我~~超~~怕~~看~~牙~~!!!
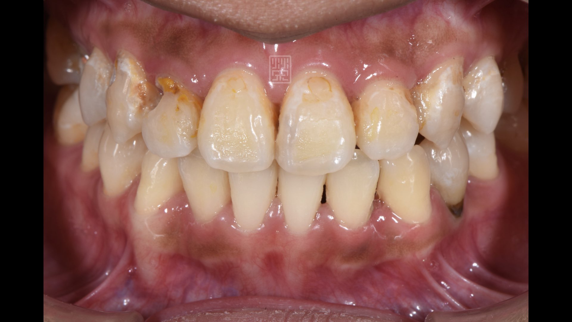
也就是因為這樣,長期對於牙科很懼怕,除非到最後一刻,不然絕不踏進牙醫診所一步,這也造成許多深及牙根的蛀牙甚至牙齒斷裂,已經嚴重造成飲食問題了。
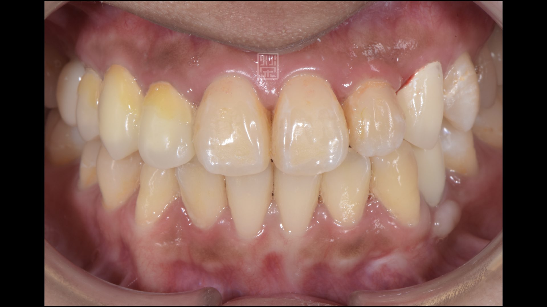
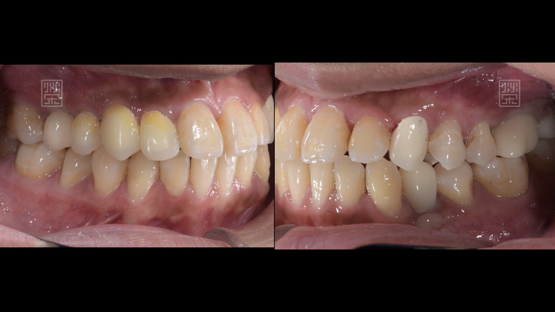
經過診斷後,發現有牙髓神經發炎、深及牙根蛀牙、牙齒斷裂後的殘根、矯正後殘餘固定器的樹脂;藉由奈米樹脂、全瓷冠、植牙恢復功能與美觀。
非常謝謝楊小姐這一路漫長旅程的配合,期待未來只需要穩定回診與檢查,讓踏進牙科,不再是楊小姐心中最懼怕的一塊禁地,而是輕鬆檢查的代名詞。

