因受到疫情影響,謝小姐返台貼片計劃一波三折,但透過榮醫師平時所搜集的照片與數位掃描的資料紀錄(這正是榮醫師,每天看診的日常,更是多年的習慣),讓我們能夠 即時溝通與線上討論,包含行程、療程、顏色、形態,希望能在有限時間裡,達到最好最棒的治療,與此同時,也在與技師專業細心配合,以最精準迅速且有美感的技術製作。
在聖誕節前夕,完成了謝小姐,期盼兩年多的貼片計劃,美夢成真的開心回程。

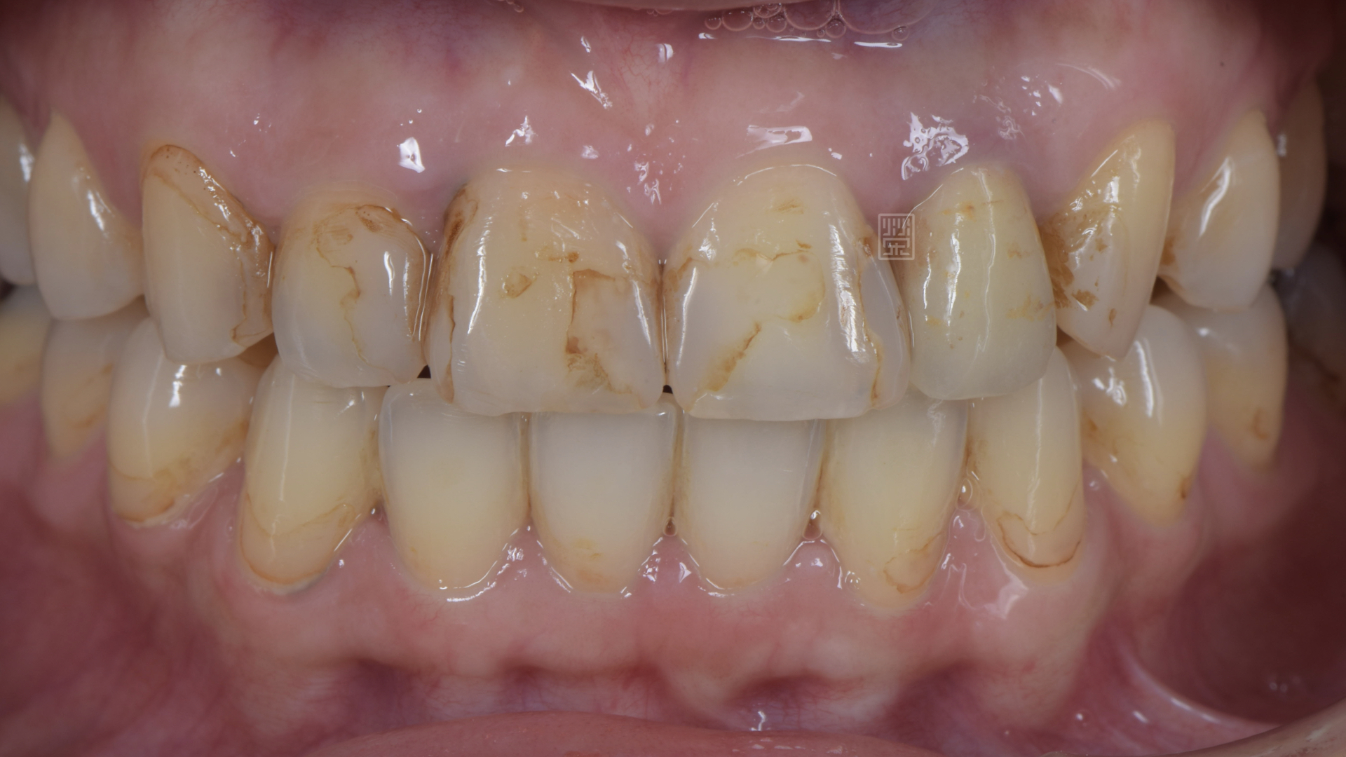
牙齒偏黃

樹脂變色

