我矯正後門牙有縫開掉,該怎麼處理呢?---全瓷冠修復

陳小姐在矯正後,因為疏於佩戴維持器,中門牙間產生了牙縫,回到矯正醫師調整後,也無法完全改善,還是有些縫關不起來,除了外觀,也會有食物殘渣卡住的問題。
由於門牙已經是全瓷冠,榮醫師只好將全瓷冠拆除,重新製作,將門縫關起來,恢復牙齦健康與美觀。
門牙有縫,講話笑起來都很明顯
門牙有縫,講話笑起來都很明顯

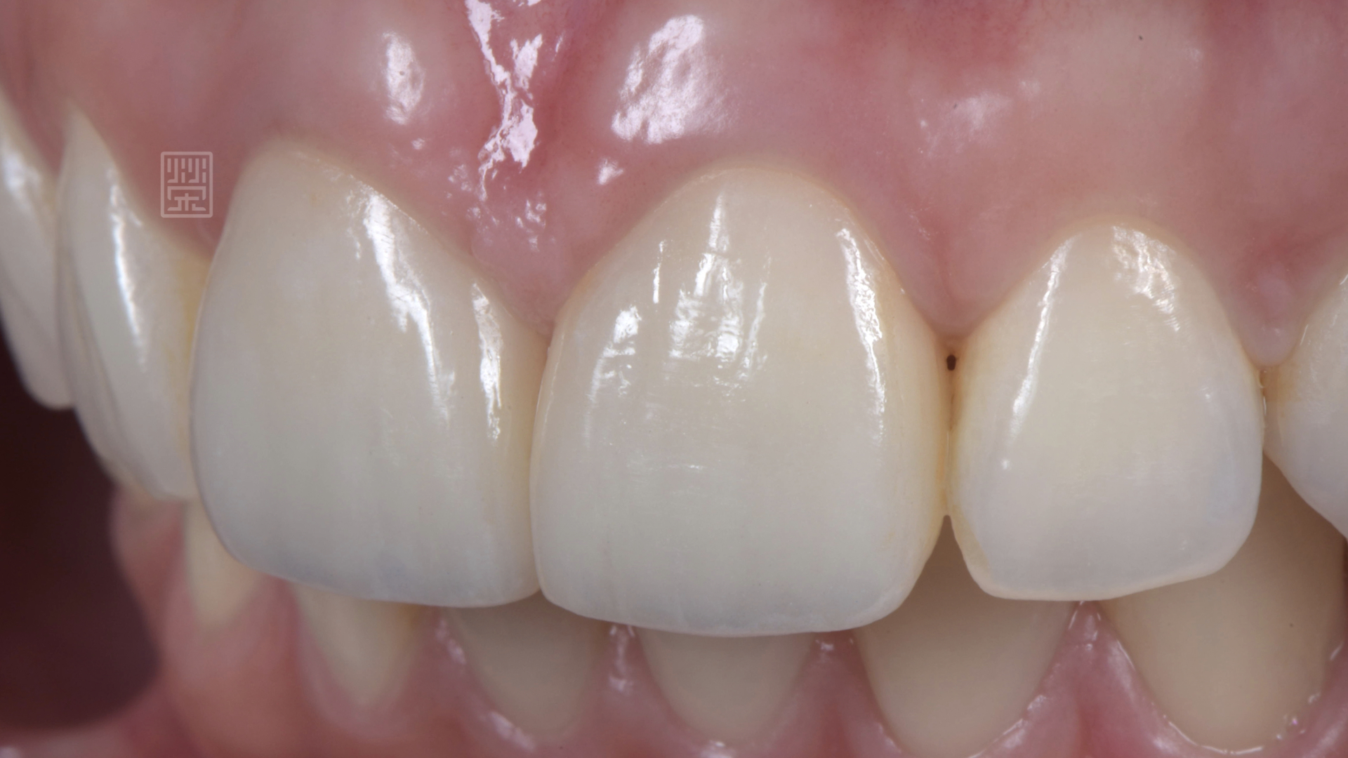
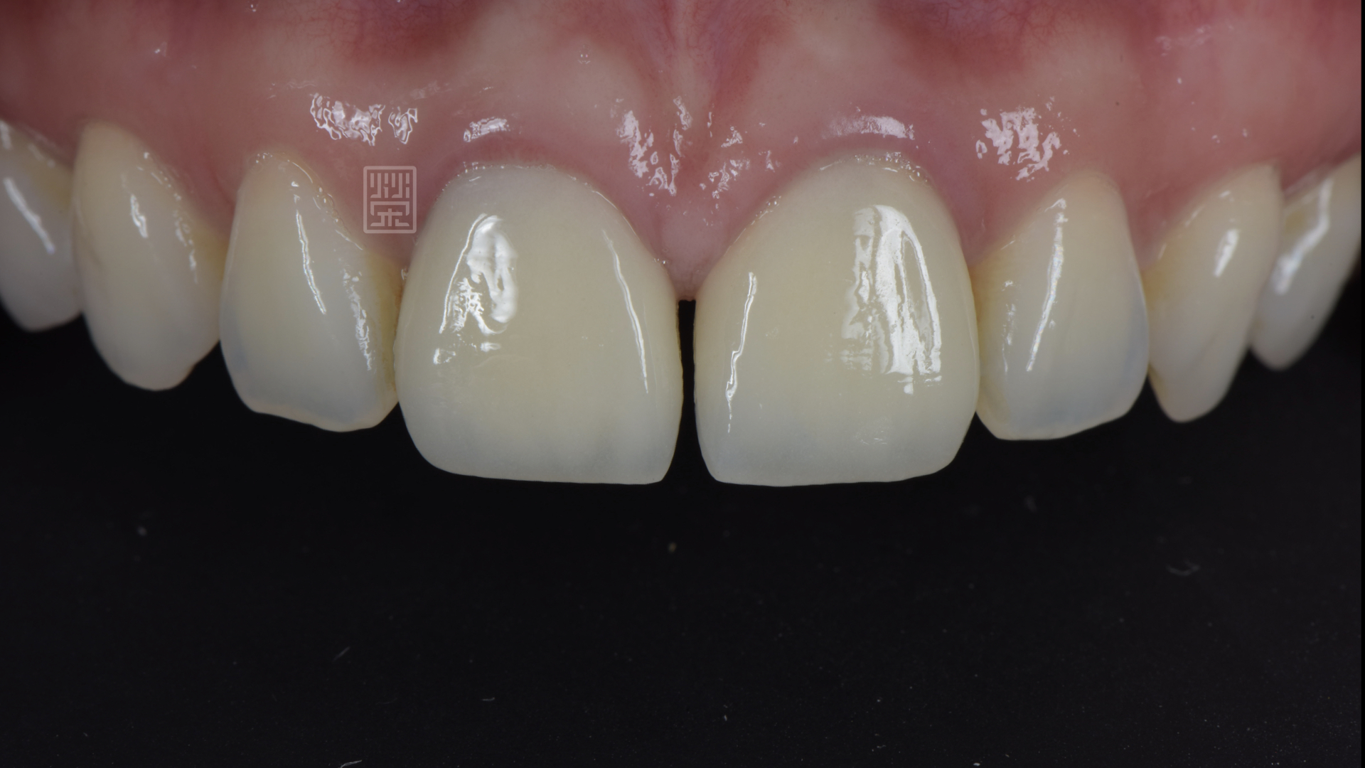
中門牙有縫,牙齦發炎
中門牙有縫,牙齦發炎

