根管治療後牙齒變黑了,要怎麼處理呢------齒內美白後,全瓷冠貼片修復

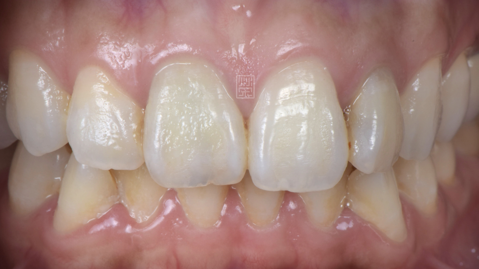
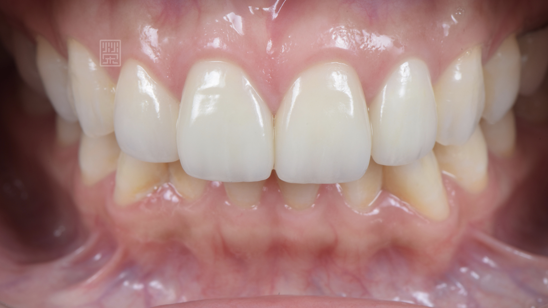
王小姐因為門牙根管治療牙齒變深色,加上多年前填補的樹脂顏色與牙齒不同,而且門牙又有點不整齊,一直覺得牙齒不是很好看,由於變色的牙根會造成全瓷冠透出黑影,所以將牙齒做齒內美白,將齒內色素清乾淨,再將全瓷冠狀戴上去,讓整體顏色均勻自然
根管治療後牙齒變黑
根管治療後牙齒變黑

根管治療後牙齒變黑
根管治療後牙齒變黑

變色牙根會讓全瓷冠透出黑影
變色牙根會讓全瓷冠透出黑影

牙齒顏色會因脫水變色
牙齒顏色會因脫水變色

全瓷冠貼片完成
全瓷冠貼片完成

全瓷冠貼片符合微笑曲線
全瓷冠貼片符合微笑曲線