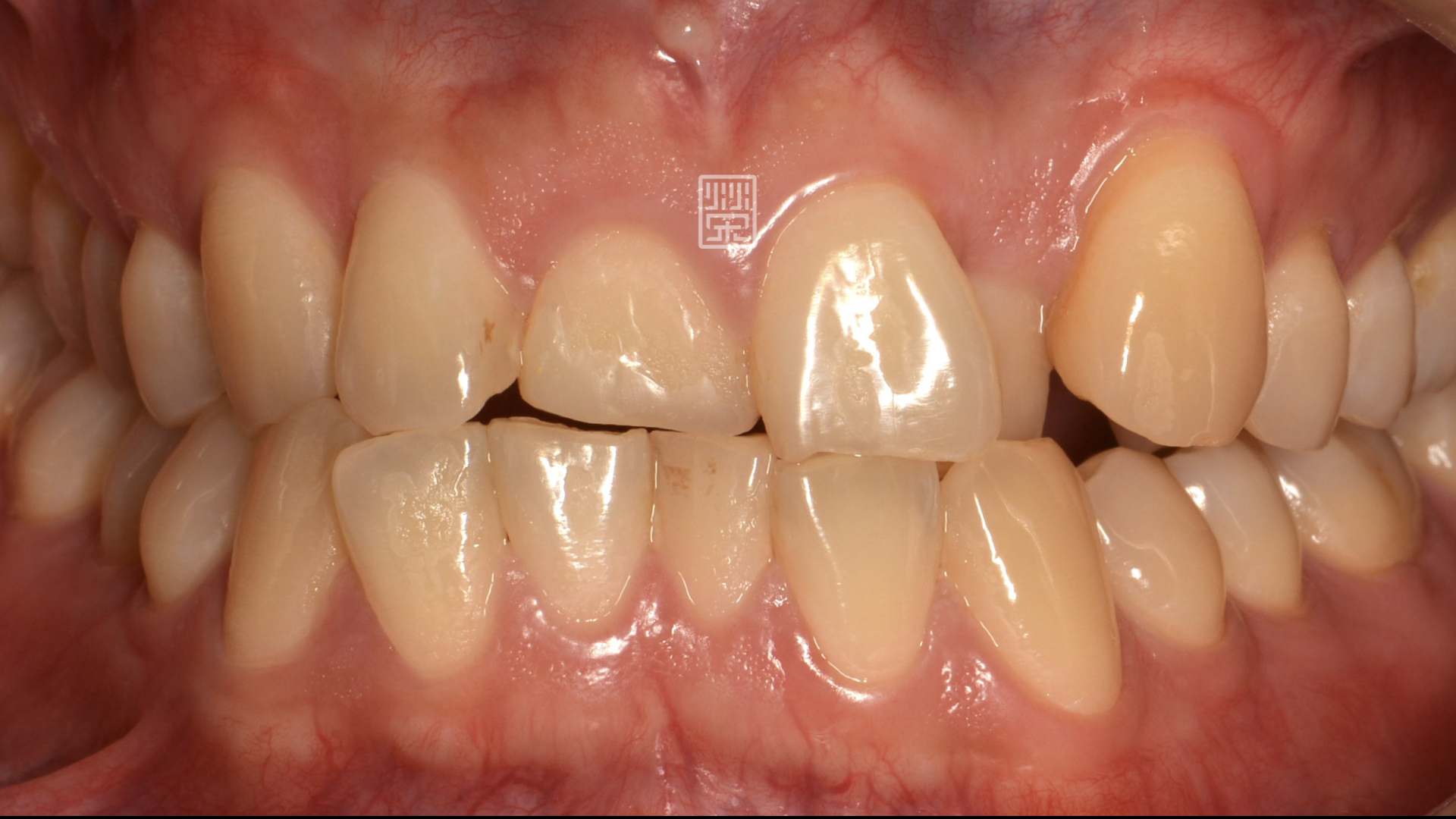
來榮醫師診間時,發現陳先生尺軸不齊,排列不整,先與矯正醫師討論,把牙齒型態用樹脂恢復成理想狀態,再交給矯正醫師,等待矯正完畢,在用全瓷冠宇貼片完成修復。
陳彥朋矯正醫師
https://photo.xuite.net/esthetique99/20476429/69.jpg
https://photo.xuite.net/esthetique99/20476429/71.jpg
賴宏昇技師
https://www.facebook.com/photo?fbid=4058583400828012&set=a.450856381600750

