笑齦太多---全瓷冠貼片併牙齦整形術

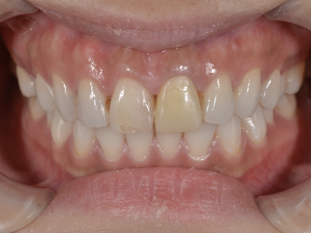
C小姐長期因為假牙跟牙齦露出太多,導致不敢開懷的笑,經由診斷後,發現牙齒比例偏短。
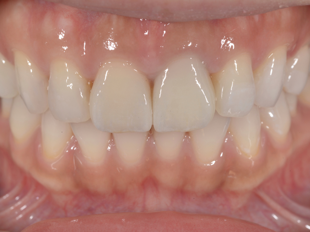
建議經由牙冠增長術改變牙齒比例,減少笑齦比例,再經由美白、貼片、全瓷冠處理,讓陳小姐可以自信拍出美美的婚紗~~
治療前
治療前

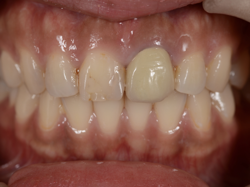
牙齦露出多、假牙不美觀
牙齦露出多、假牙不美觀

治療前正面紀錄
治療前正面紀錄

數位微笑設計(DSD)
數位微笑設計(DSD)

模擬微笑設計與溝通
模擬微笑設計與溝通

牙冠增長術
牙冠增長術

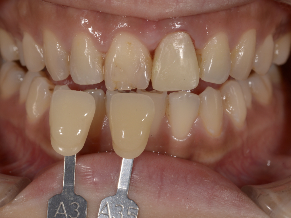
牙齒美白前
牙齒美白前

牙齒美白後
牙齒美白後

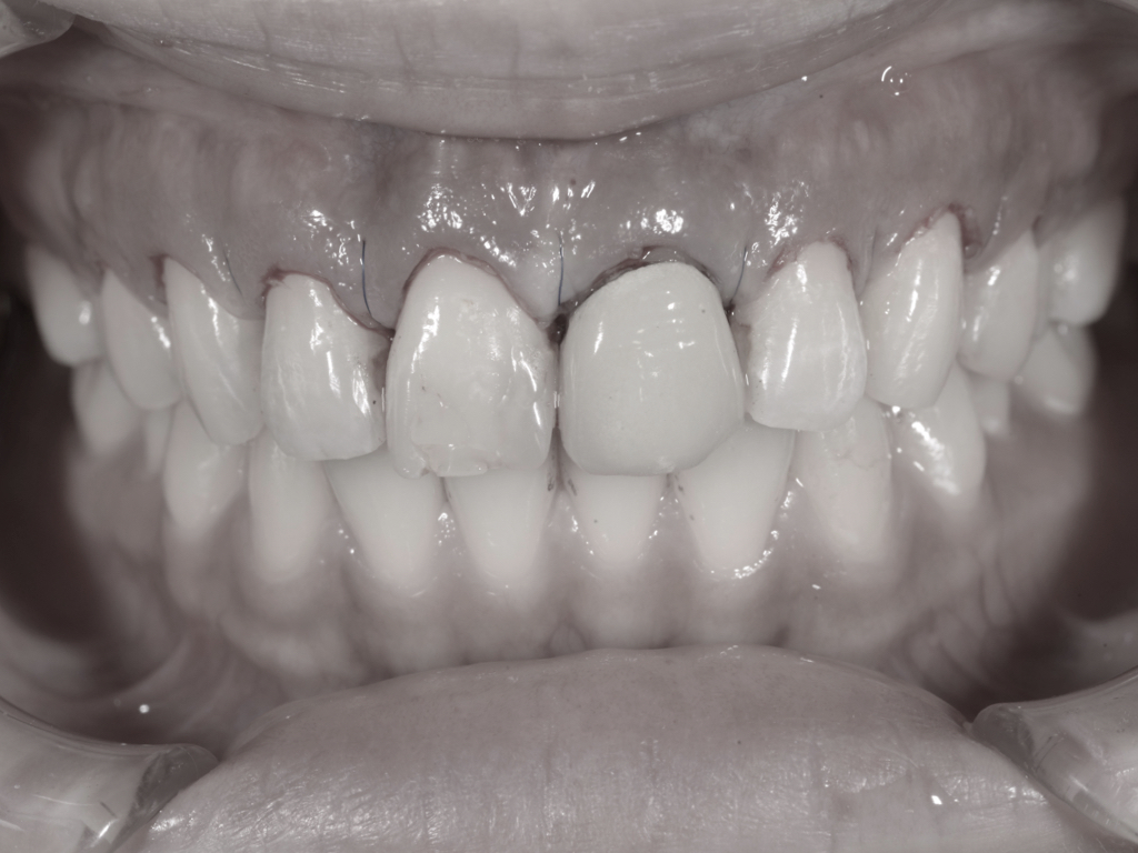
貼片與全瓷冠完成
貼片與全瓷冠完成

貼片與全瓷冠完成
貼片與全瓷冠完成

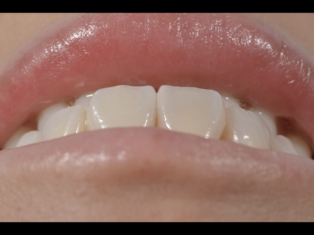
美美的婚紗照❤️
美美的婚紗照❤️

美美的婚紗照❤️
美美的婚紗照❤️