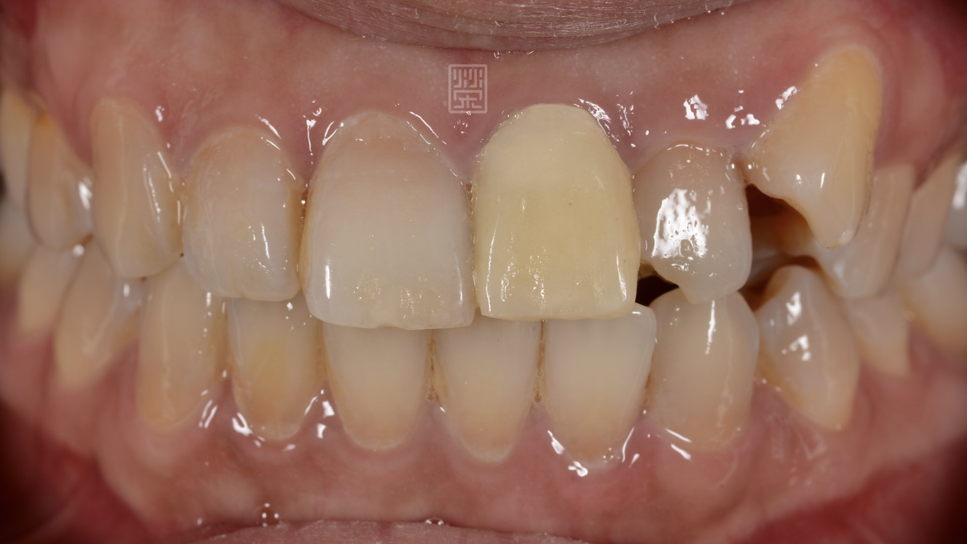
陳小姐因為車禍意外,門牙撞斷了,來榮醫師門診時,發現已經斷裂很深,幾乎跟骨頭齊平,一般來說這時需要拔除並且安排植牙治療。
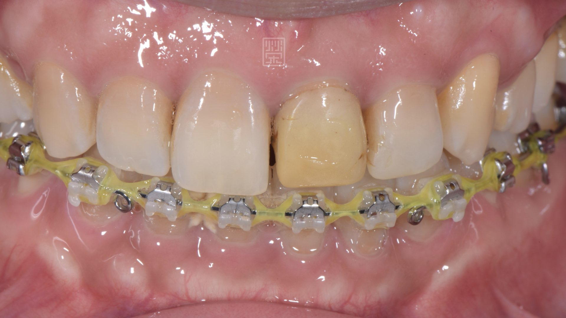
但是與陳小姐仔細溝通後,發現陳小姐很想改善不整齊的牙齒,特別是左邊的虎牙,與矯正醫師溝通後,將左邊斷裂的門牙做根管治療、纖維鑄釘與臨時假牙修復,並將牙齒製作短一些,這樣一來,除了讓矯正醫師可以有確切的空間與牙齒長軸調整外,還可以將牙齒拉出,保留牙根。
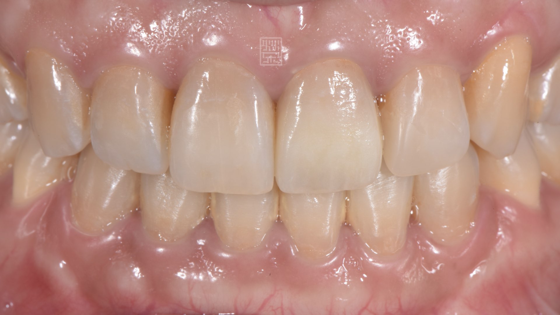
等到矯正結束,利用數位比色驗證的方式,製作全瓷牙冠,恢復牙齒的美觀與功能。
陳彥朋矯正醫師
https://photo.xuite.net/esthetique99/20476429/68.jpg
賴宏昇技師
https://www.facebook.com/profile.php?id=100000291770026

外傷撞斷後,先用臨時假牙恢復

矯正後,牙齒已經排整齊,並將牙齒拉出

數位驗證比色,模仿對稱牙型態顏色

全瓷冠

完成照