牙齒不整疾並且牙齒磨耗

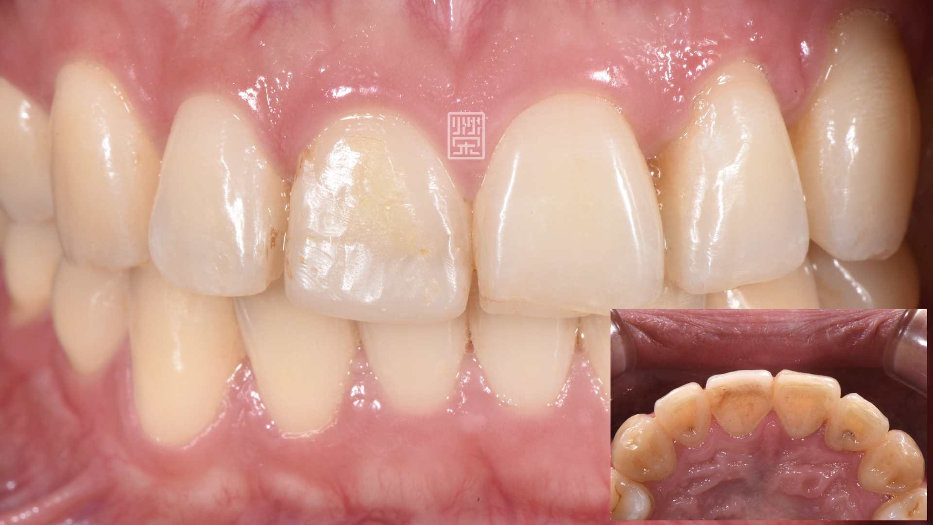
矯正時評估正常牙齒範圍,並用樹脂暫時修復

