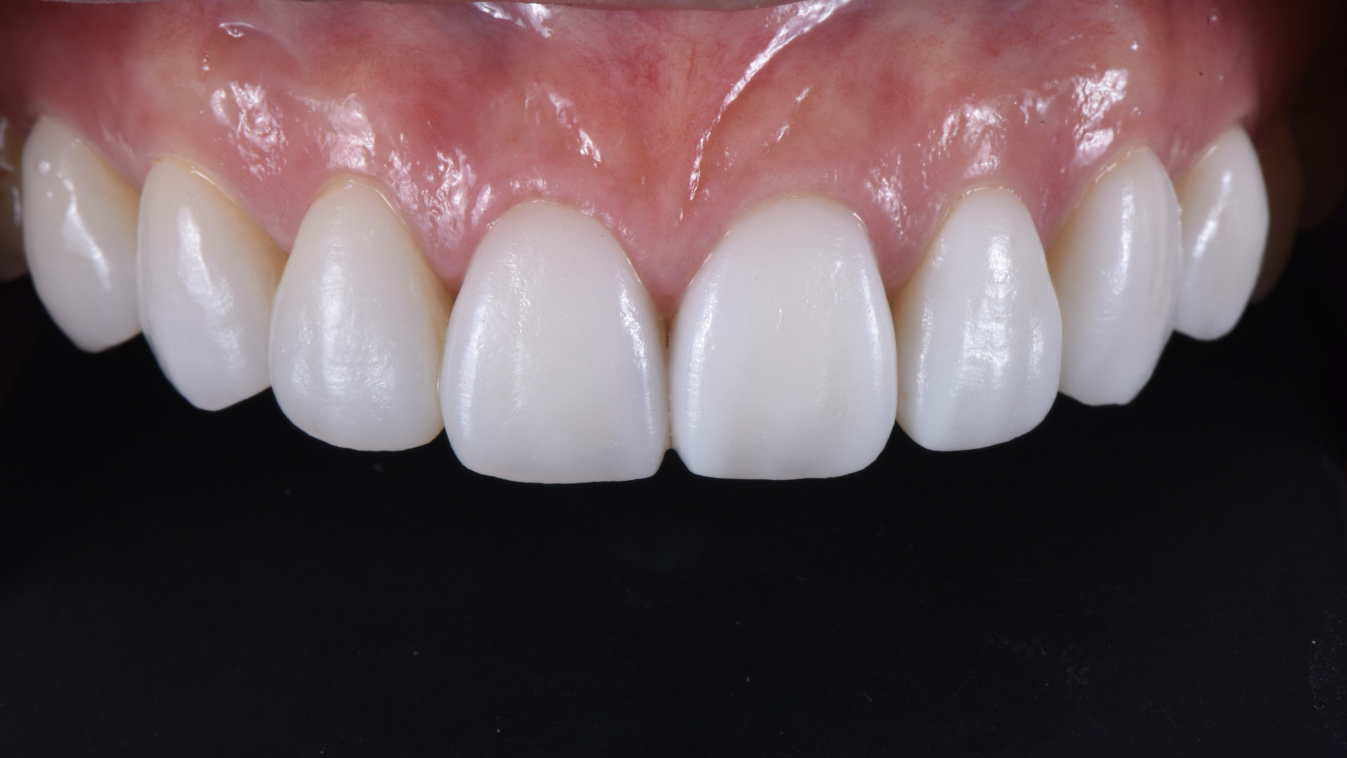
牙齒有點凸,顏色不好看---全瓷貼片矯正排列與增進亮白

陳小姐覺得自己牙齒有點暴,排列不整齊,也覺得牙齒顏色太黃,每次笑起來都覺得有點不好意思......

諮詢矯正後,矯正醫師提到因為臉型關係,矯正後有可能法令紋變深,所以一直令陳小姐不敢嘗試。

來榮醫師診間,經由評估與數位微笑設計,經過數次的溝通,決定用貼片的方式,改善門牙暴牙、牙齒排列、提升牙齒亮白,讓陳小姐不再為笑容煩惱。




數位微笑設計
數位微笑設計