牙齒些微不整齊,多數樹脂填補變色---全瓷貼片合併全口美白

L小姐年輕、自信、美麗,但是對於牙齒一直有些不滿意,感覺總是哪裡怪怪的。
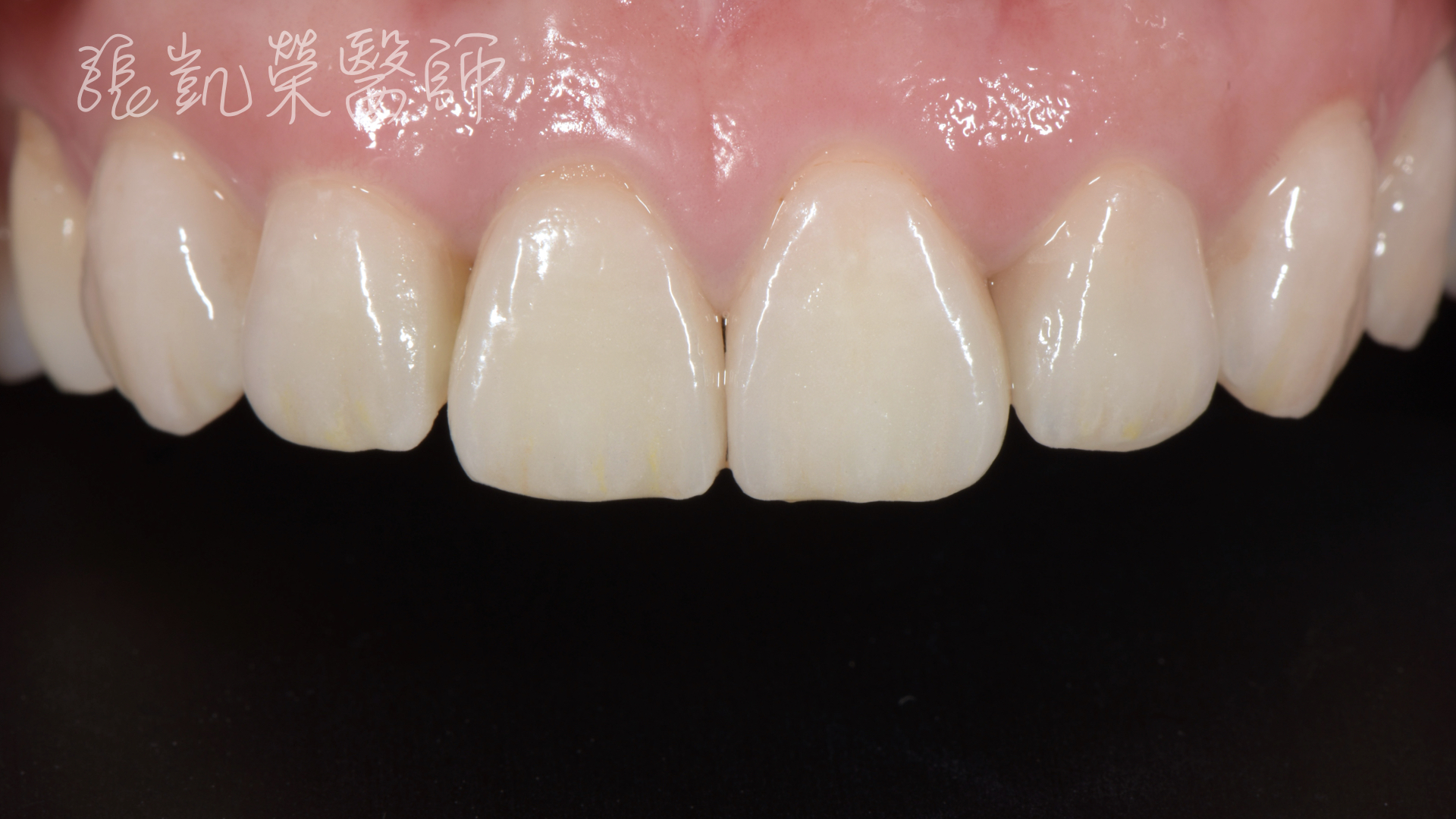
榮醫師檢查後,發現牙齒有點排列不整齊、多處樹脂填補變色、顏色偏暗,建議利用貼片,可以一次改善牙齒不整齊、樹脂變色、顏色偏暗的問題,但是在貼片治療前,需要先把舊的樹脂填補通通換掉,一來可以把顏色不好的樹脂改掉,二來也確定就樹脂下是否有蛀牙;讓L小姐擁有美麗與健康的自信笑容~~