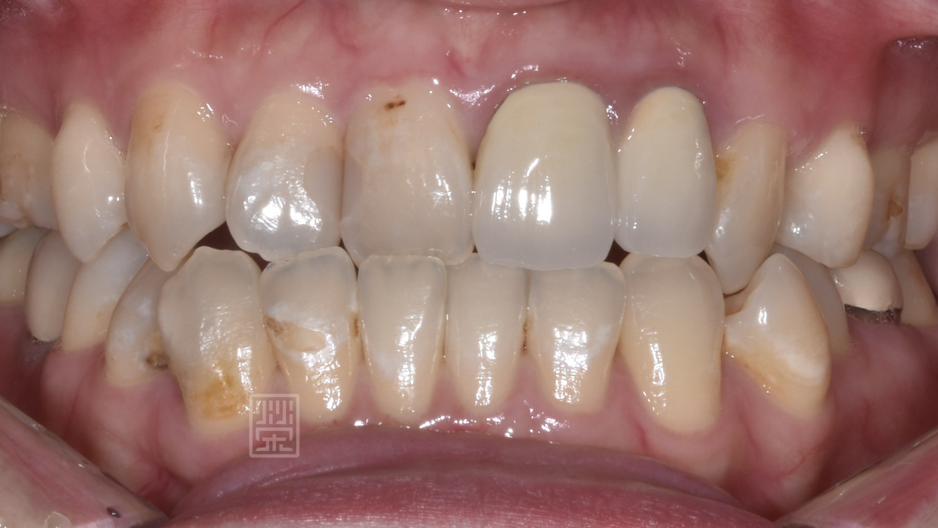
林小姐因為牙齒錯咬,發音咀嚼不甚方便,想藉由矯正改善;矯正結束後,發現門牙的舊牙冠還有大範圍舊樹脂變色,讓林小姐覺得門牙的顏色斑駁不勻,榮醫師診療後發現主要是舊的瓷貼付金屬冠顏色與牙齒不和諧,還有大的舊樹脂變色與小部分蛀牙,討論後決定用貼片與全瓷冠恢復前牙美觀。
但是左側門牙因為多年前的根管治療,造成幾個問題:
1.牙根變色
2.金屬鑄釘太長太粗,不利移除,無法從齒內美白來調整。
3.單純全瓷冠修復,容易因為空間厚度不同、全瓷材質差異等因素,會不夠和諧。
所以對於左側門牙利用兩層冠的方式修復,先用第一層氧化鋯內觀遮色,讓支台齒與鄰牙顏色相仿,頰側再用貼片修復,讓整體前牙美觀和諧。

