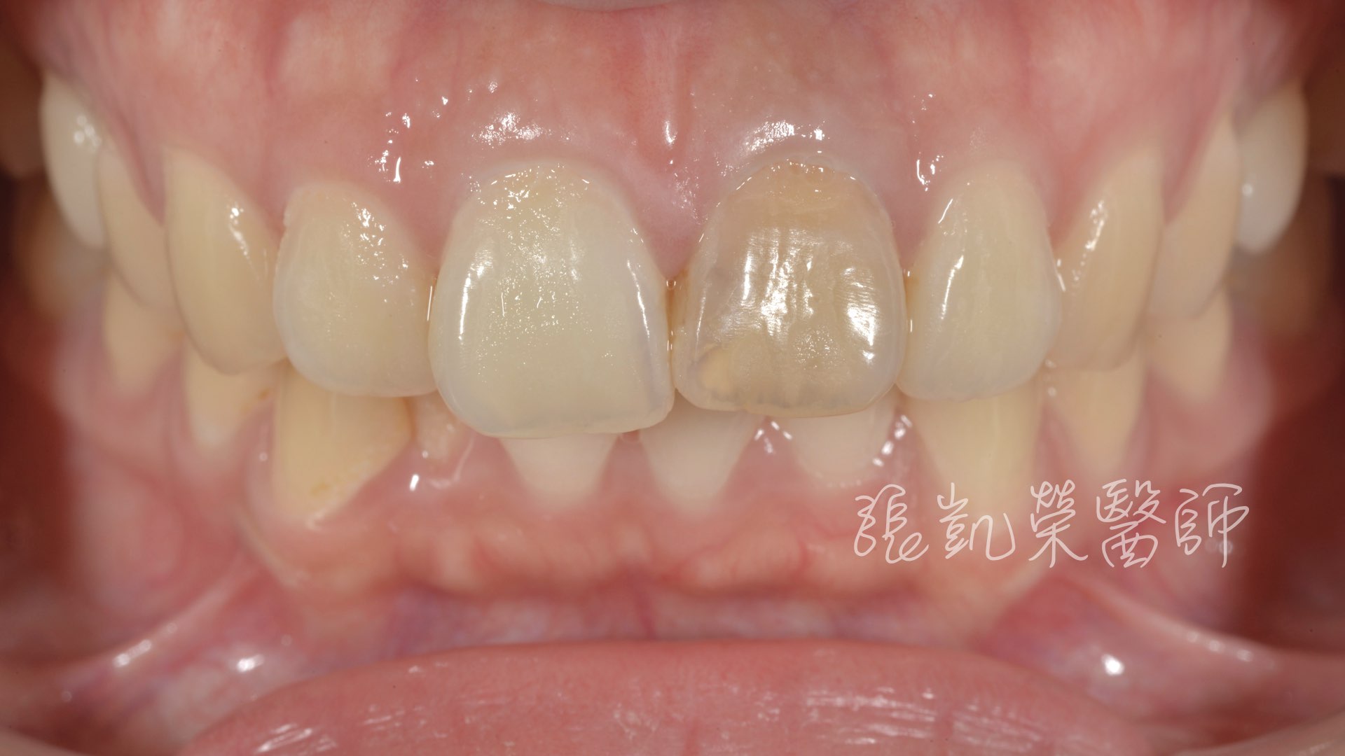
C小姐初到門診,年輕、氣質、美麗外,多了一份羞澀,榮醫師檢查後,發現C小姐門牙因為根管治療後,牙齒變暗變色,加上位置在門牙,所以他就不敢開懷大笑。