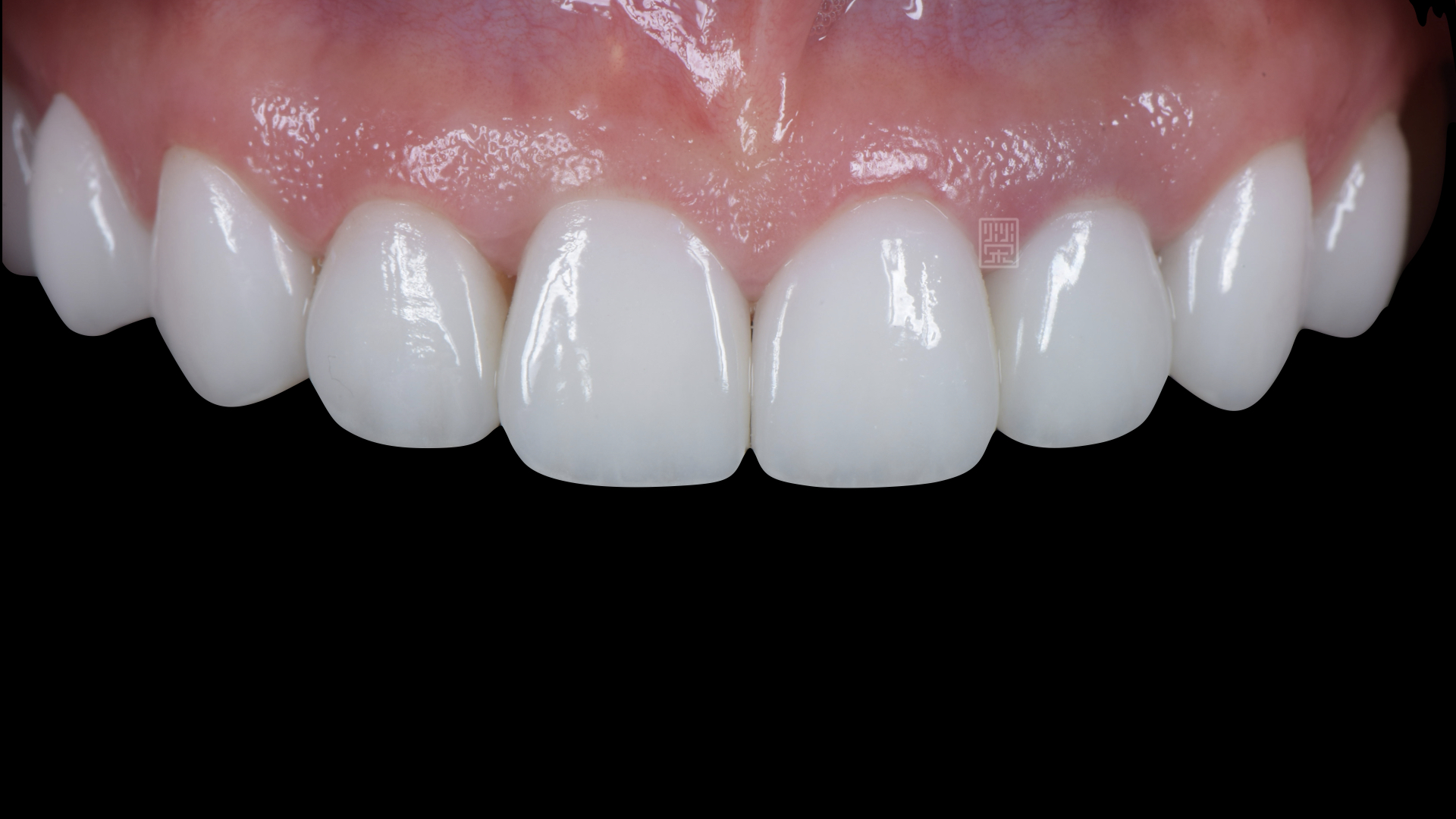
全瓷冠、貼片修復

全瓷冠、貼片修復

全瓷冠、貼片修復

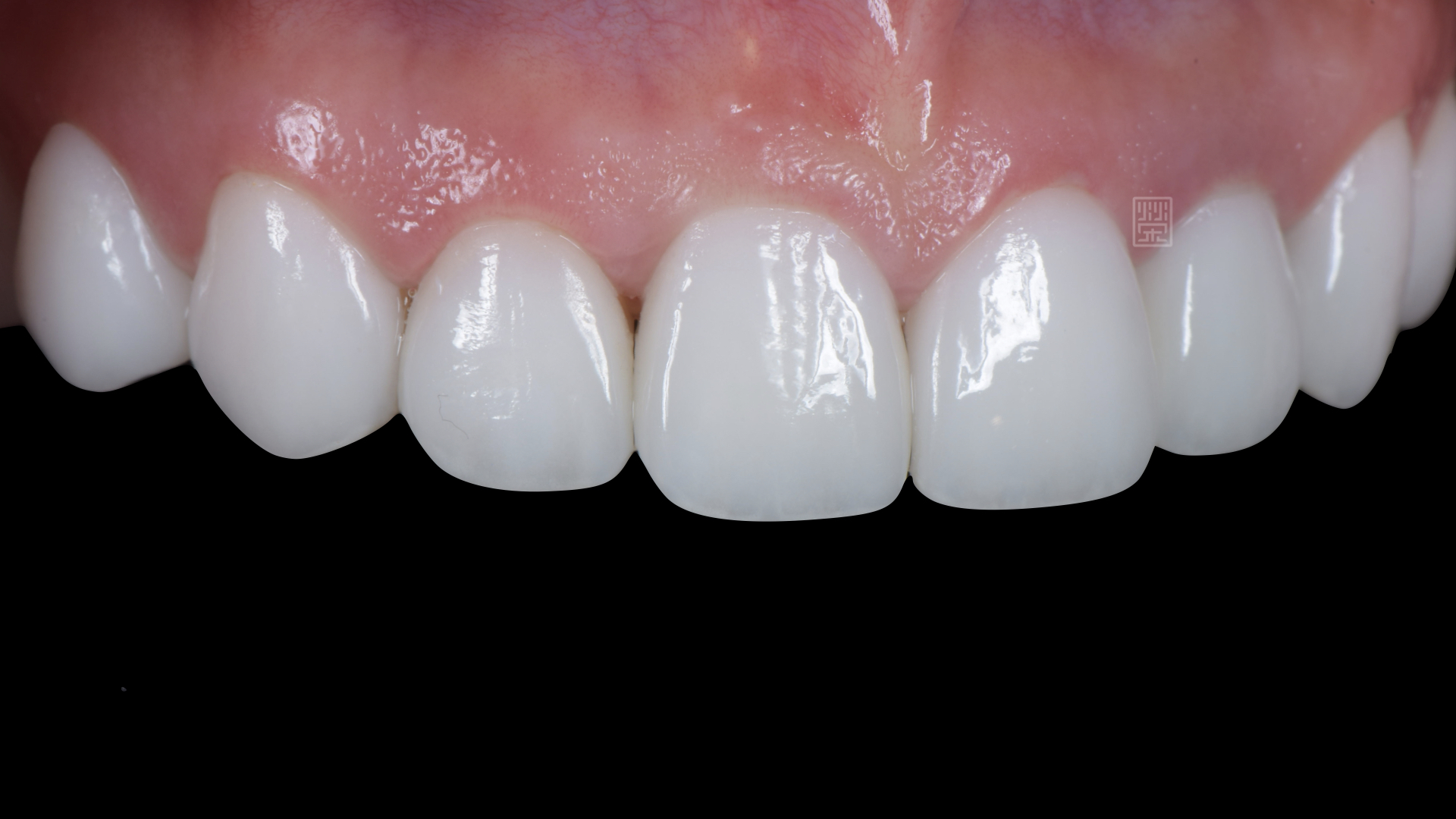
全瓷冠、貼片修復

全瓷冠、貼片修復

全瓷冠、貼片修復