所以在矯正前,先將舊假牙更換,並且參考以前的照片與電腦斷層掃描,重新恢復二十年前門牙的狀態。交給矯正醫師後,經歷兩年的齒列調整,回來時臉型、齒列都獲得極大的改善。
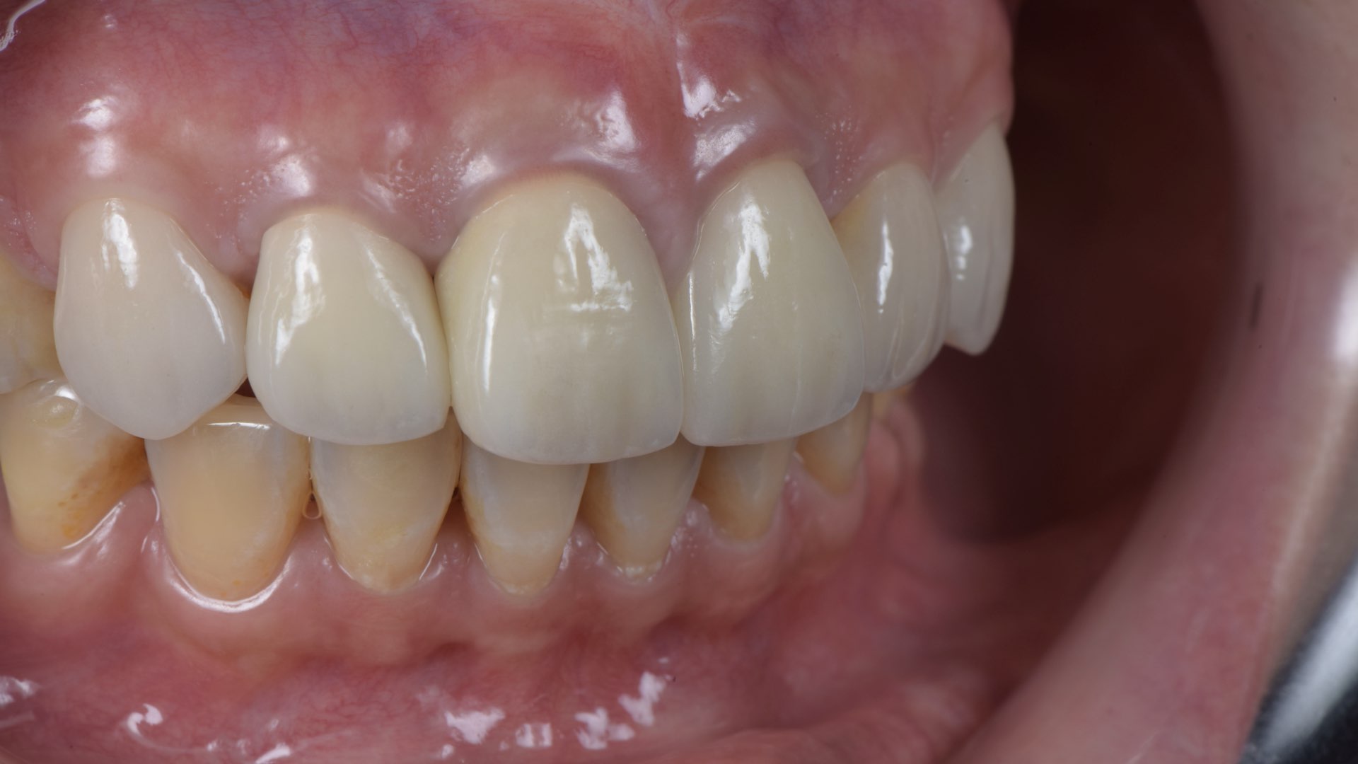
接下來就是榮醫師的拿手好戲了,首先將兩側牙齦做些許調整,讓牙齦與牙齒的搭配看起來更和諧,等待牙齦穩定後,與陳小姐討論,一起將右側犬齒與左側側門牙用貼片修復,讓整體的顏色更和諧。藉由與矯正醫師的協同搭配,是不是讓陳小姐整個人不一樣了呢?

