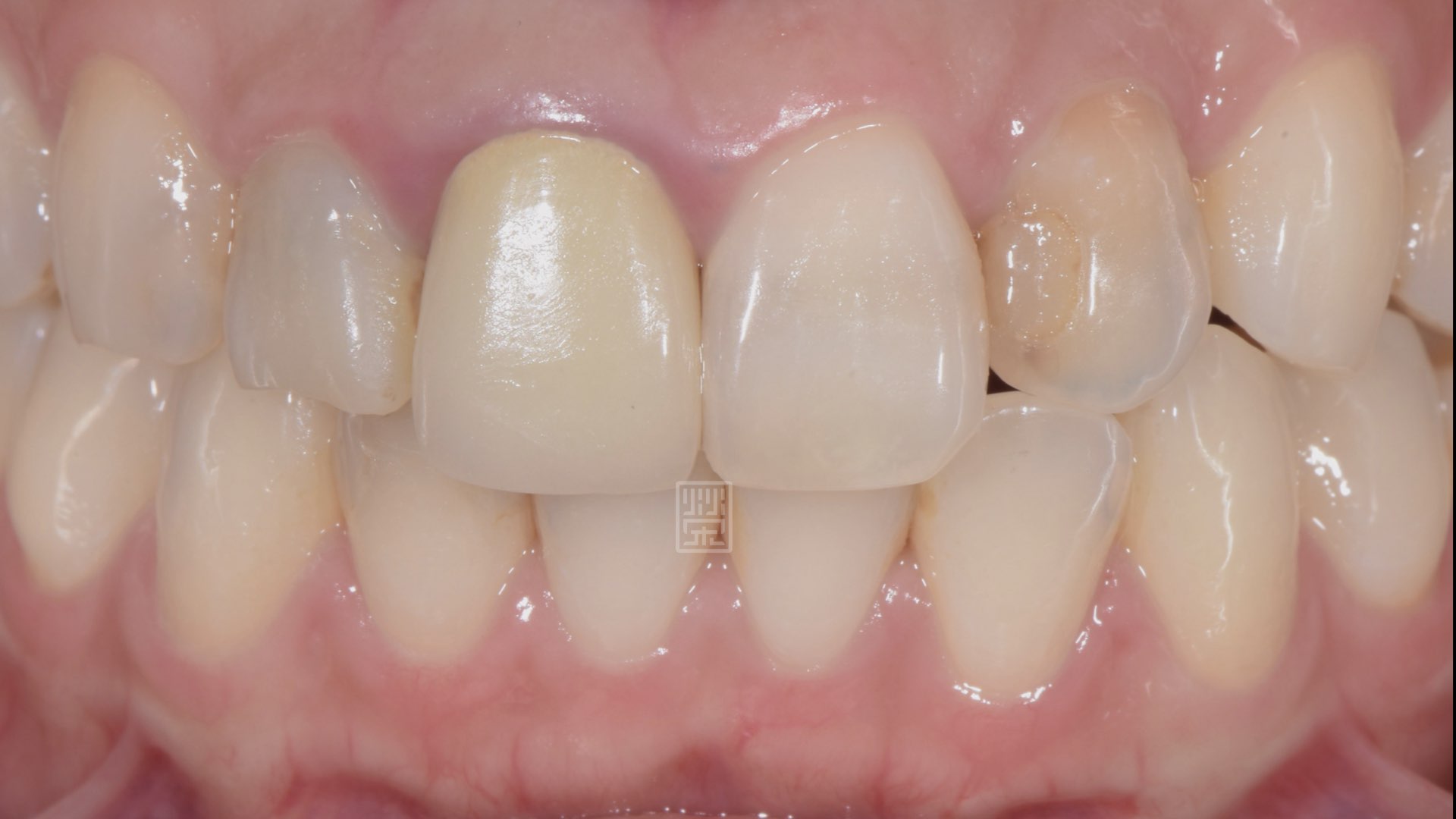
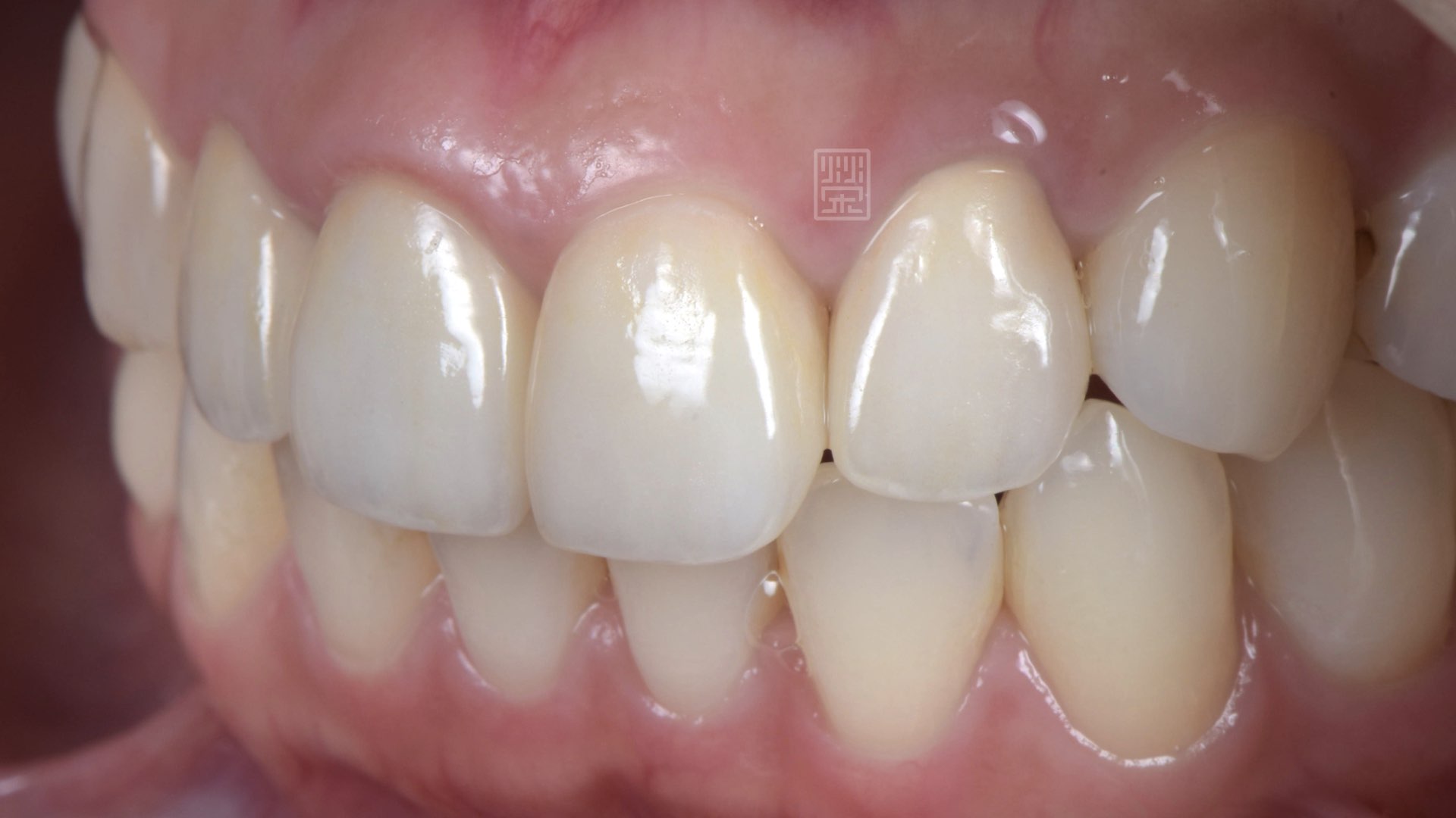
李小姐對於多年前治療的門牙假牙顏色很不滿意,榮醫師解說一下,單顆假牙為什麼顏色會不同呢?