全瓷冠貼片修復

藍小姐是榮醫師配合的手術醫師陳昭明醫師的患者,手術後轉至榮醫師門診,在討論植牙假牙的治療過程時,藍小姐說想要將牙齒變得白亮,因為他想要有一個明亮的笑容,討論過後,決定用全瓷冠與貼片讓藍小姐的笑容大改變,當完成時,藍小姐非常滿意,這也是讓榮醫師最感到開心的時刻。
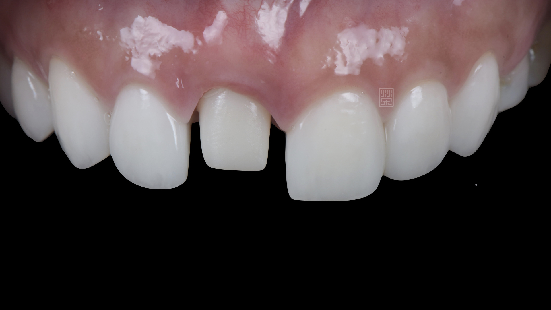
植牙後臨時假牙
植牙後臨時假牙

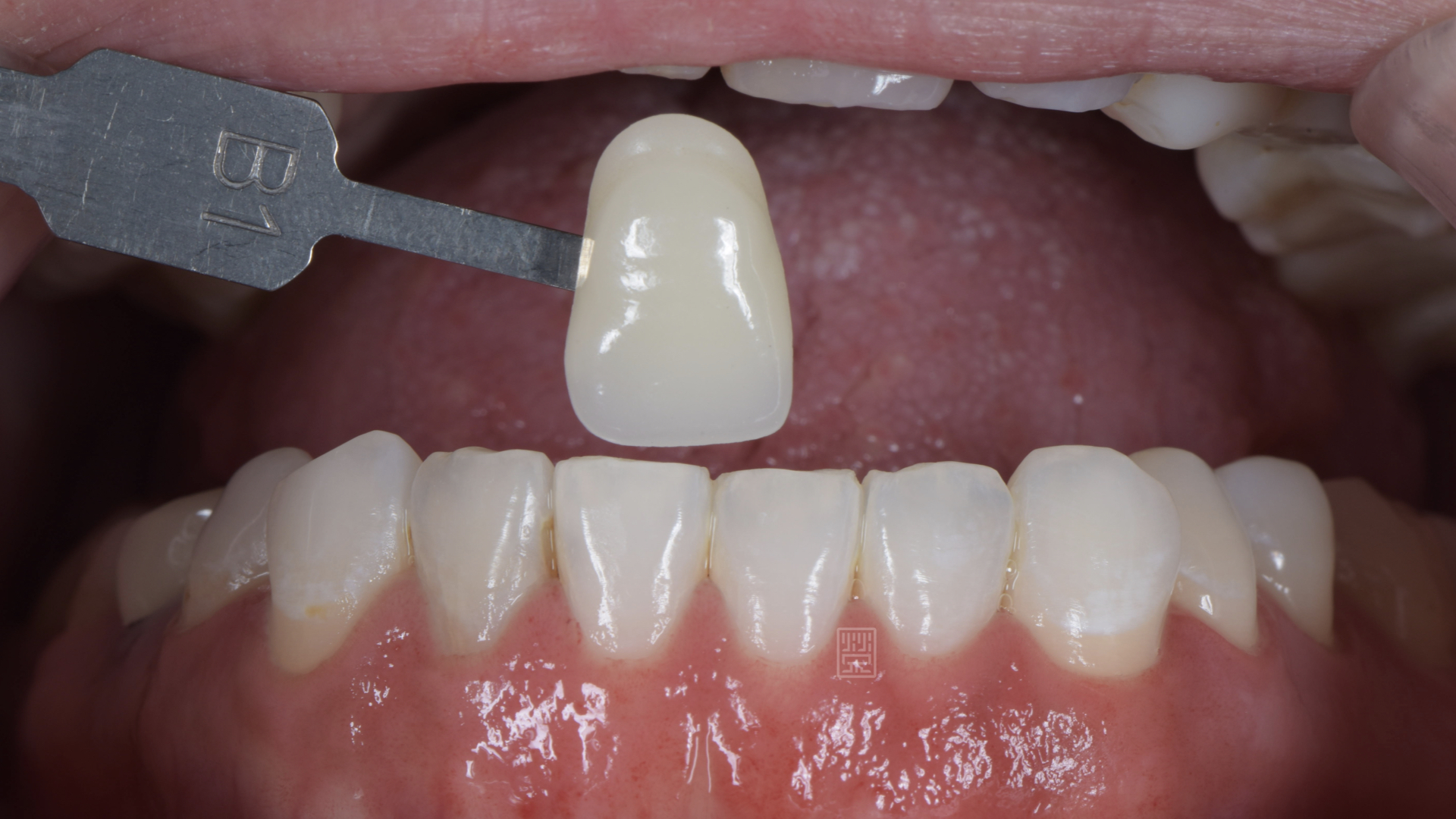
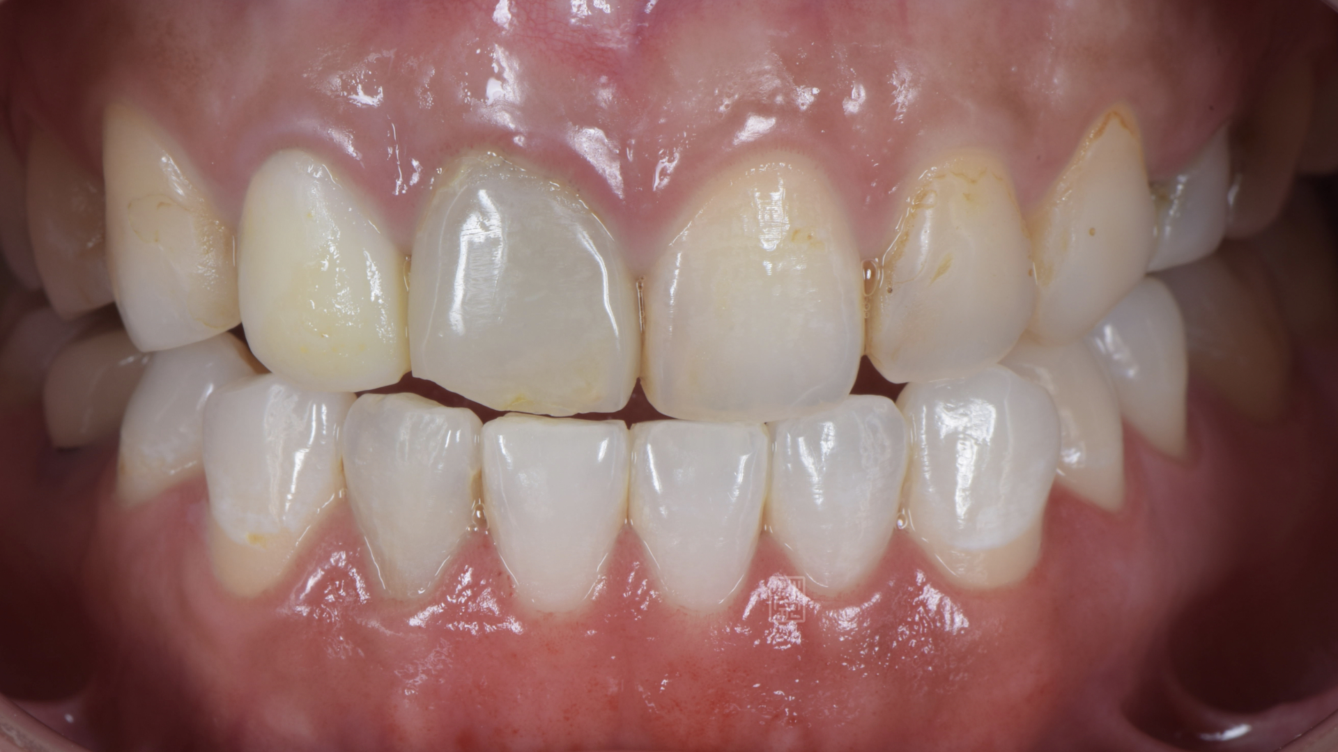
下顎牙齒美白比色
下顎牙齒美白比色

