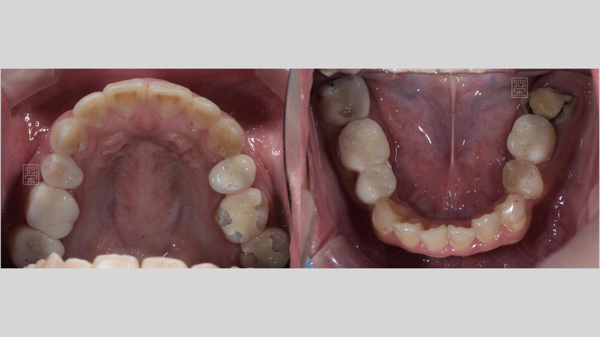
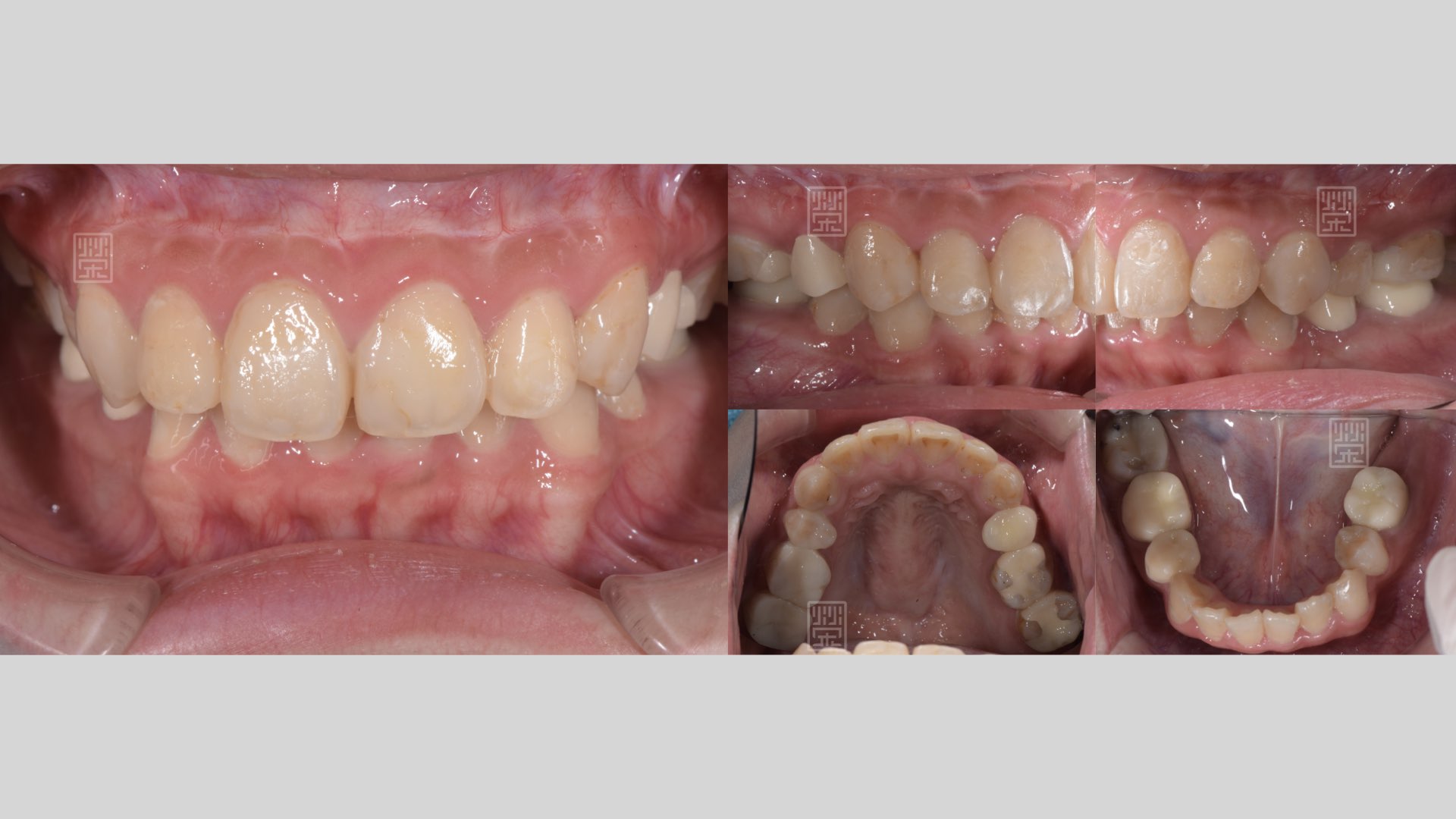
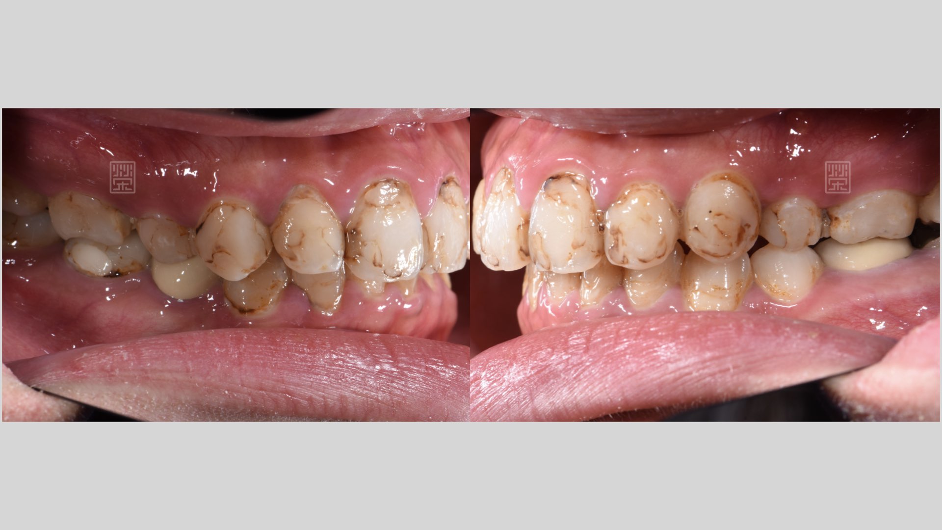
陳小姐覺得自己的牙齒黃、比較暗沈,加上小時候補牙的痕跡明顯,多年來,牙齒多次樹脂填補治療,顏色都不均勻,到榮醫師的門診檢查後發現,過去多次的蛀牙治療,許多牙位都損傷嚴重。
