牙冠邊緣變黑,門牙無微笑曲線---全瓷冠全瓷貼片合併全口美白

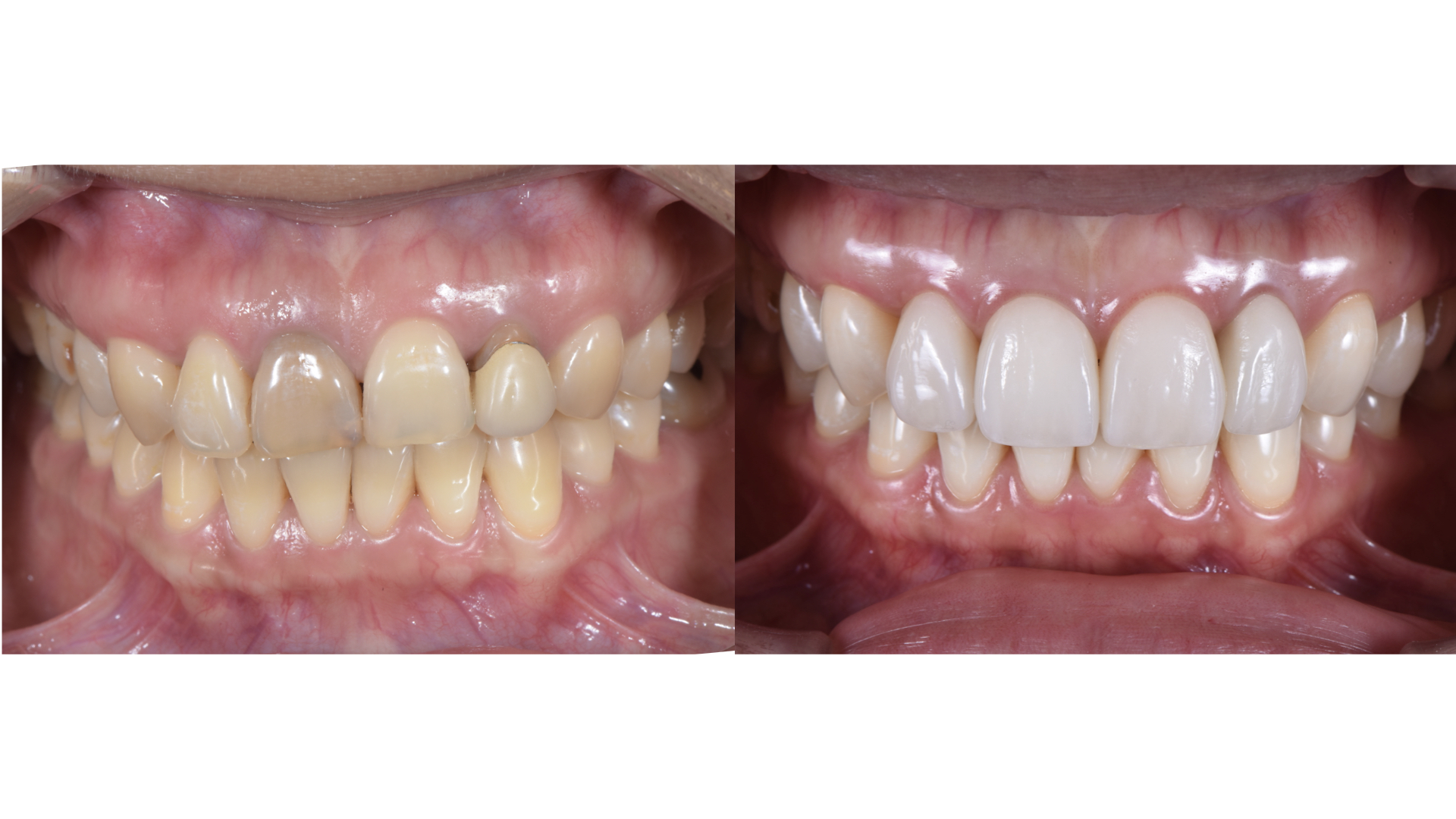
廖小姐對於門牙的舊假牙邊緣變黑很不滿意,而且牙齒偏黃,每次照相都只是微笑,總是對自己的笑容沒自信。
榮醫師診察後,除了牙齒顏色偏暗、舊假牙不美觀外,門牙排列與長度也可以適當做些調整,可以讓微笑曲線更協調。

榮醫師先做了數位模擬,讓廖小姐有具體實物可以參考,了解榮醫師建議的微笑曲線是否本人也滿意;溝通完畢後,做了全口美白、全瓷冠、全瓷貼片,除了改善原本在意的問題,也讓笑容和諧度整體提升,能有自信的笑容。