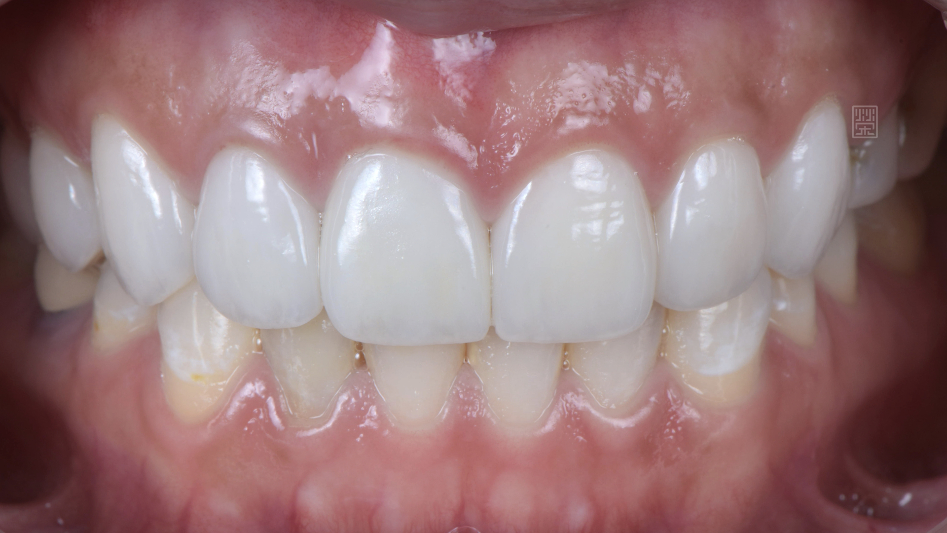
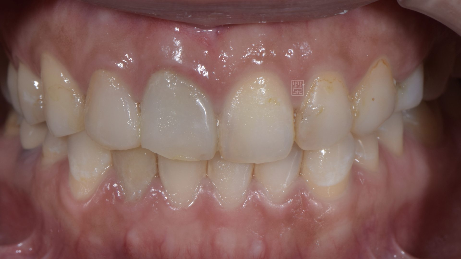
下顎牙齒美白後
下顎牙齒美白後