雖然一開始陳小姐是希望改善門牙外觀,但口腔裡每個位置有不同的角色,有好的後牙臼齒支撐才能夠維持長期門牙的美觀,所以榮醫師建議利用全瓷貼片與全瓷嵌體全口重新治療。
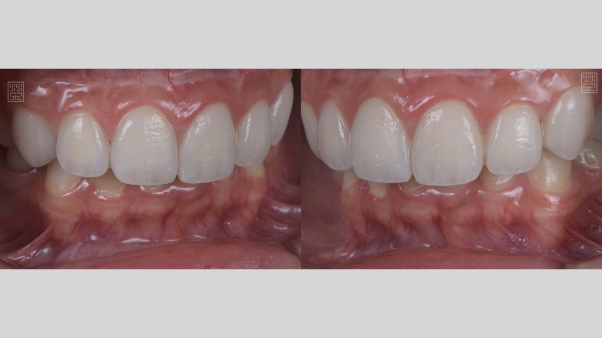
除此之外,陳小姐笑起來的時候,牙齦露出來很多,在開懷大笑時,有點困擾,榮醫師分析後,發現他的牙齒比例位置是蠻正確的,所以用上唇重置術(lip reposition),改善陳小姐笑齦的問題。
經由榮醫師完成療程與陳小姐的配合,不僅恢復陳小姐口腔健康,也能夠讓陳小姐自在地開懷大笑。

