牙齒突然變黑---齒內美白

根管治療時,如果治療中的紅血球與其他物質沈積在牙齒內,或是牙齒因矯正、外傷造成神經受損,時間久了,牙齒會變暗沉。
將牙髓管腔下部緻密封填後,將美白藥劑放入上部牙髓腔,清除內部雜質,還原牙齒亮白顏色~~
齒內美白前,牙齒變色
齒內美白前,牙齒變色

齒內美白後
齒內美白後

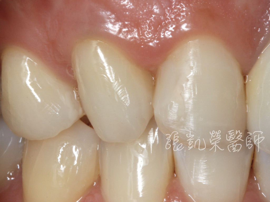
齒內美白前,犬齒變色很明顯
齒內美白前,犬齒變色很明顯

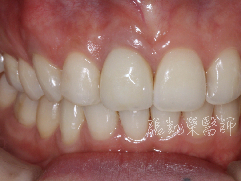
齒內美白後
齒內美白後