植牙周圍健康牙齦
植牙周圍健康牙齦

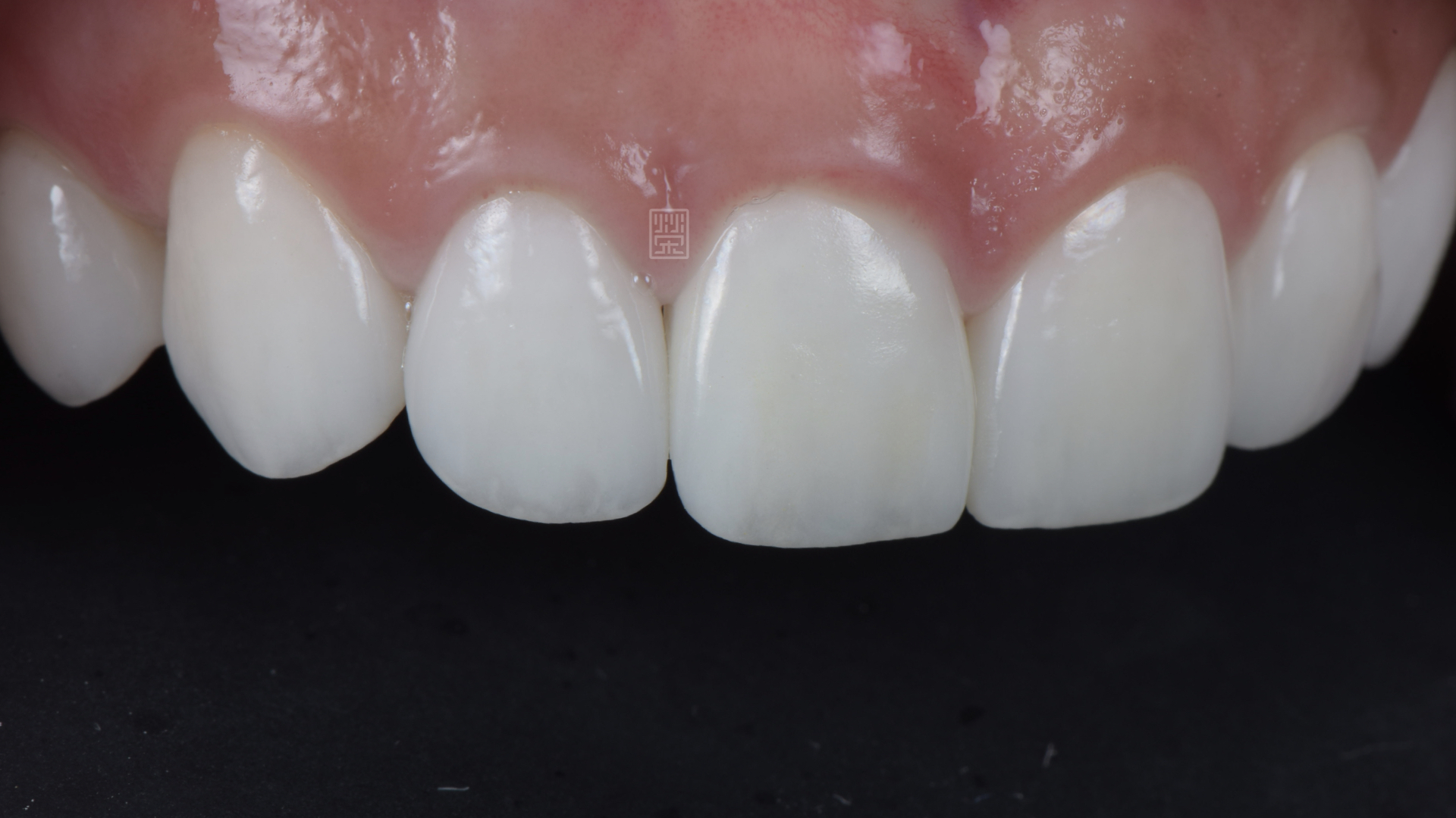
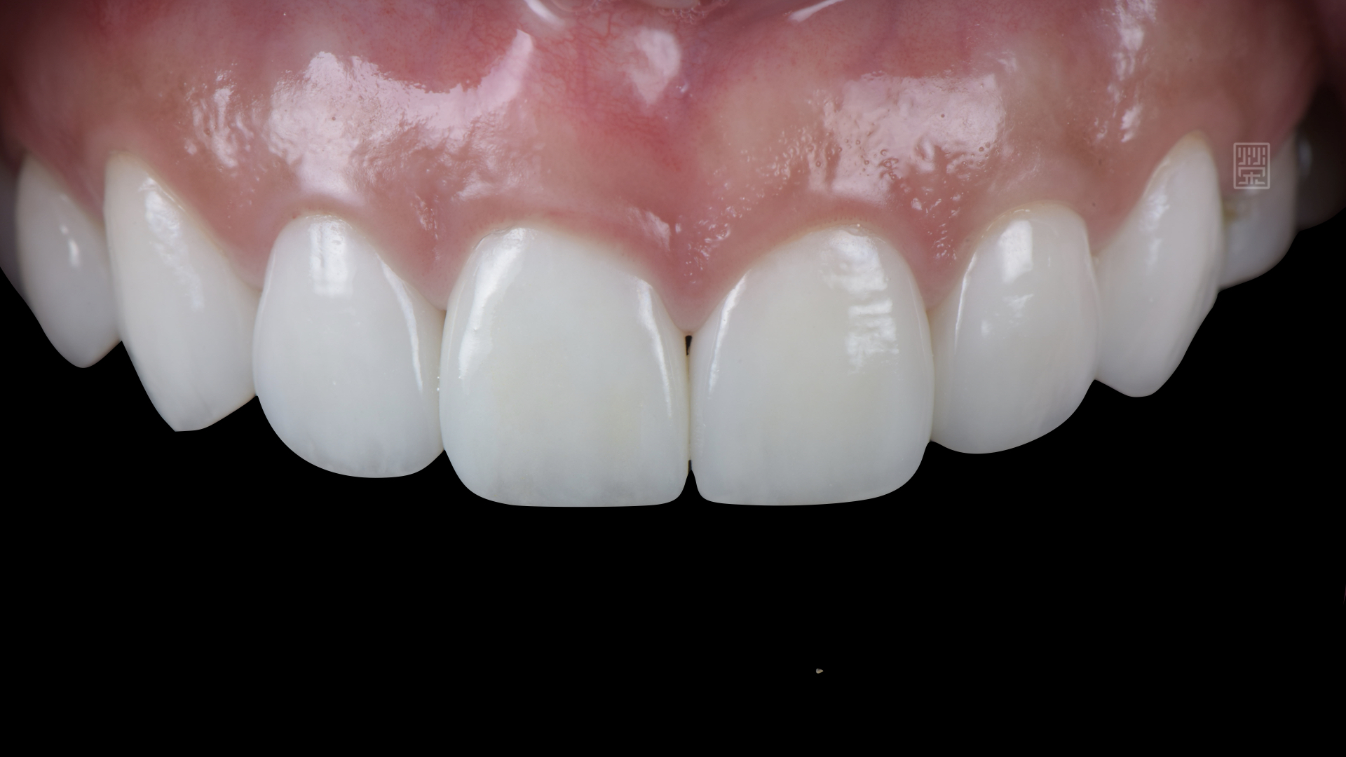
全瓷冠與貼片完成
全瓷冠與貼片完成