重新樹脂填補完畢

笑齦改善

笑齦改善

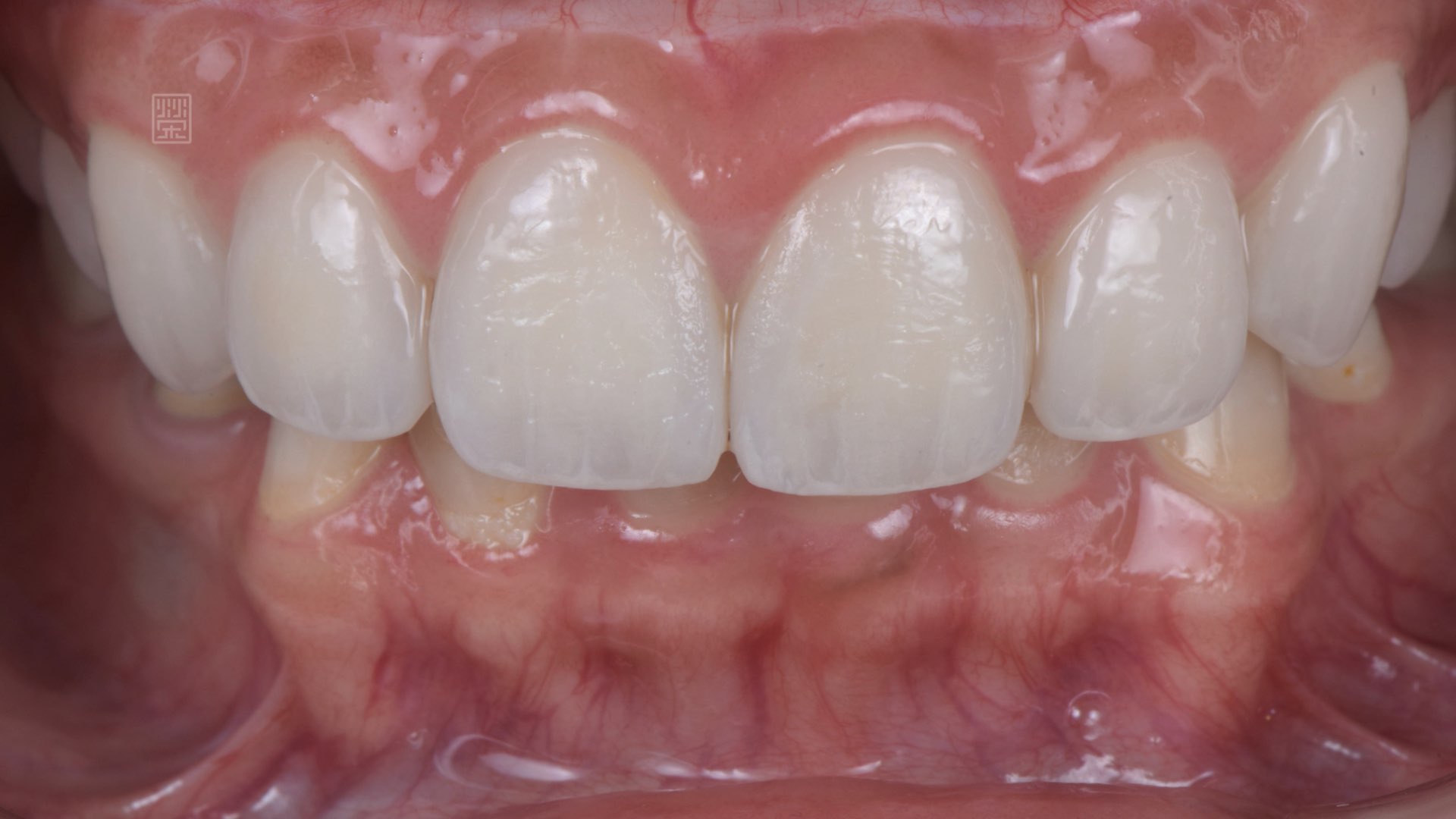
