牙齒門牙好長,像小老鼠一樣,要怎麼辦呢?------全瓷貼片

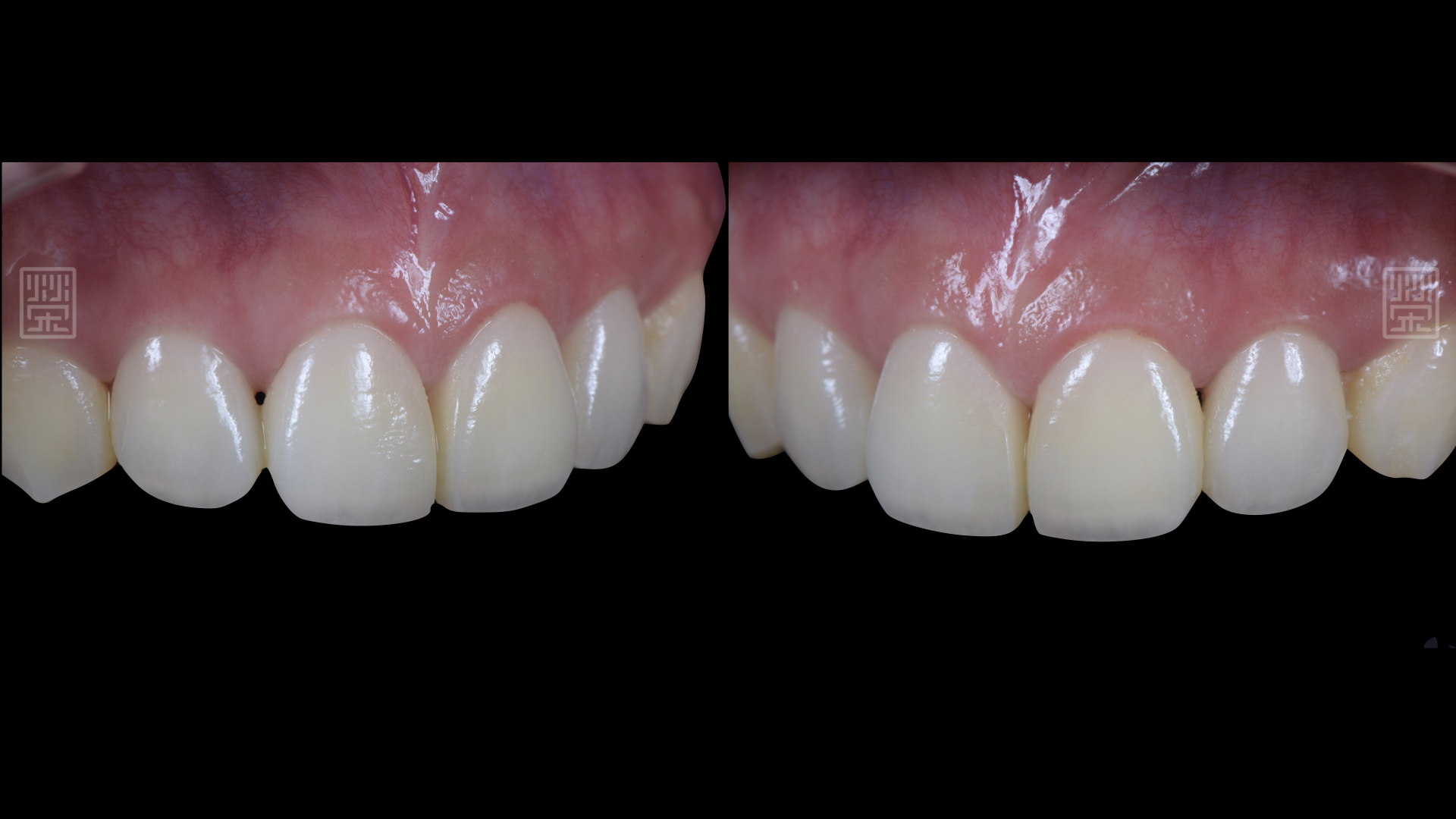
姚小姐覺得門牙太長,側門牙太短,覺得像小老鼠一樣,一直覺得很困擾,先去矯正醫師諮詢,