牙齒斷裂怎麼辦?---顯微貼片微創修復

周先生長年在國外工作,因為工作關係,門牙的斷裂讓他很困擾。
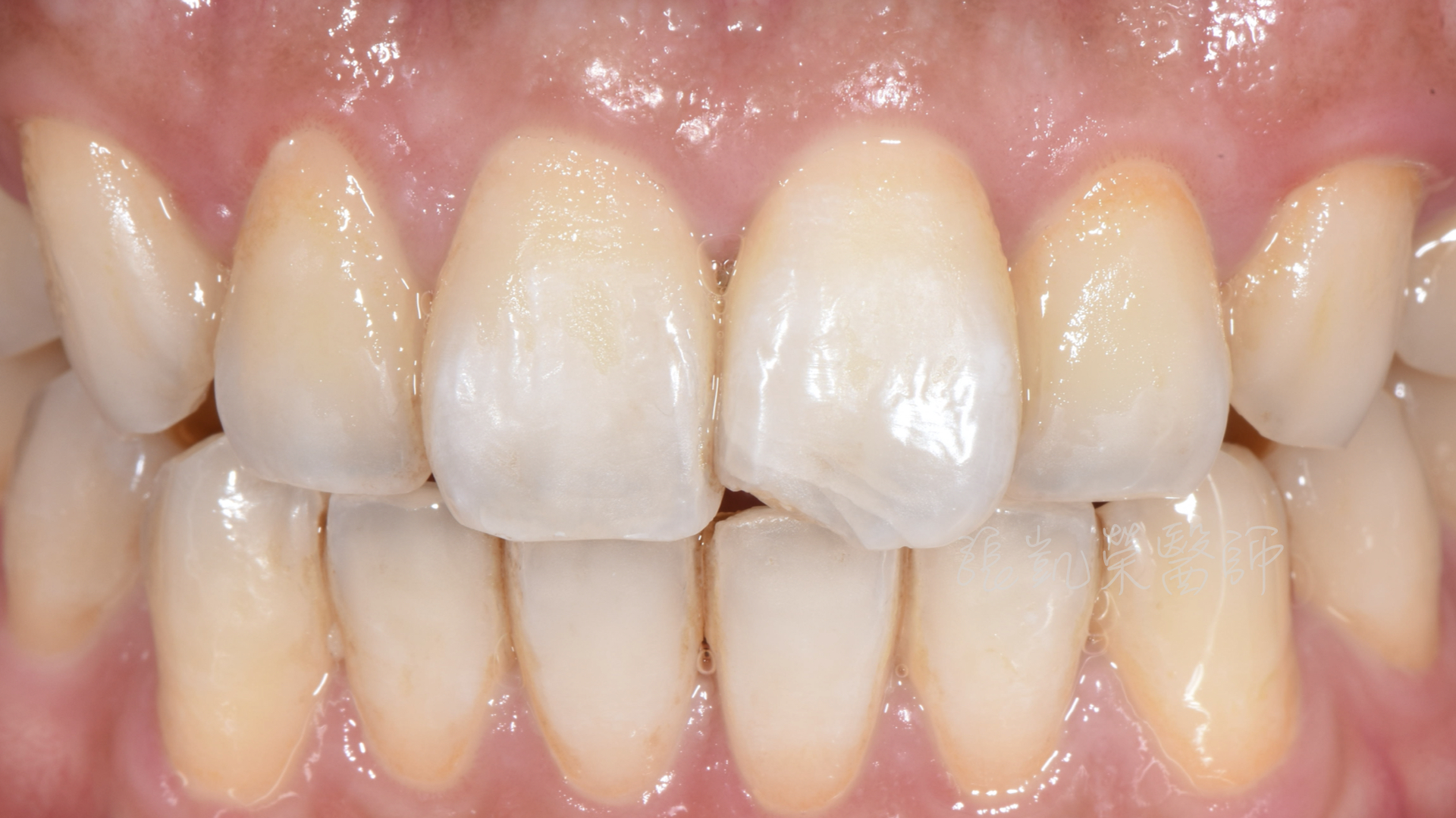
門牙從小有點不整齊,而且有次吃東西的時候咬到筷子,牙齒就斷了,多次樹脂填補,都撐不