微笑曲線建立

微笑曲線建立

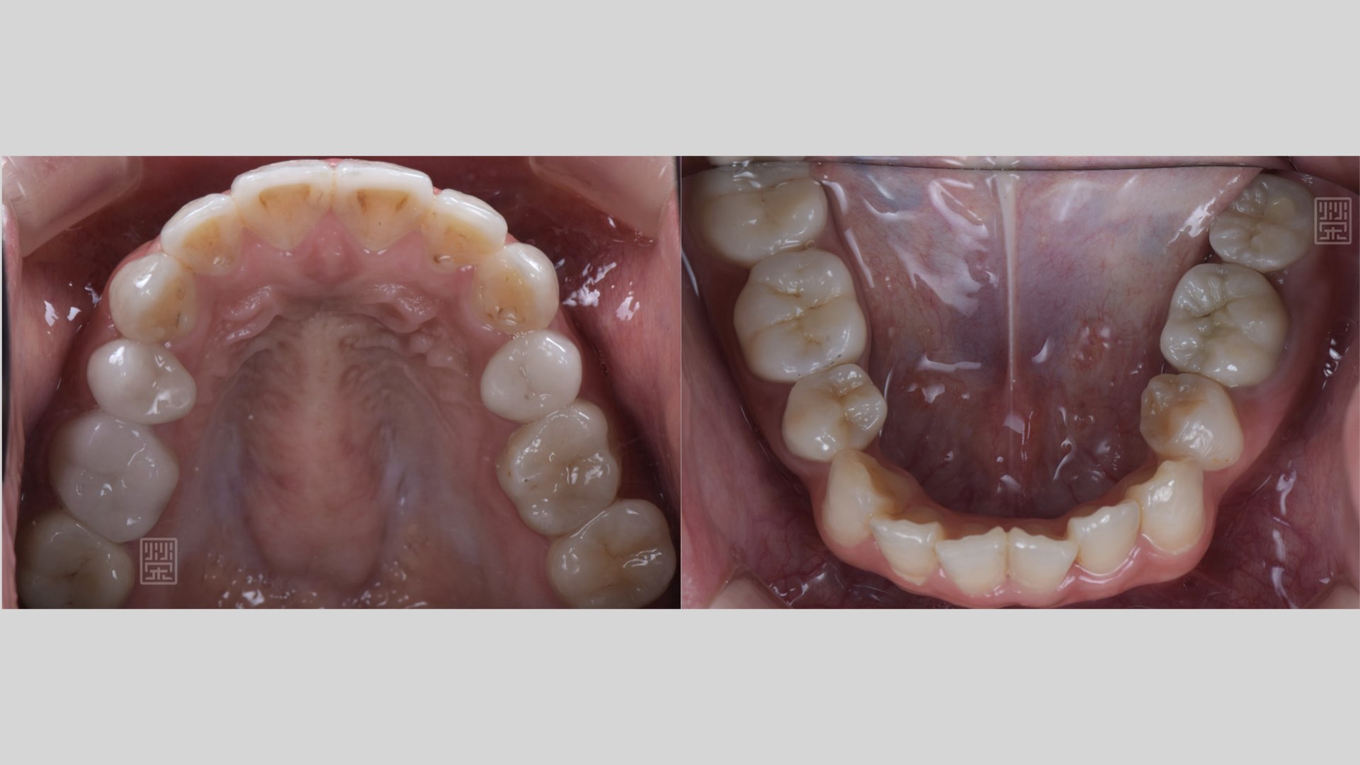