矯正前牙齒錯咬

矯正前牙齒錯咬

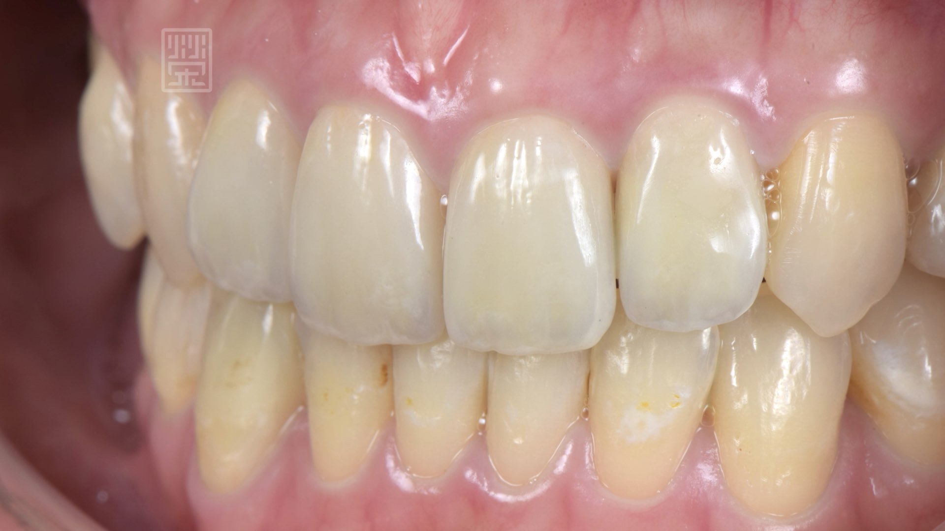
矯正後牙齒排列整齊,但是舊牙冠變色與舊樹脂變色

矯正後牙齒排列整齊,但是舊牙冠變色與舊樹脂變色

利用全瓷冠與貼片修復

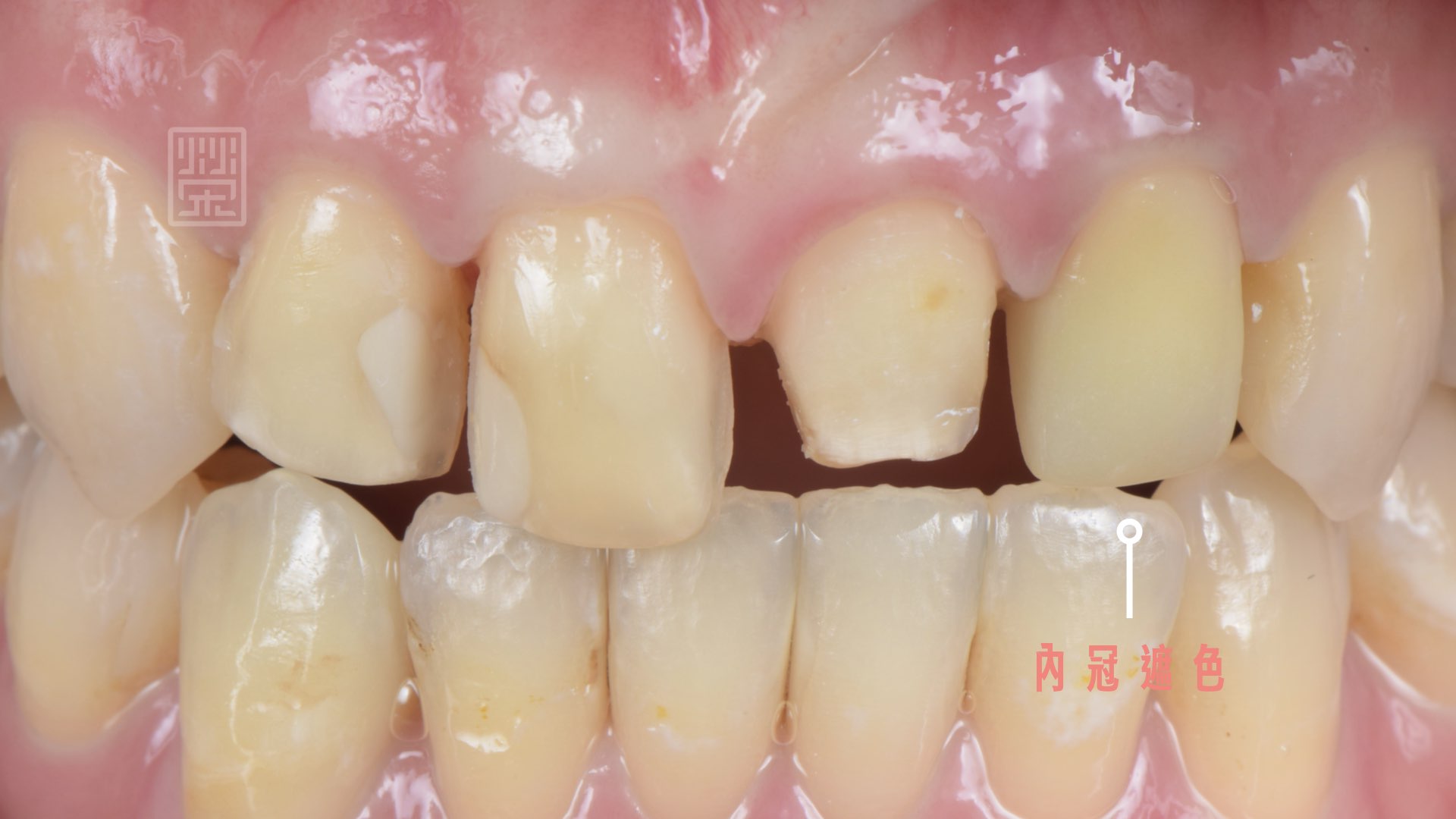
側門牙因為金屬牙釘牙齒整嚴重變色