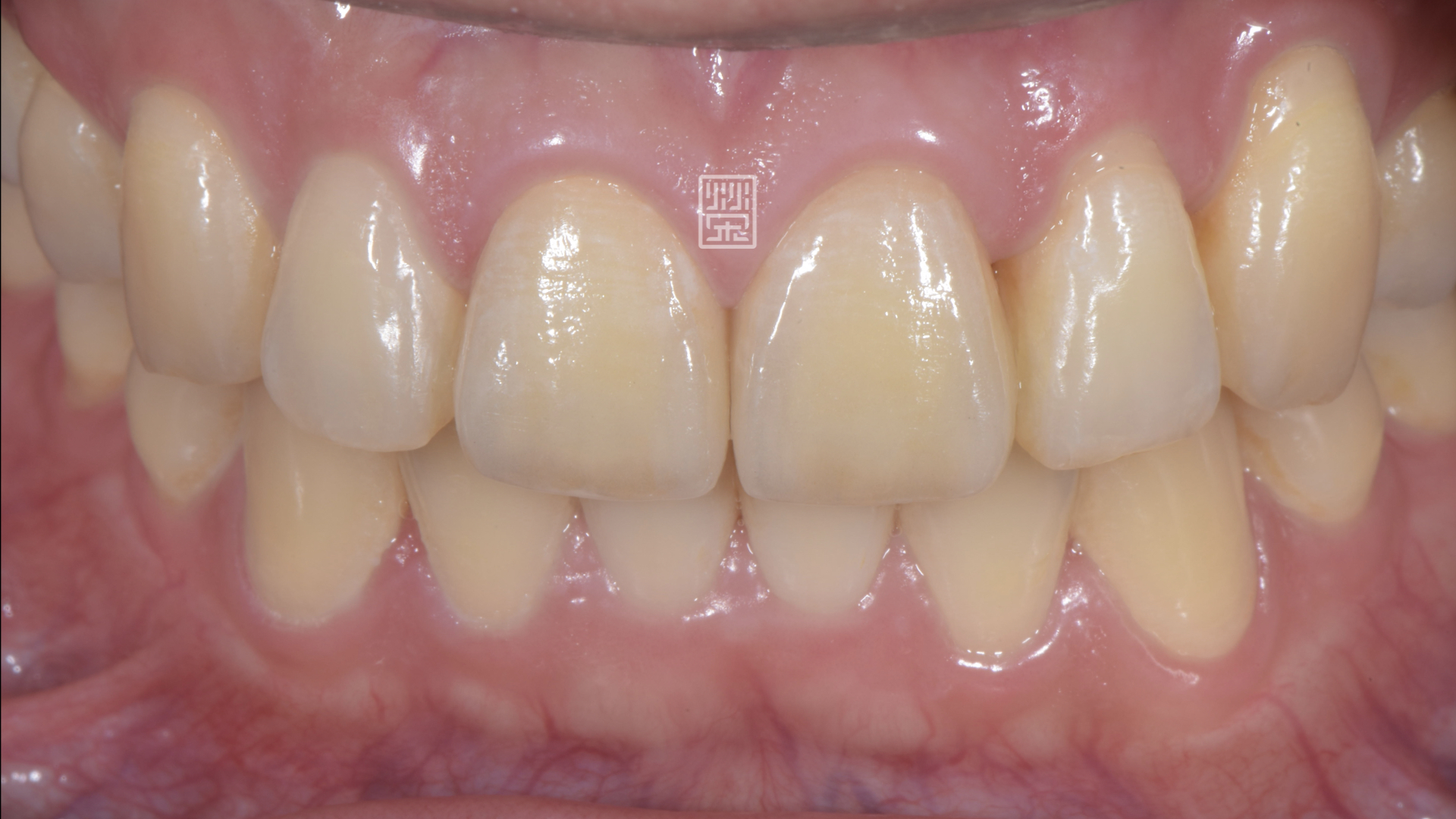
矯正後

矯正結束

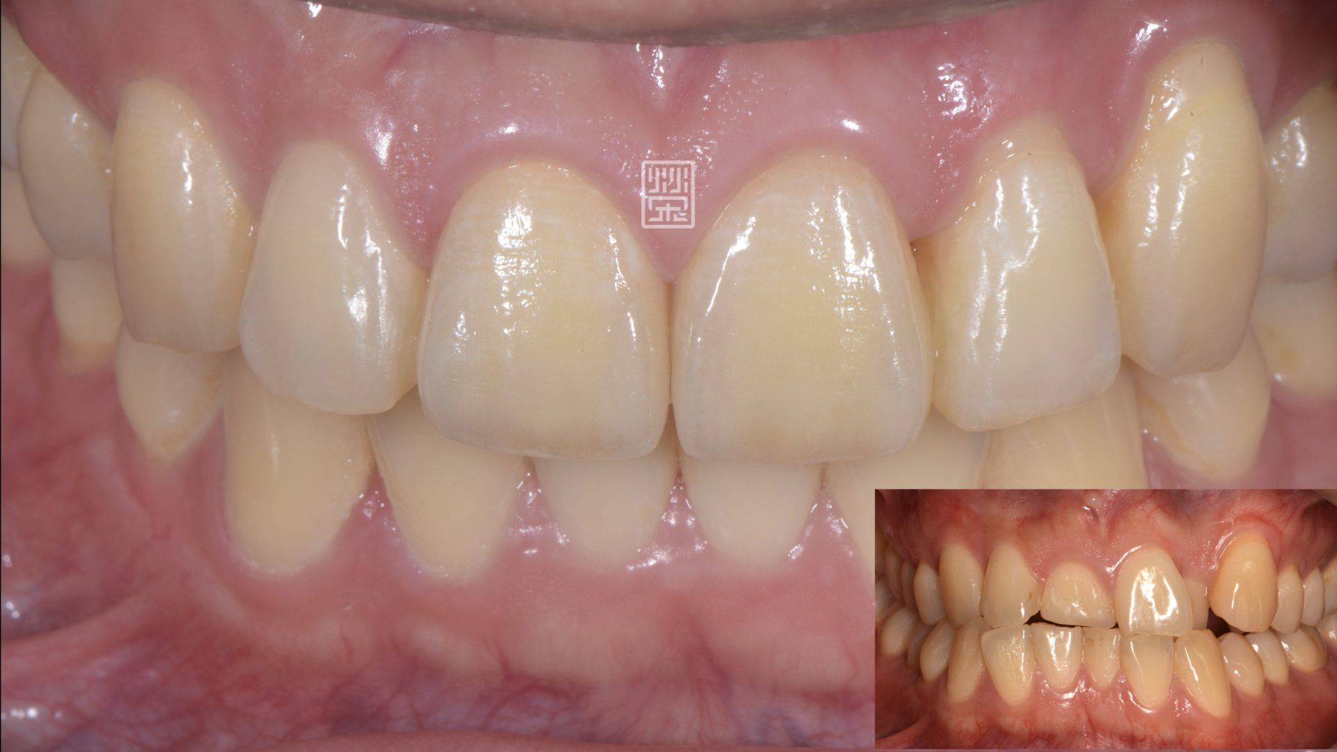
全瓷貼片完成

前後對照