磨牙牙齒變短---全瓷貼片修復

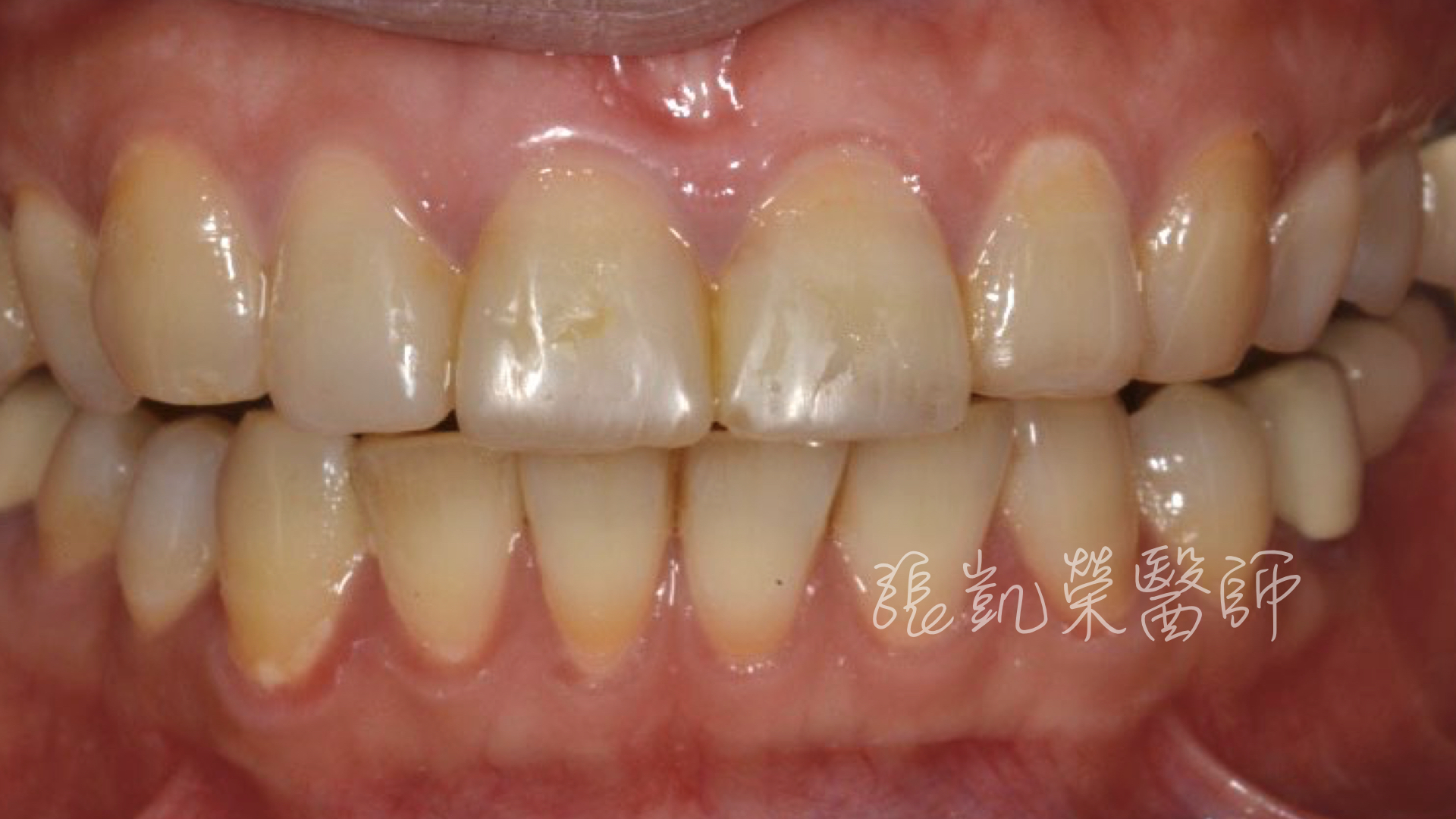
T小姐來到榮醫師診間,因為以前工作壓力大,有磨牙的習慣,現在已經戒除這習慣,不過牙齒短短平平的,笑起來感覺很老,想要有年輕人的微笑曲線,但是又不想把整顆牙齒磨調做假牙,不知道有沒有解決方式呢?