牙齒蛀牙造成牙髓神經發炎

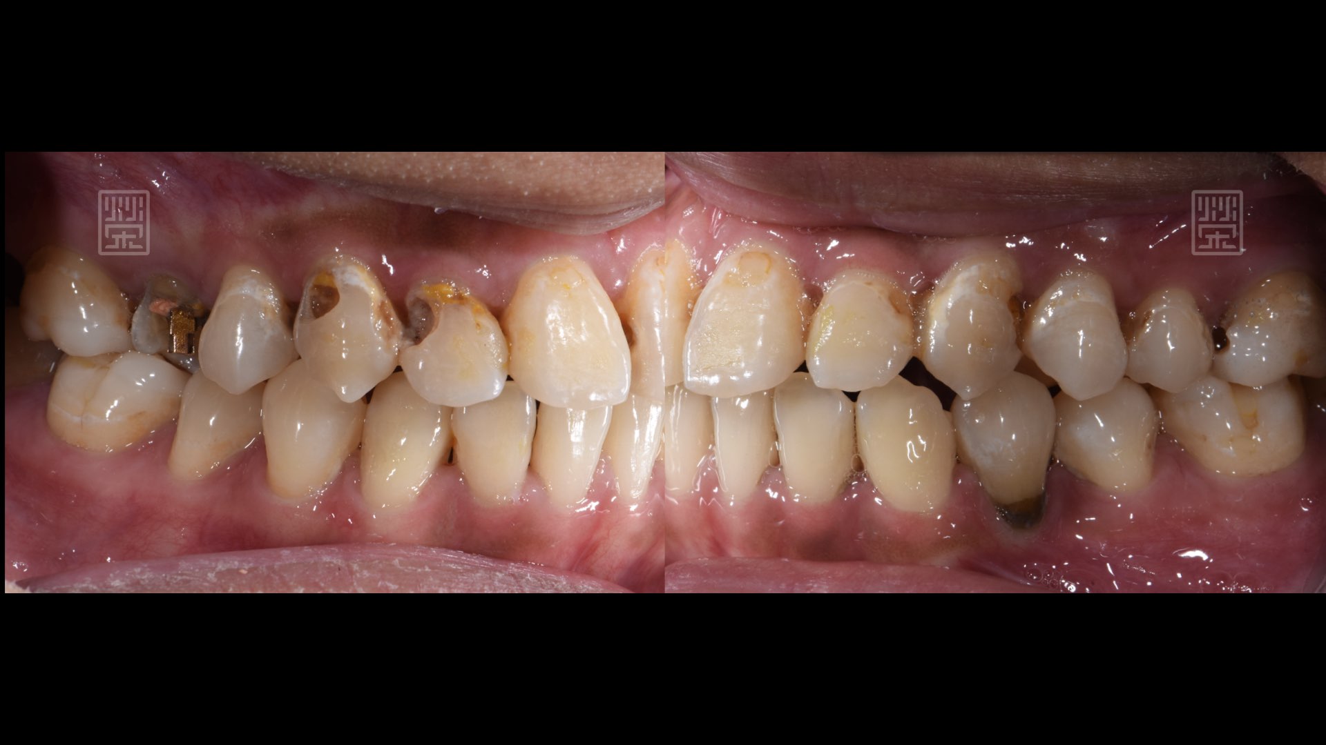
後方牙齒蛀牙斷裂

牙齒明顯蛀洞

奈米樹脂、臨時假牙修復

奈米樹脂、臨時假牙、植牙修復

奈米樹脂、臨時假牙、植牙修復

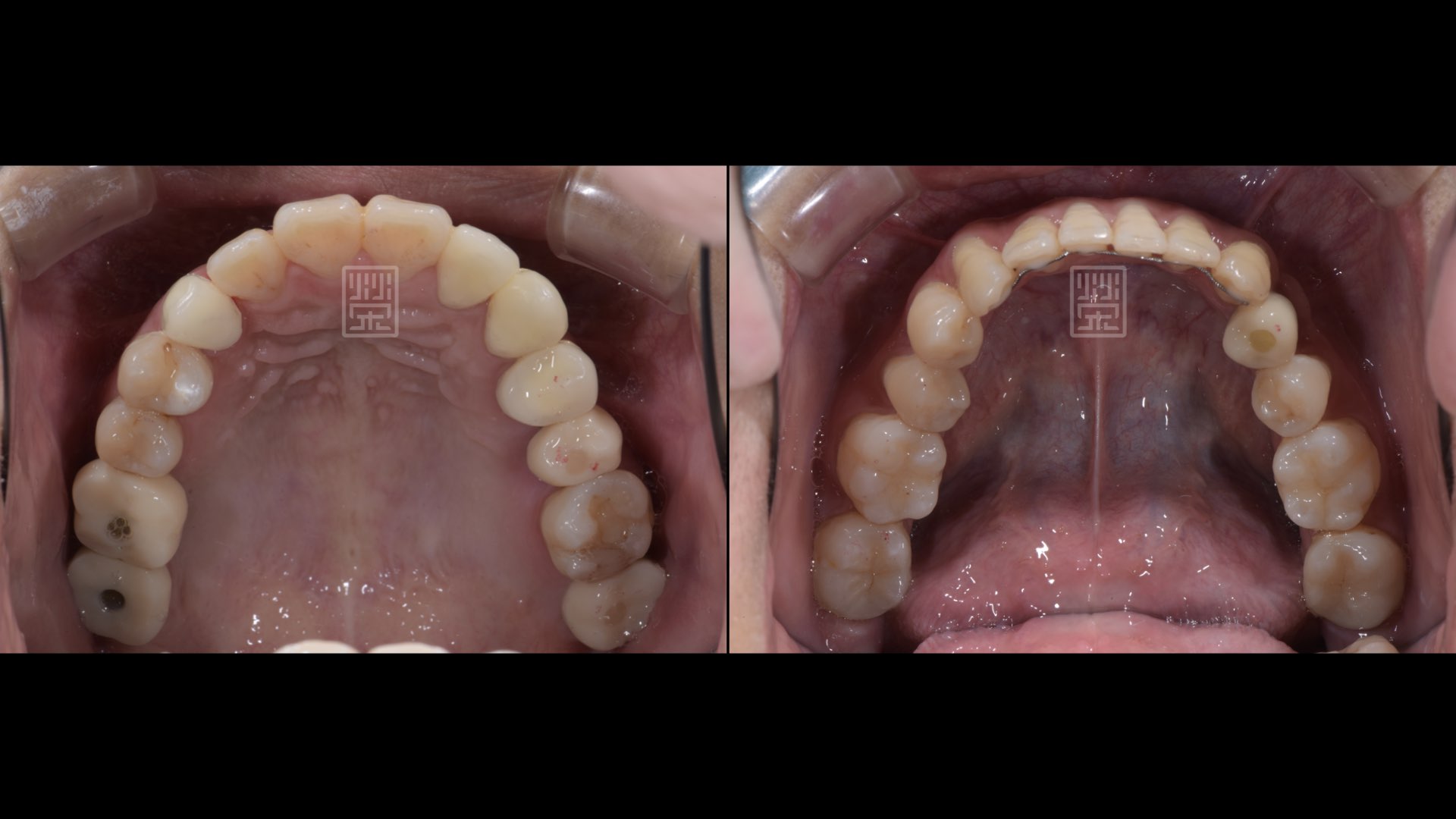