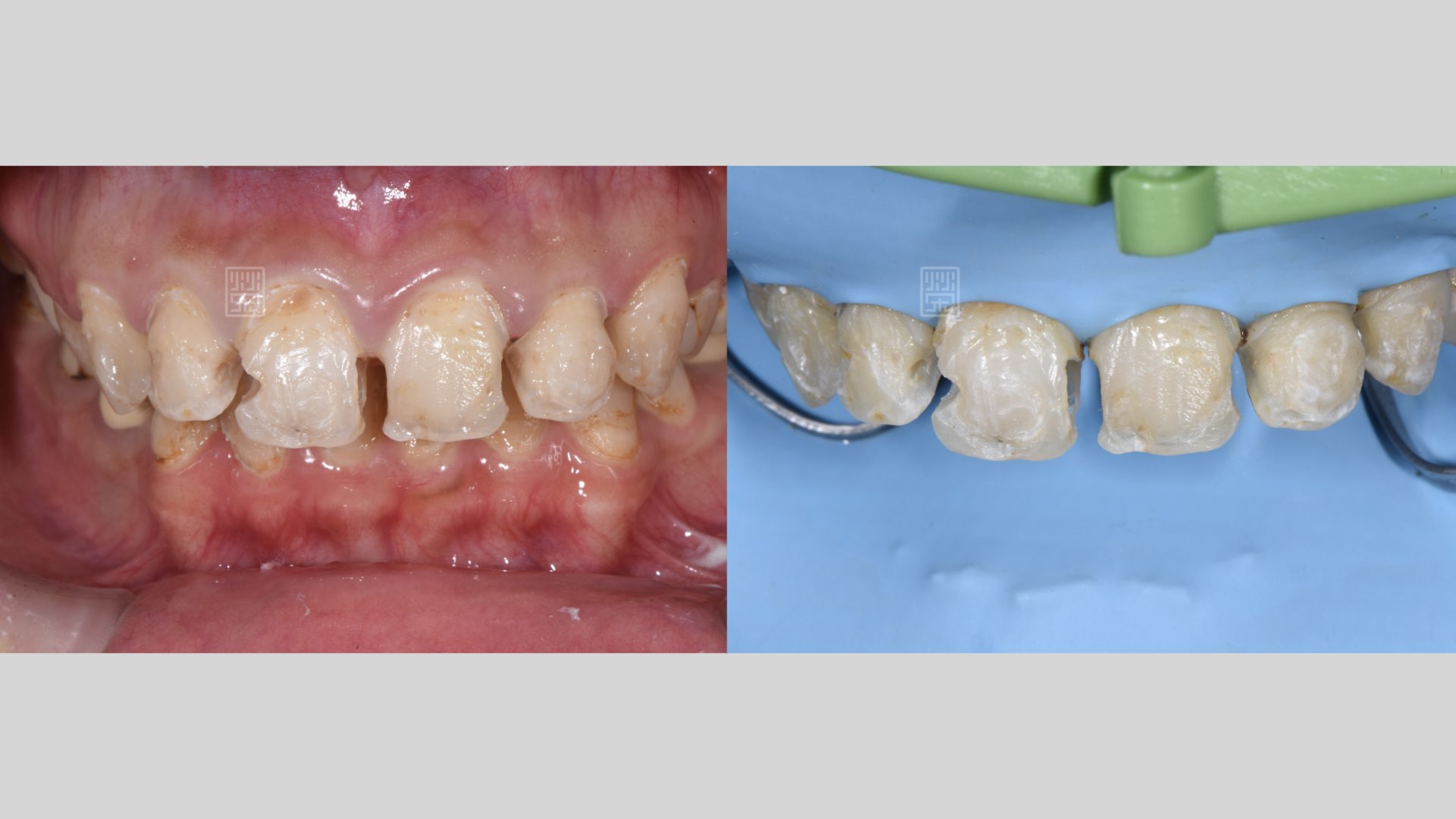
全瓷嵌體完成