但是嘴形、豐隆度很好,所以請患者到榮醫師門診諮詢。
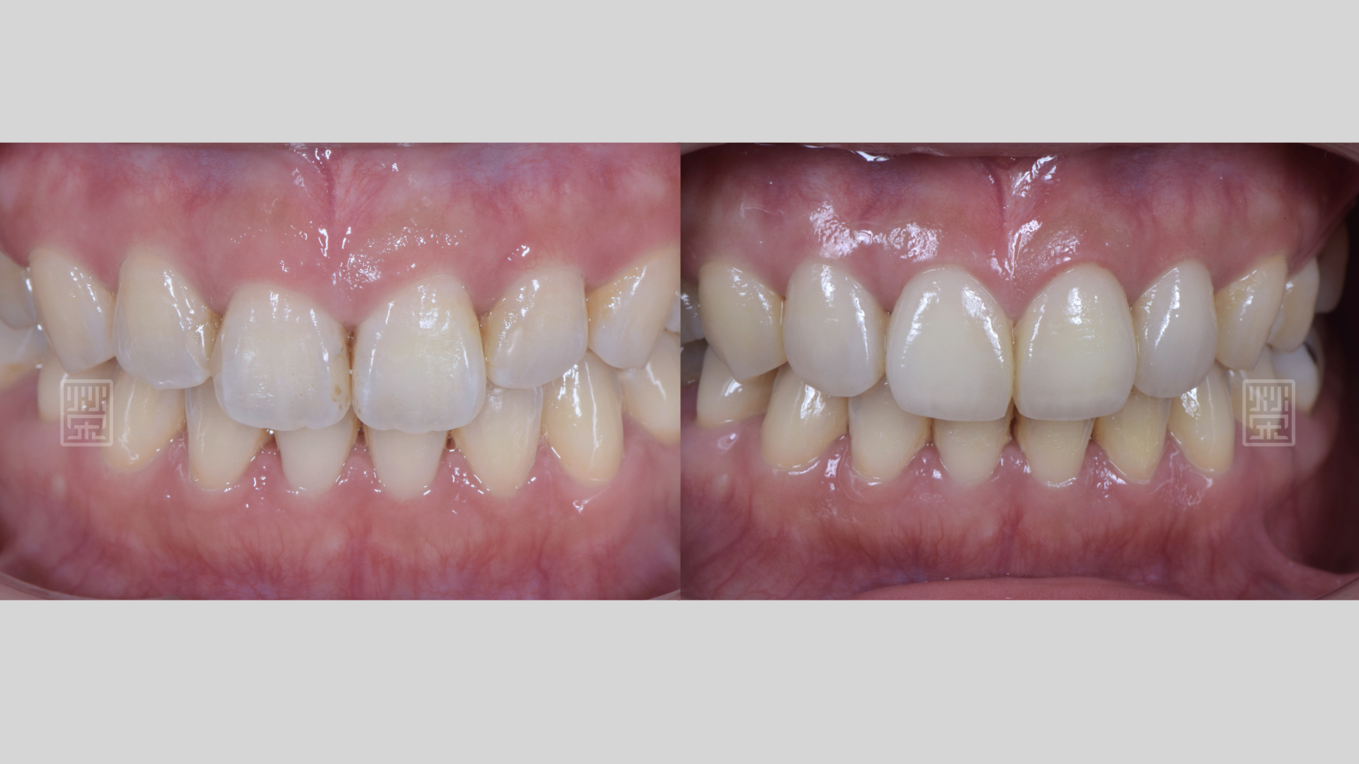
經檢查後,牙齒很健康,只需要做一些牙齦整形術,之後再加上貼片就可以改善門牙長度的問題。
門牙太長