牙齒表面會有細部結構,隨著時間過去,牙齒表面會有磨耗、色素沈積,這與陶瓷表面的變化不同,所以時間一久,即便一開始牙齒與陶瓷冠顏色相仿,慢慢的兩者的色澤、光度會有落差,也就會造成相鄰兩顆牙齒的差異了。
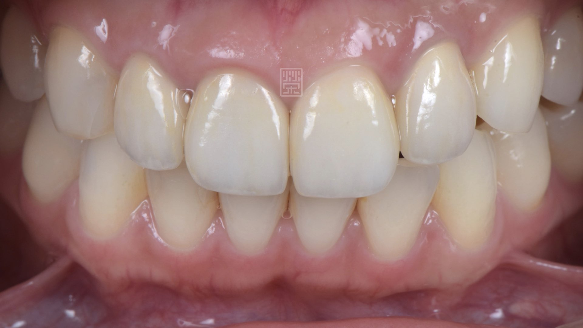
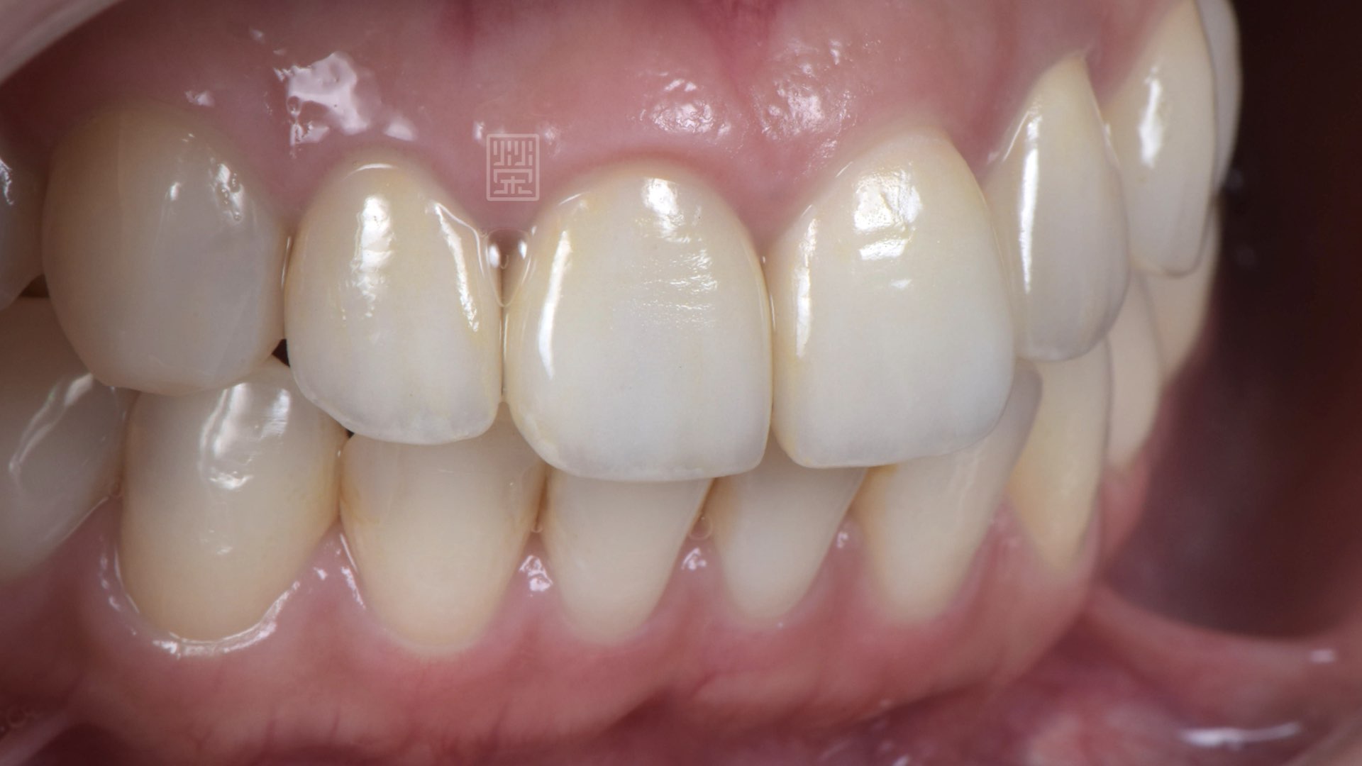
除了門牙陶瓷冠外,側門牙也是變色,所以榮醫師建議三顆根管治療門牙用全瓷冠治療,至於左側門牙一起用陶瓷貼片,讓四顆門牙的顏色色澤調成一致,也減少隨著時間變化產生的不同。