全瓷貼片完成

全瓷貼片完成


上唇重置術

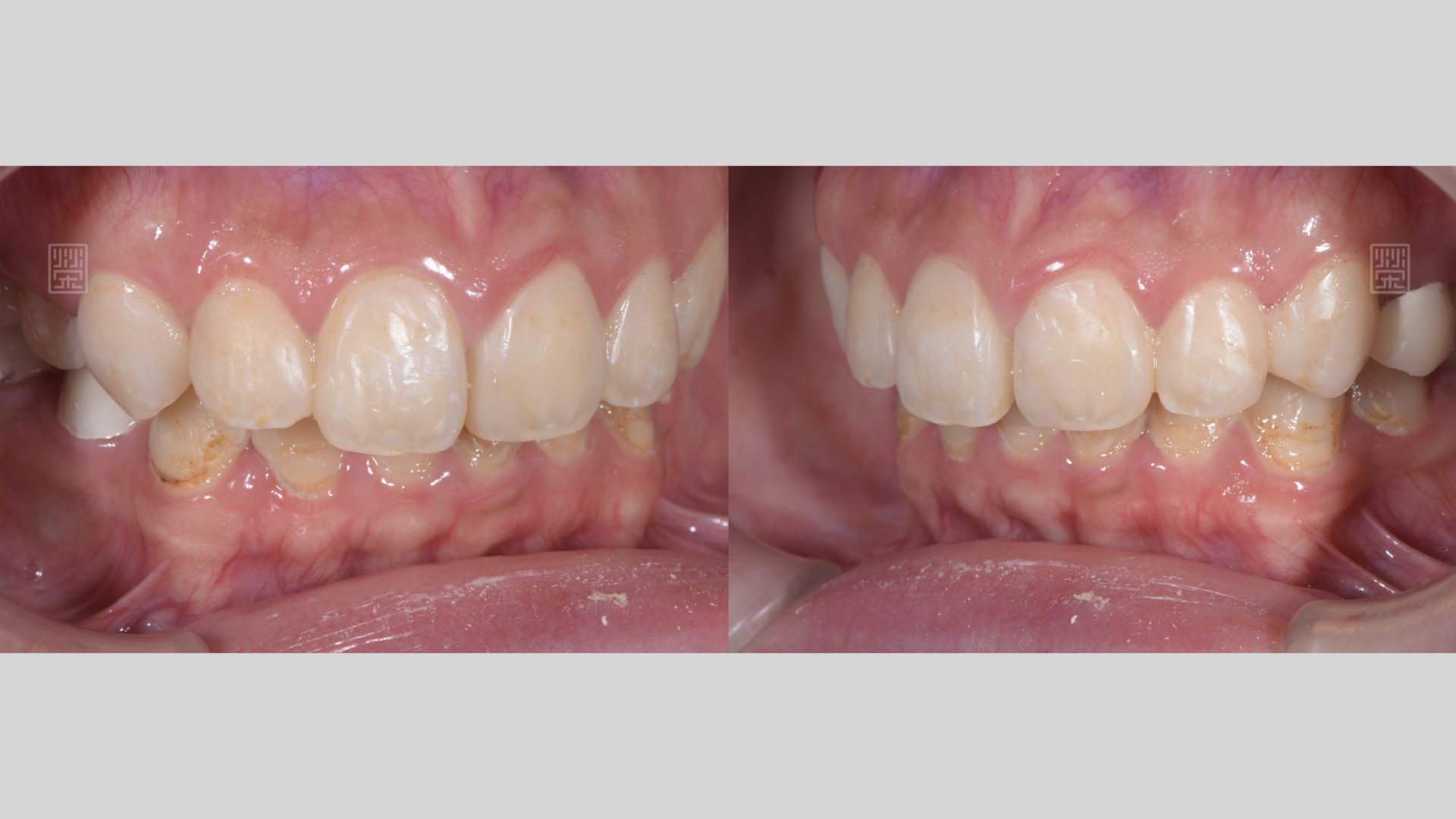
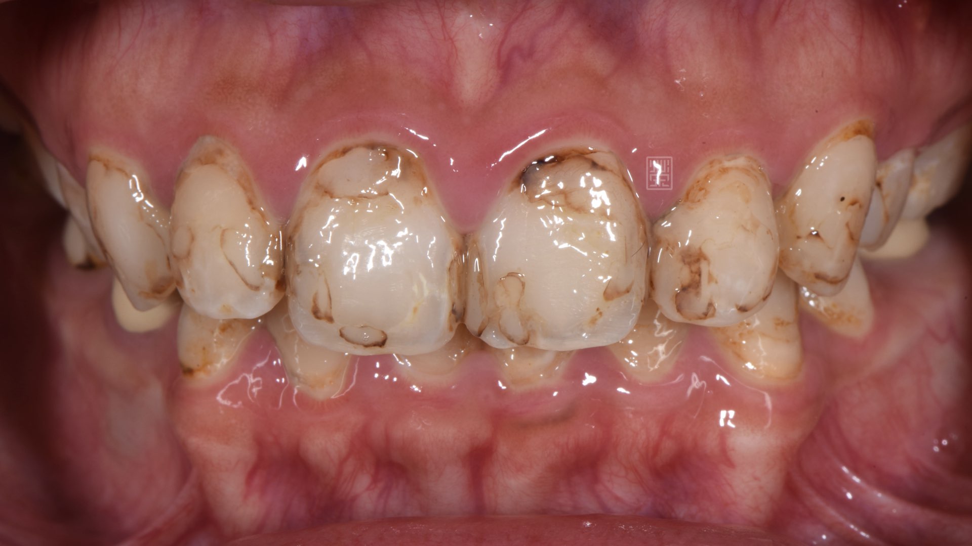
笑齦明顯、尺色偏黃