門牙太長

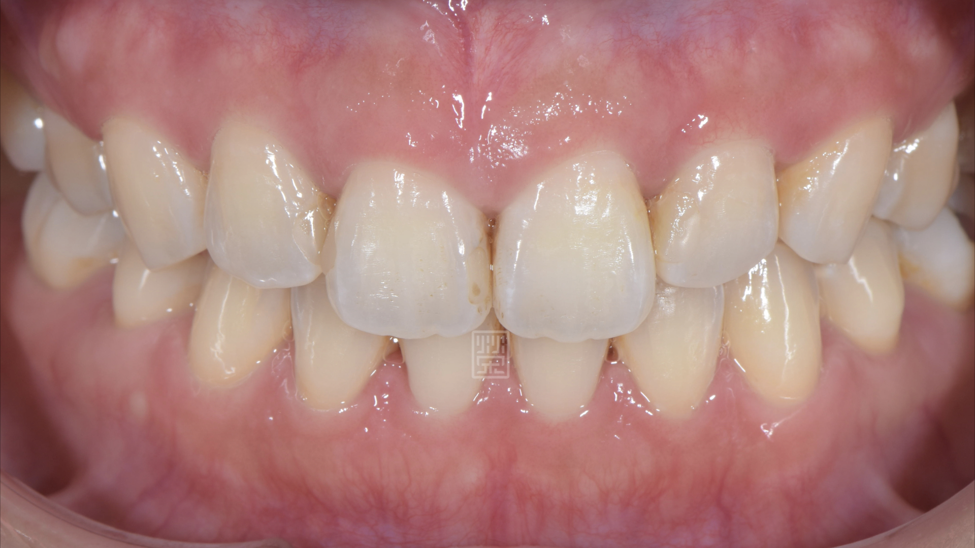
長度模擬溝通
長度模擬溝通

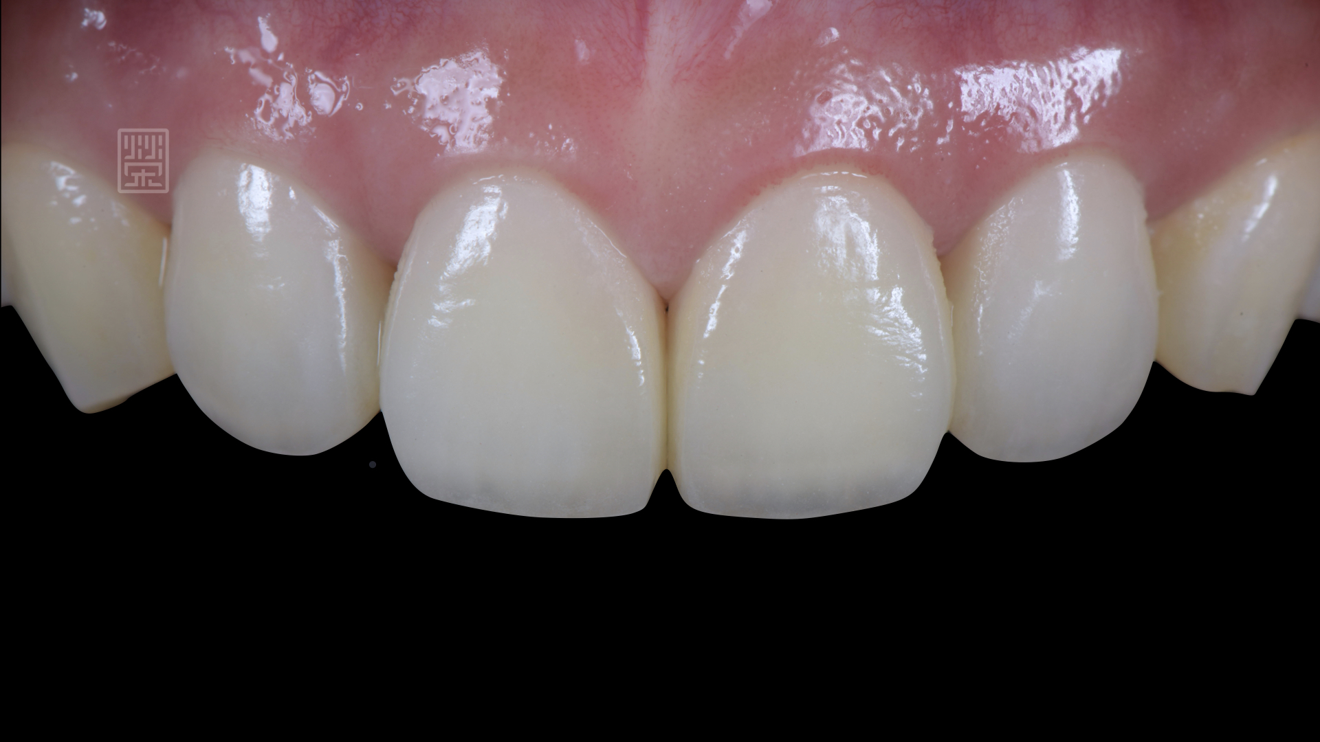
牙齦整形術
牙齦整形術