我的兩顆大黃牙怎麼辦?---美白全瓷冠修復

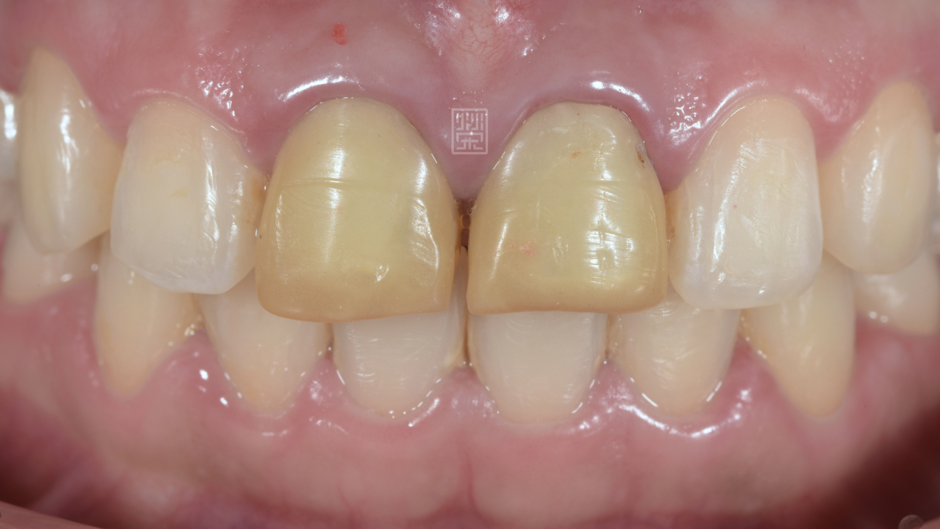
林小姐經過長期矯正,臨時假牙嚴重變色,比自然牙黃許多,經榮醫師檢查後,除了臨時假牙變色外,齒軸狀況與鄰牙都維持得很好,加上林小姐也想讓牙齒變白,所以全口美白後,再換上全瓷冠就完成囉。
 
經歷矯正後,臨時假牙變黃
經歷矯正後,臨時假牙變黃

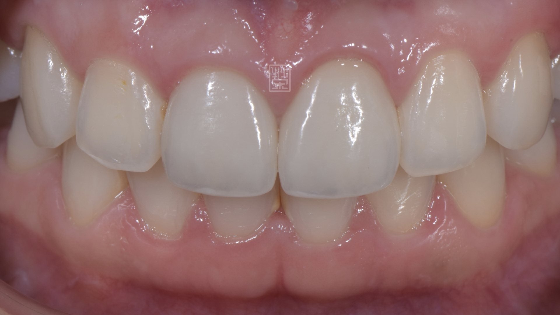
換上新的臨時假牙
換上新的臨時假牙

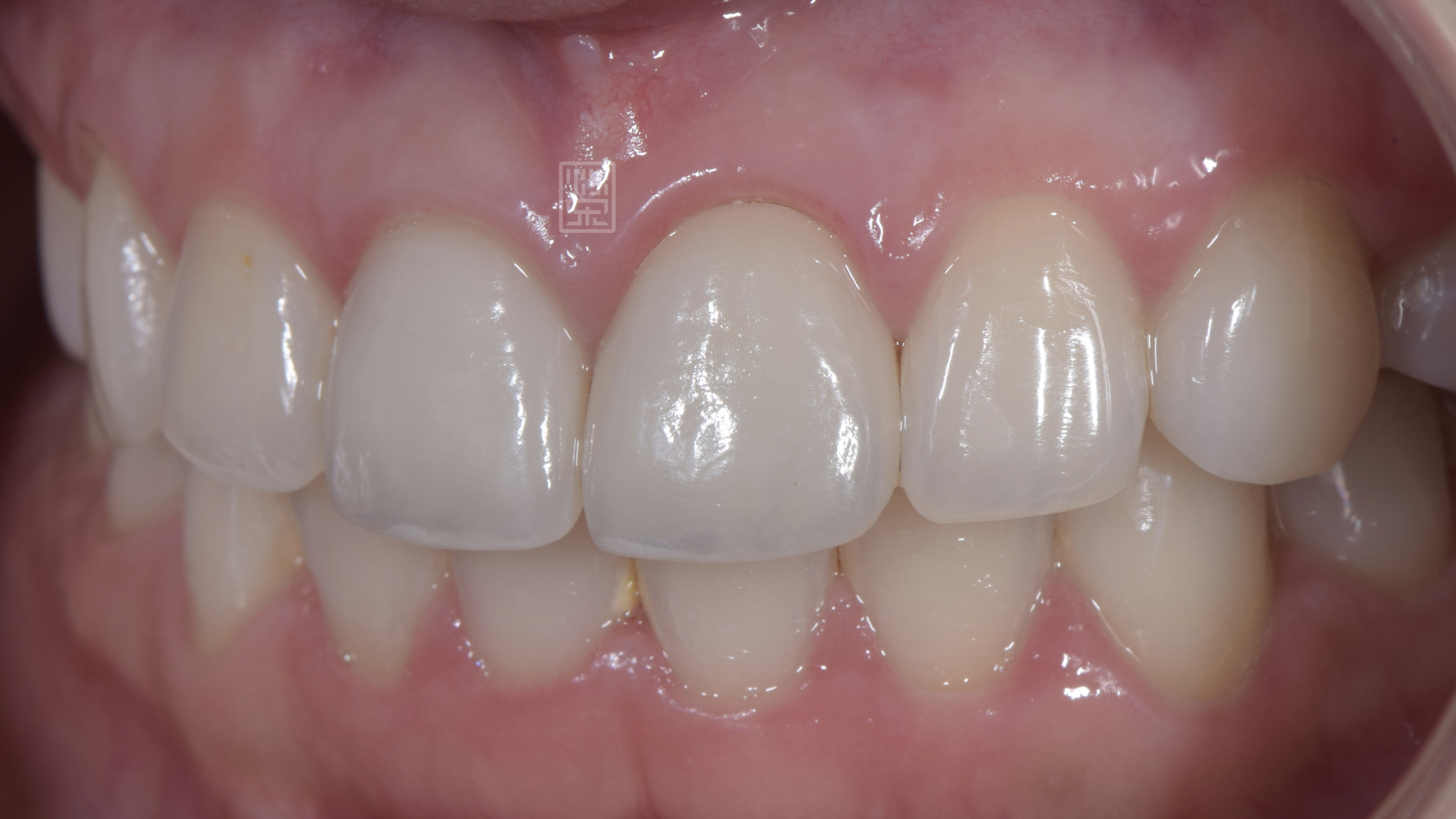
美白、全瓷冠完成
美白、全瓷冠完成

美白、全瓷冠完成
美白、全瓷冠完成