外傷門牙斷裂---微創貼片修復

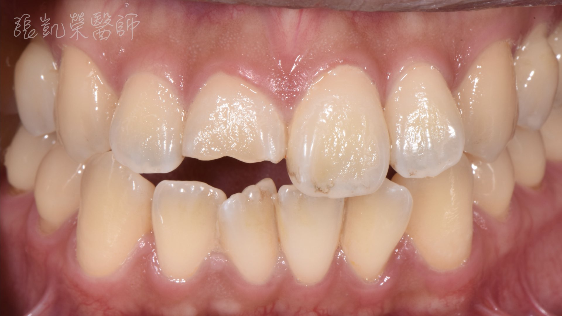
吳先生因為外傷造成門牙斷裂,而且位置就是在正中門牙,所以不論講話、發音、吃飯、一般社交都有很大的困擾。
來到榮醫師的門診,除了描述外傷病史外,還希望用『貼片』修復,能夠對牙齒傷害比較小。

聽到這裡,榮醫師心裡喜憂參半,喜的是,這樣的觀念很正確,對組織越小的傷害影響,這正是榮醫師治療的準則;但不要說貼片薄如0.5mm的空間,就算是一般全瓷冠1~1.5mm的修復空間,要做到單顆正中門牙型態、顏色、光澤、細節與鄰牙相似,也是很困難的,更何況在極薄0.5~1mm空間內模仿隔壁的牙齒。

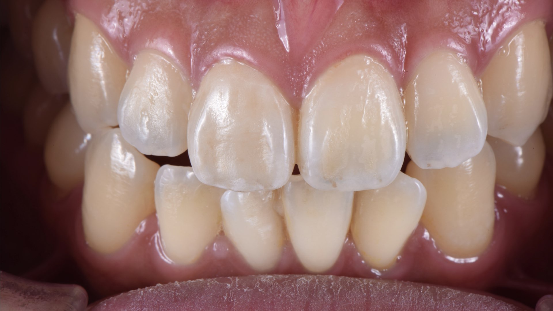
榮醫師跟神隊友---賴宏昇技師討論後,加上許多細節上調整,終於不負吳先生的信任,又完成了一次艱鉅的任務。