我覺得我笑起來不是很好看————牙齦整形併全瓷貼片

林小姐初次來診所,訴說著他對自己笑起來不滿,覺得牙齒不夠白亮;榮醫師檢查後,林小姐有姣好的外型,對於自己各方面都有很高的要求,幾經討論後,發現除了牙齒顏色之外,牙齦漏的較多,牙齒比例較短,所以榮醫師的治療計畫,建議先牙齦整形,把牙齒的比例調整好,在將牙齒貼片放置上去。
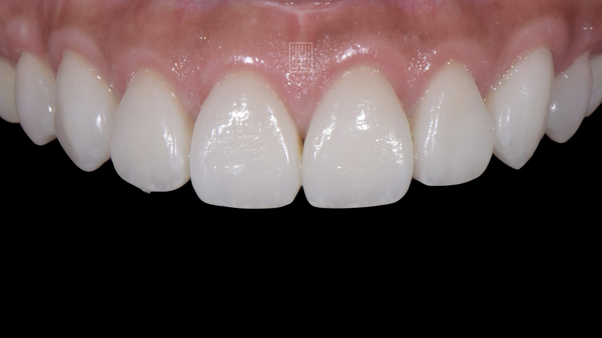
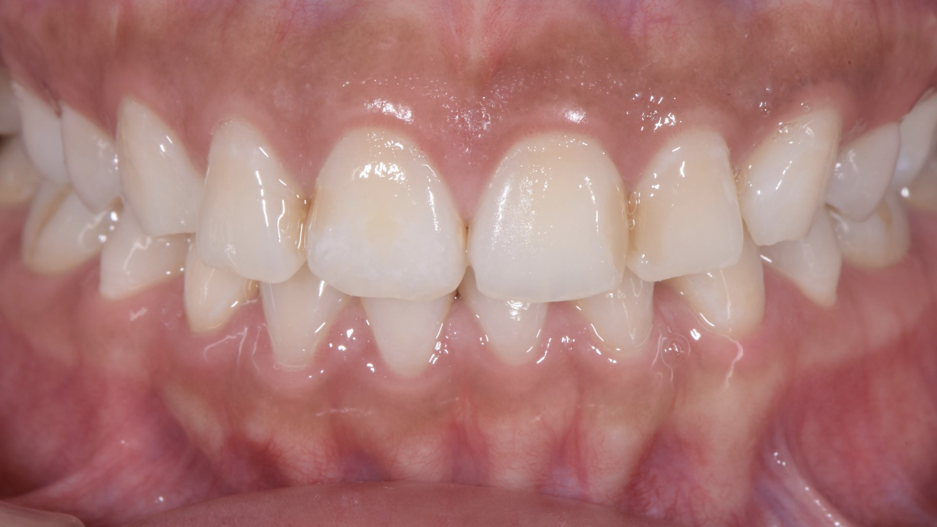
依照慣例,榮醫師先數位微笑模擬(Digital Smile Design),將牙齦與牙齒長度與林小姐溝通確定完畢;先處理牙齦整形,等待一個半月後,牙齦組織穩定,再將貼片放上去,讓林小姐可以有完美自信的笑容。






數位微笑模擬(digital smile design)
數位微笑模擬(digital smile design)

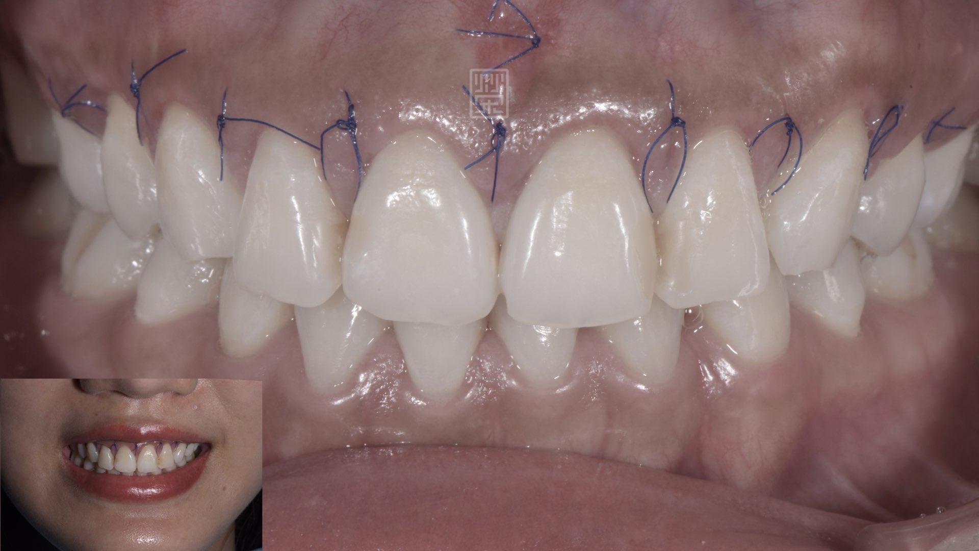
牙齦整形
牙齦整形