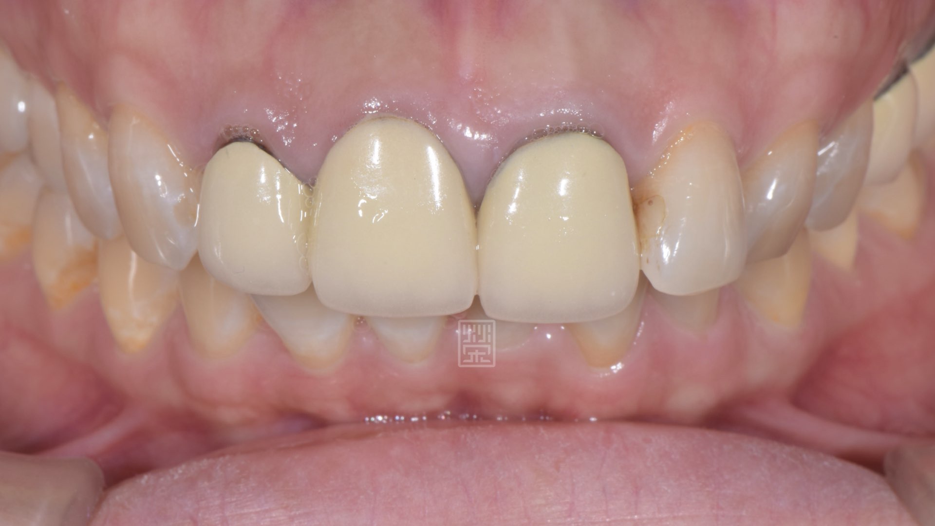
舊假牙邊緣變色

舊假牙邊緣變黑,牙齒暴,笑齦多

矯正前將舊假牙拆除,並且恢復以前牙齒的排列,以方便矯正醫師牙齒移動

矯正前將舊假牙拆除,並且恢復以前牙齒的排列,以方便矯正醫師牙齒移動

矯正前將舊假牙拆除,並且恢復以前牙齒的排列,以方便矯正醫師牙齒移動

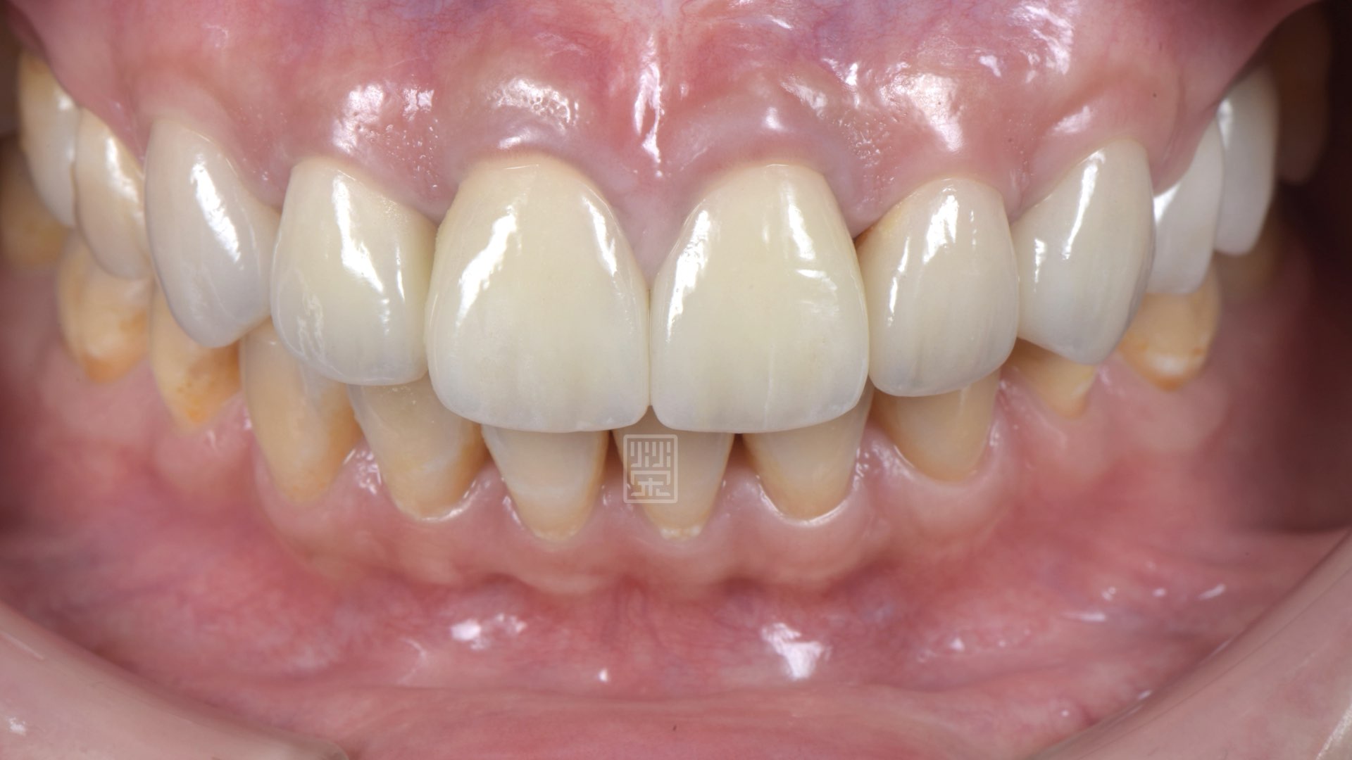
矯正兩個月後,牙齒位置明顯改變

矯正結束後準備完成全瓷冠與貼片

藉由牙齦美容,將兩側牙齦調整至和諧

臨時假牙階段溝通型態與位置

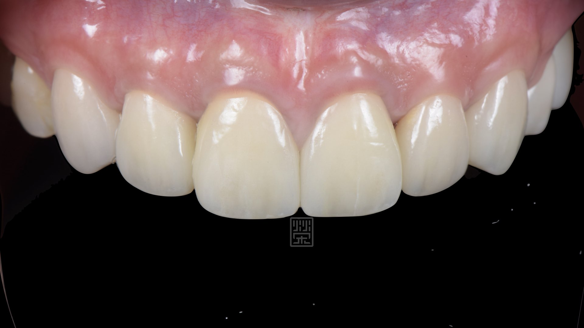
與下唇和諧,符合微笑曲線

全瓷冠與貼片完成

全瓷冠與貼片完成

嶄新自信的笑容

嶄新自信的笑容

全瓷冠與貼片完成

治療後換然一新