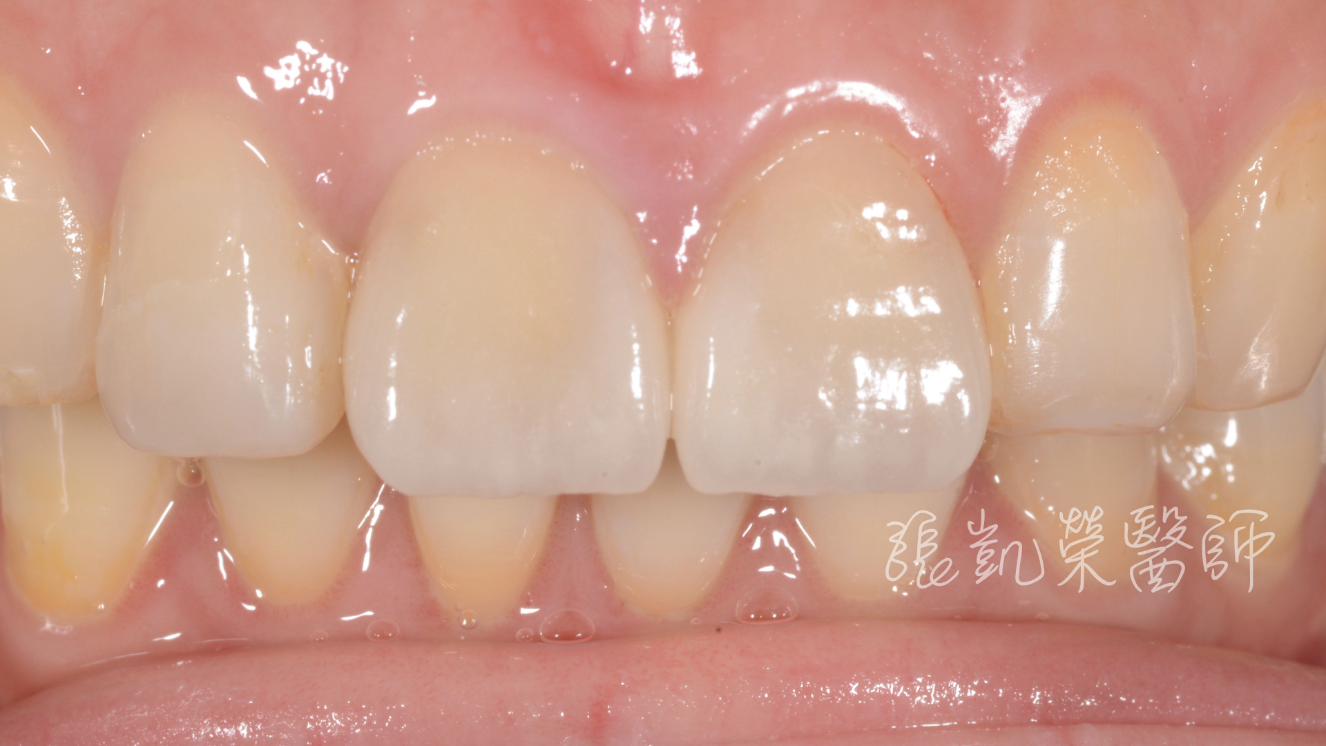
榮醫師的經驗中,磨牙對於貼片的風險蠻高的,所以先用樹脂將型態調整,經過四個月的測試,就如T小姐說的,已經沒有磨牙的狀況,再將牙齒少量休磨,製作門牙兩顆全瓷貼片,讓T小姐的笑容,再次年輕~~
磨牙、牙齒短
磨牙、牙齒短

樹脂測試
樹脂測試



貼片完成
貼片完成