全瓷冠與貼片完成
全瓷冠與貼片完成

植牙全瓷支台
植牙全瓷支台

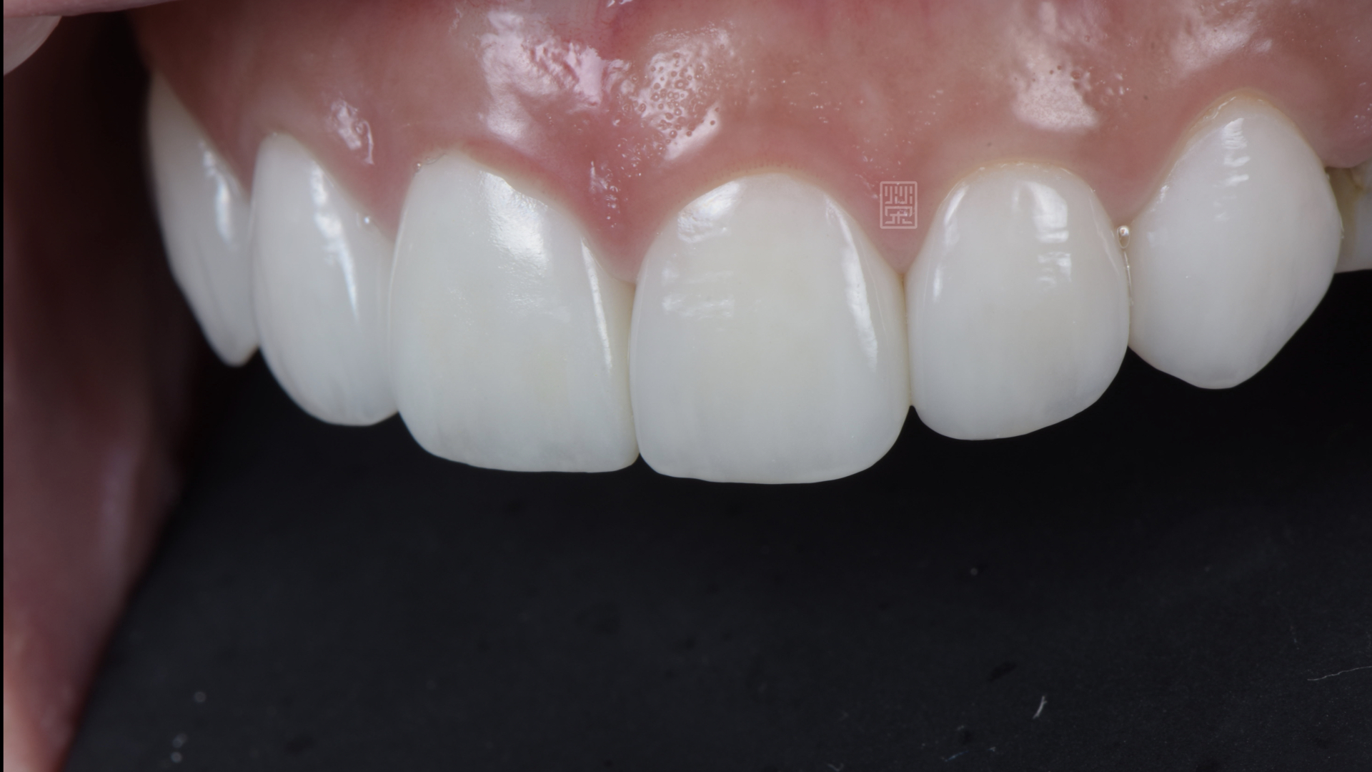
全瓷冠與貼片完成
全瓷冠與貼片完成

全瓷冠與貼片完成
全瓷冠與貼片完成

全瓷冠與貼片完成
全瓷冠與貼片完成