中門牙有縫,牙齦發炎
中門牙有縫,牙齦發炎

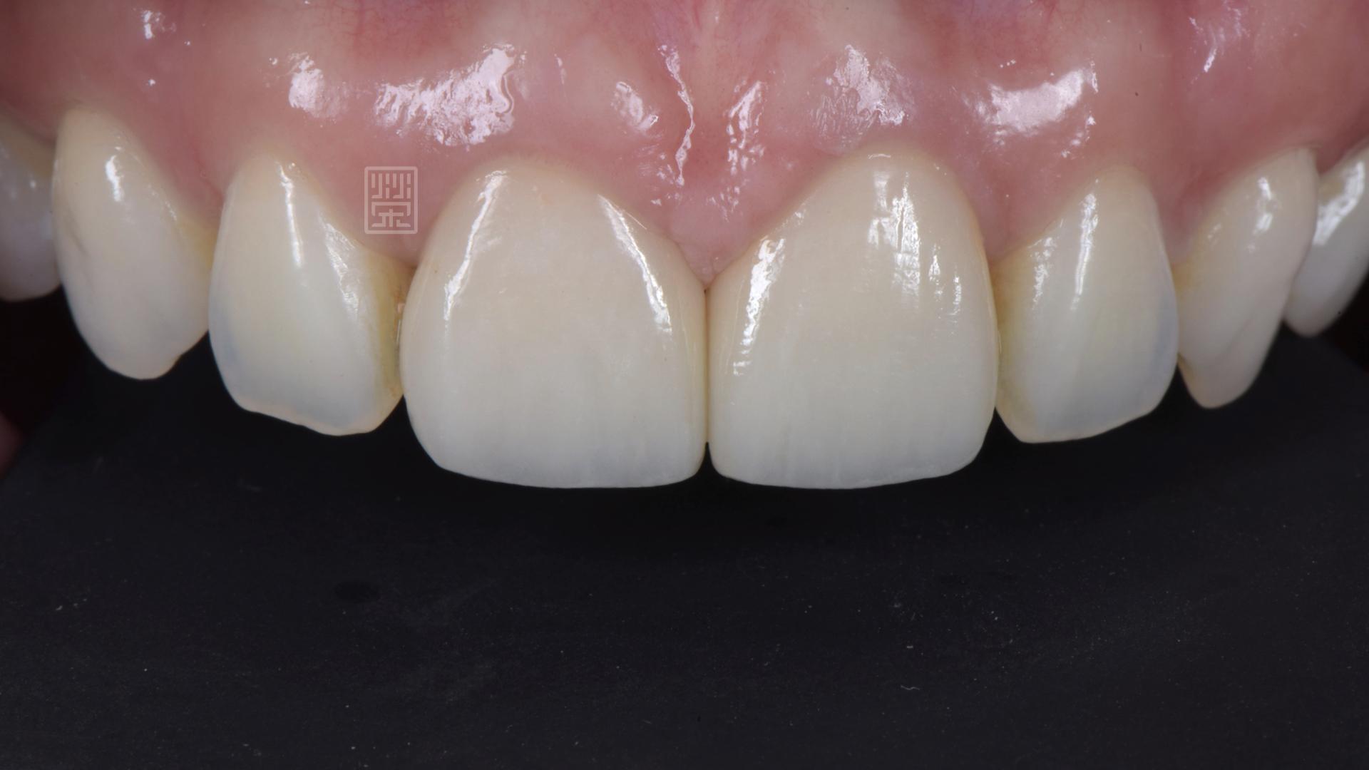
門牙全瓷冠修復,恢復牙齦健康與關閉牙縫
門牙全瓷冠修復,恢復牙齦健康與關閉牙縫

門牙全瓷冠修復,恢復牙齦健康與關閉牙縫
門牙全瓷冠修復,恢復牙齦健康與關閉牙縫

門牙全瓷冠修復,恢復牙齦健康與關閉牙縫
門牙全瓷冠修復,恢復牙齦健康與關閉牙縫