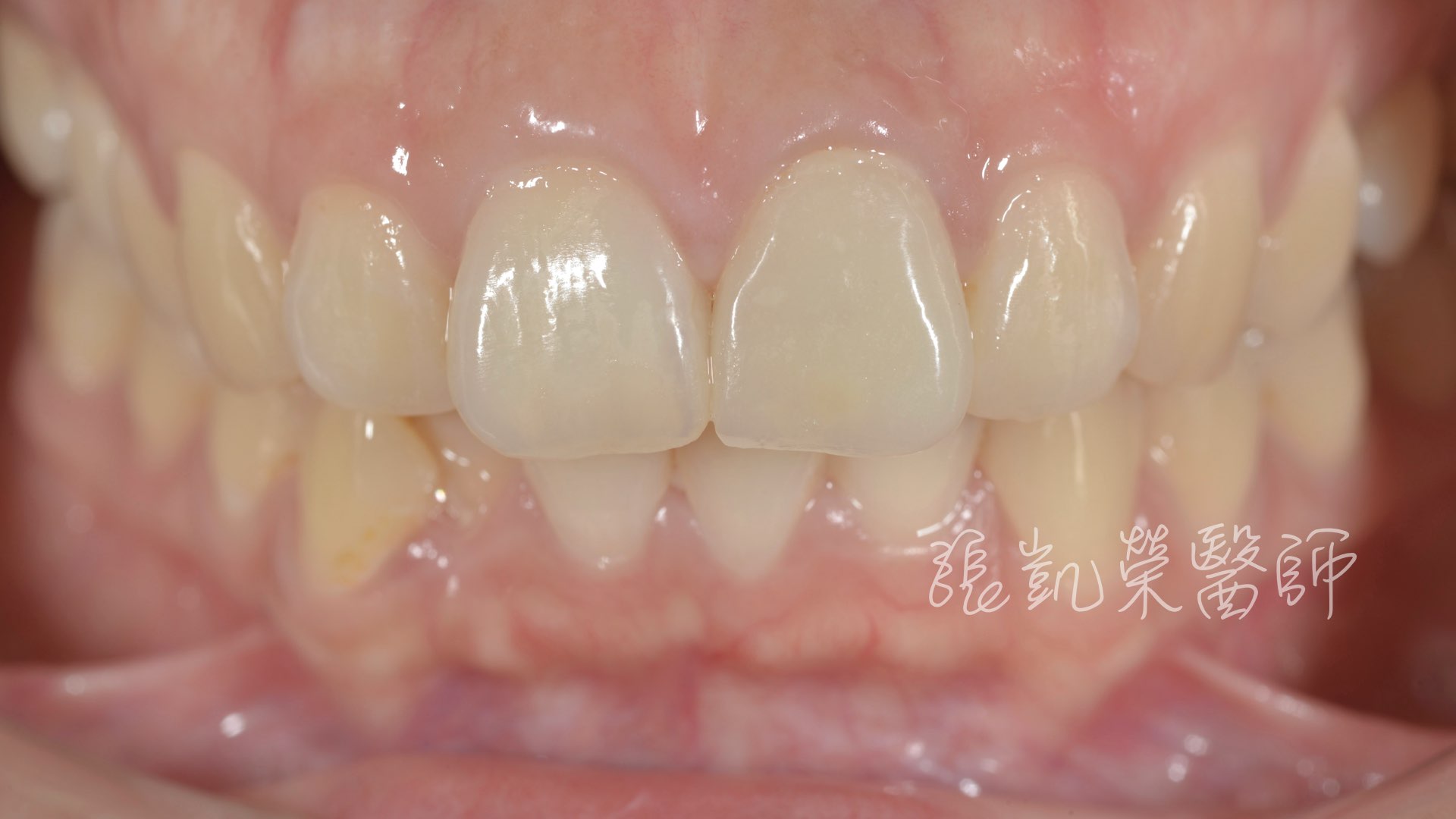
根管治療後,整個牙根都會變深,為了減少牙齦與全瓷冠透出暗影,所以全瓷冠之前,榮醫師先將牙齒內部做『齒內美白』,等牙根整個漂白後,再將全瓷冠放上去,讓C小姐可以開懷放心的笑囉~~