變色牙齒需要多一些空間

貼片、全瓷冠、全瓷雙層冠

雙層冠與內冠

內層全瓷冠遮色

內層全瓷冠遮色

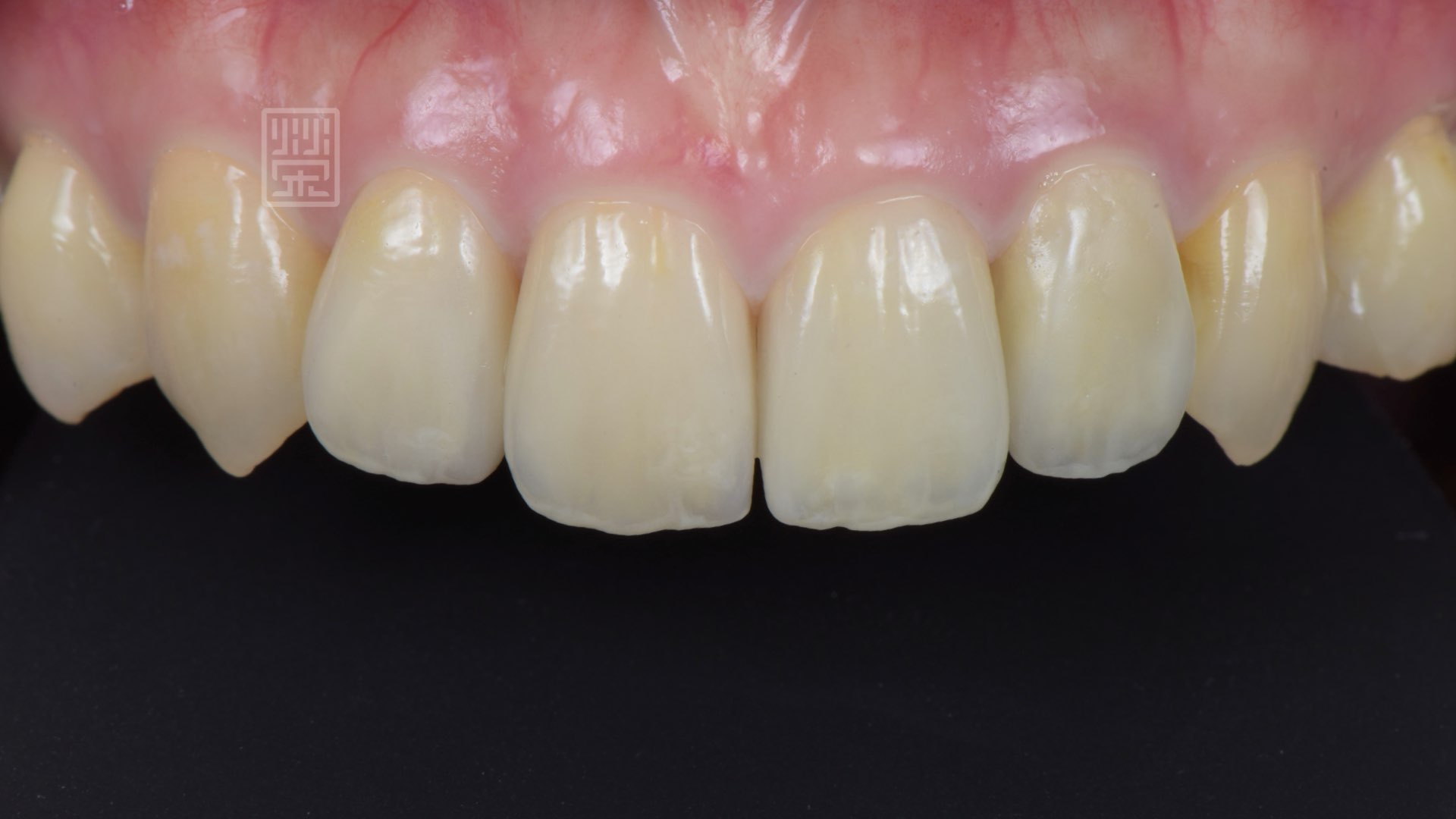
全瓷冠貼片完成

全瓷冠貼片完成

網全瓷冠貼片完成

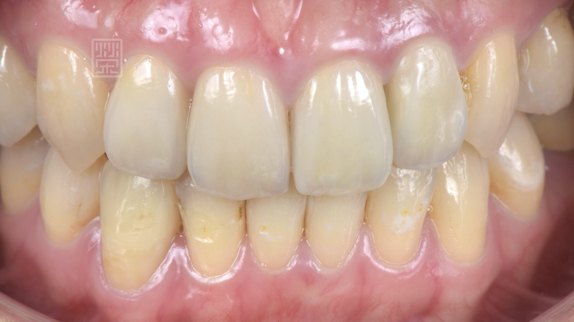
全瓷、牙齒、嘴唇和諧的笑容