重新樹脂填補完畢

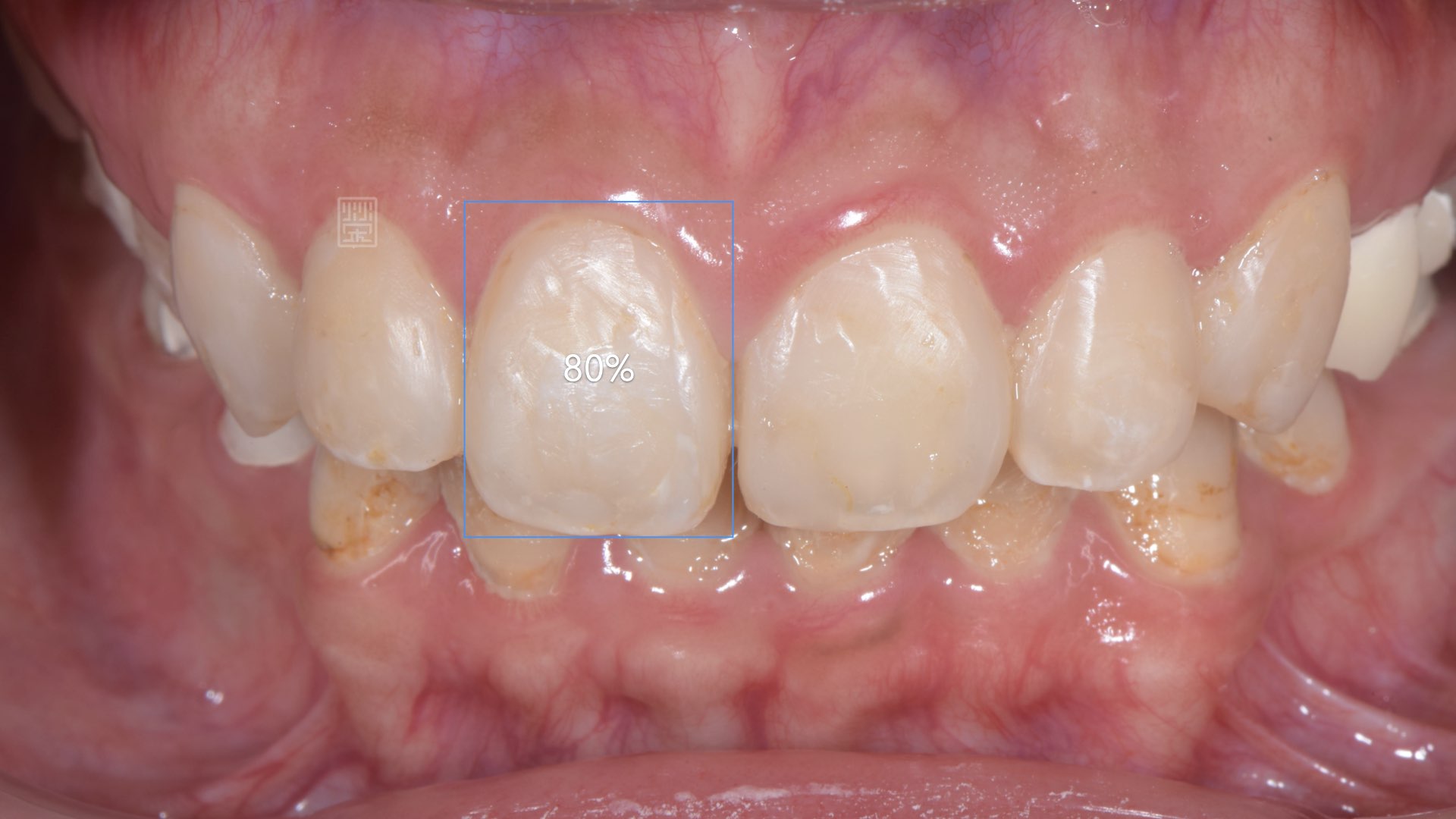
重新樹脂填補完畢,門齒比例80%,不宜做牙冠增常術