門牙舊假牙顏色不均,根管治療後牙齒變色

門牙舊假牙顏色不均,根管治療後牙齒變色

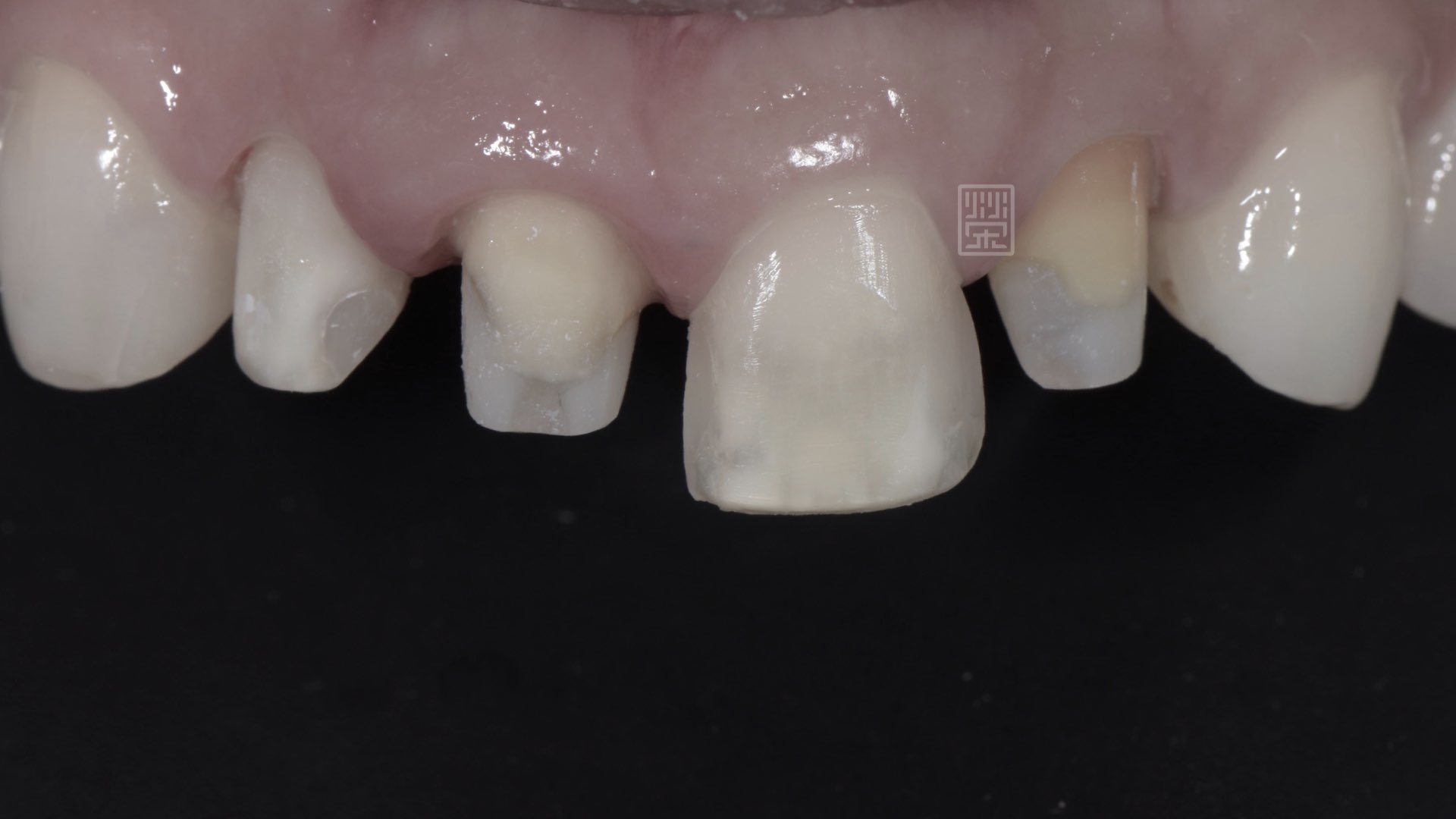
貼片與全瓷冠牙齒修整

全瓷冠與貼片搭配修復

全瓷冠與貼片搭配修復

全瓷冠與貼片搭配修復