了太久,一陣子就會破裂、變色等,而且這幾年都在國外工作,總是在談論事情時,牙齒的問題總是讓自己很困擾。

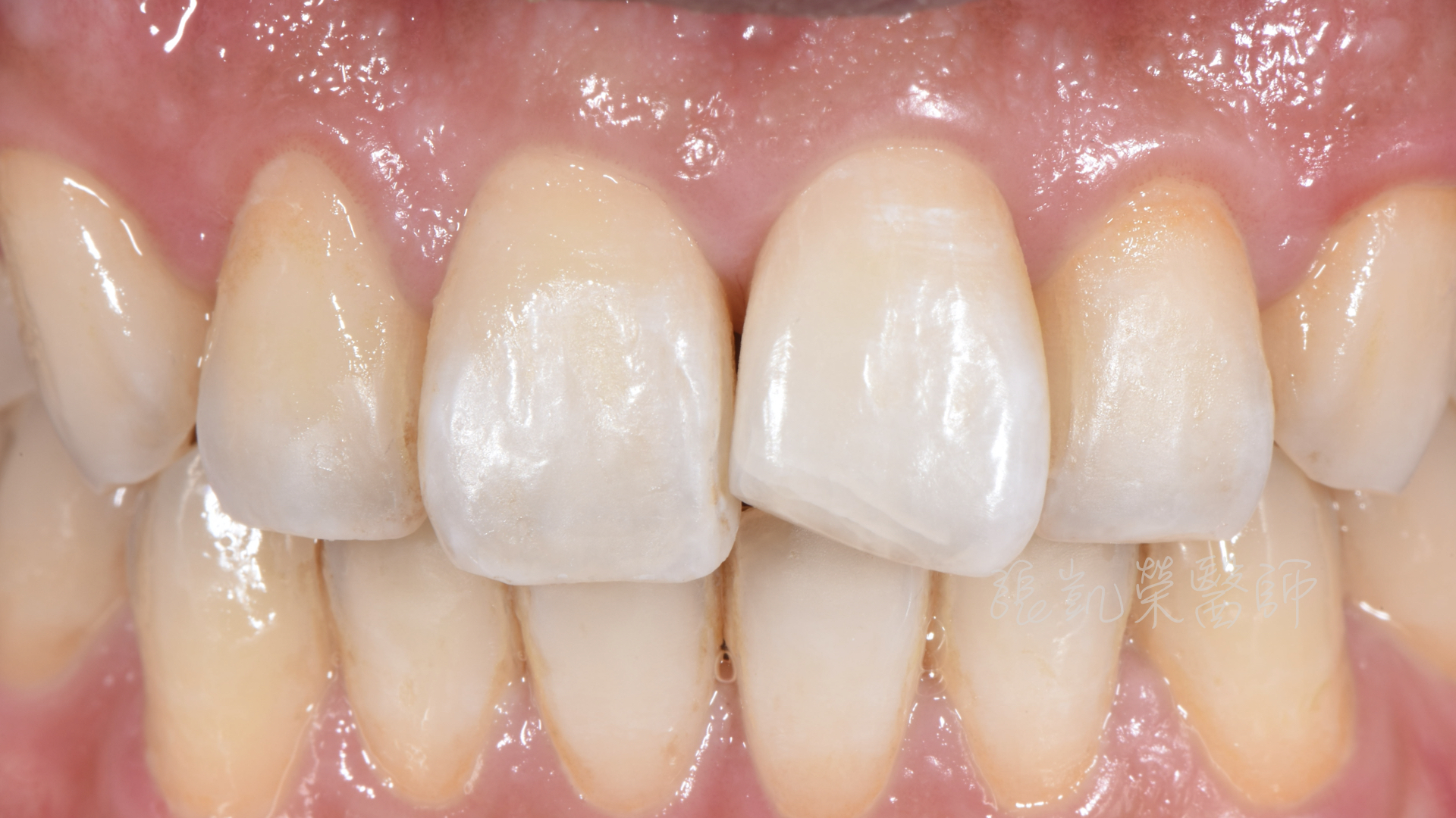
經榮醫師診斷,周先生牙齒的斷裂處,雖然有多處裂痕,但是都還在牙釉質上。