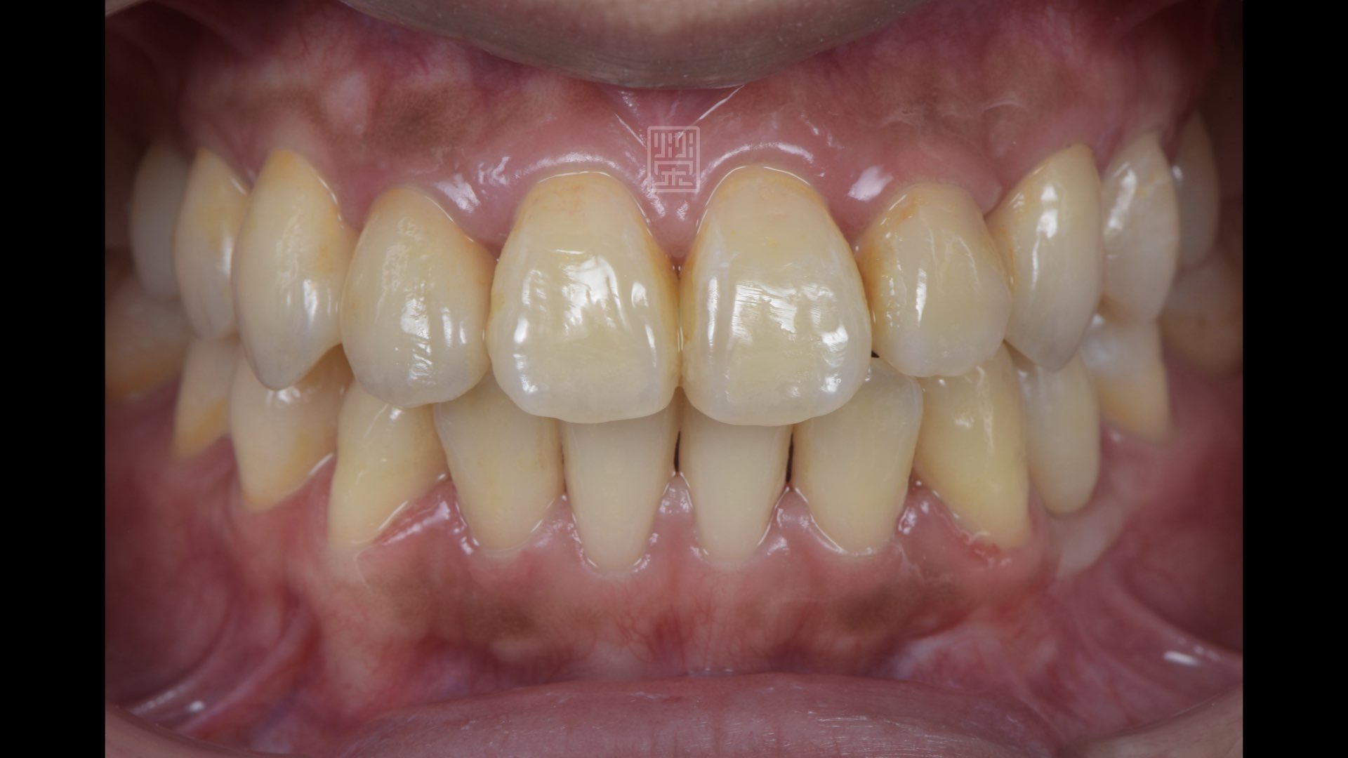
全瓷冠完成,是哪顆呢?

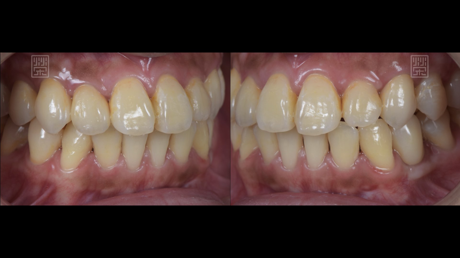
全瓷冠、植牙修復完成

全瓷冠、植牙修復完成

開心的笑~~揪咪