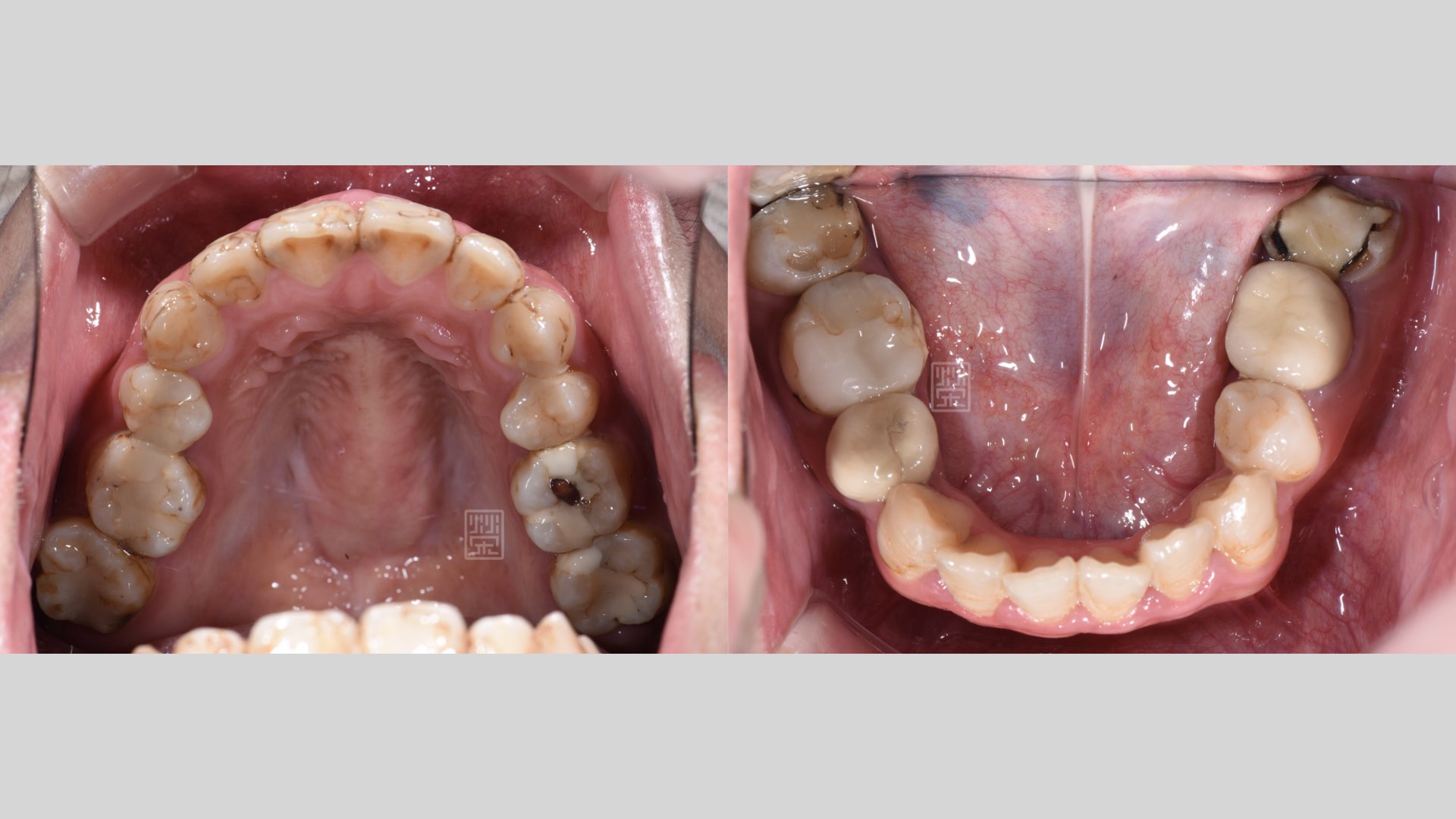
後牙蛀牙清除

後牙蛀牙清除

後牙蛀牙清除後,牙髓受感染,MTA覆髓治療

門齒蛀牙清除

後牙多次蛀牙填補

後牙多次蛀牙填補

門齒多次蛀牙填補