榮醫師決定用顯微微創貼片修復,在牙齒受最小的影響下,恢復功能與美觀,讓周先生可以不再受門牙斷裂與不整齊所困擾。
牙齒斷裂
牙齒斷裂

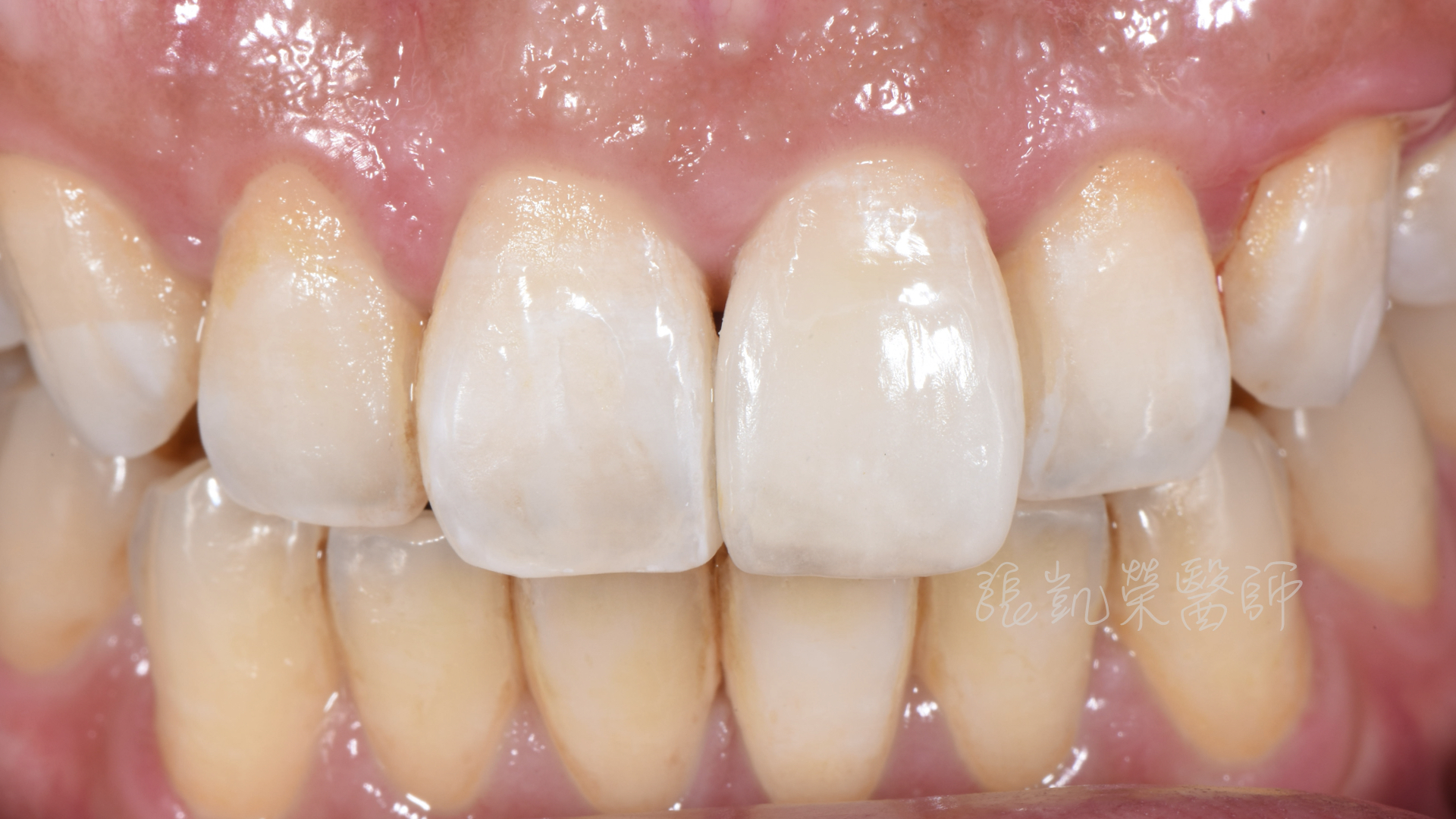
微創修整
微創修整

網站照片.003
網站照片.003