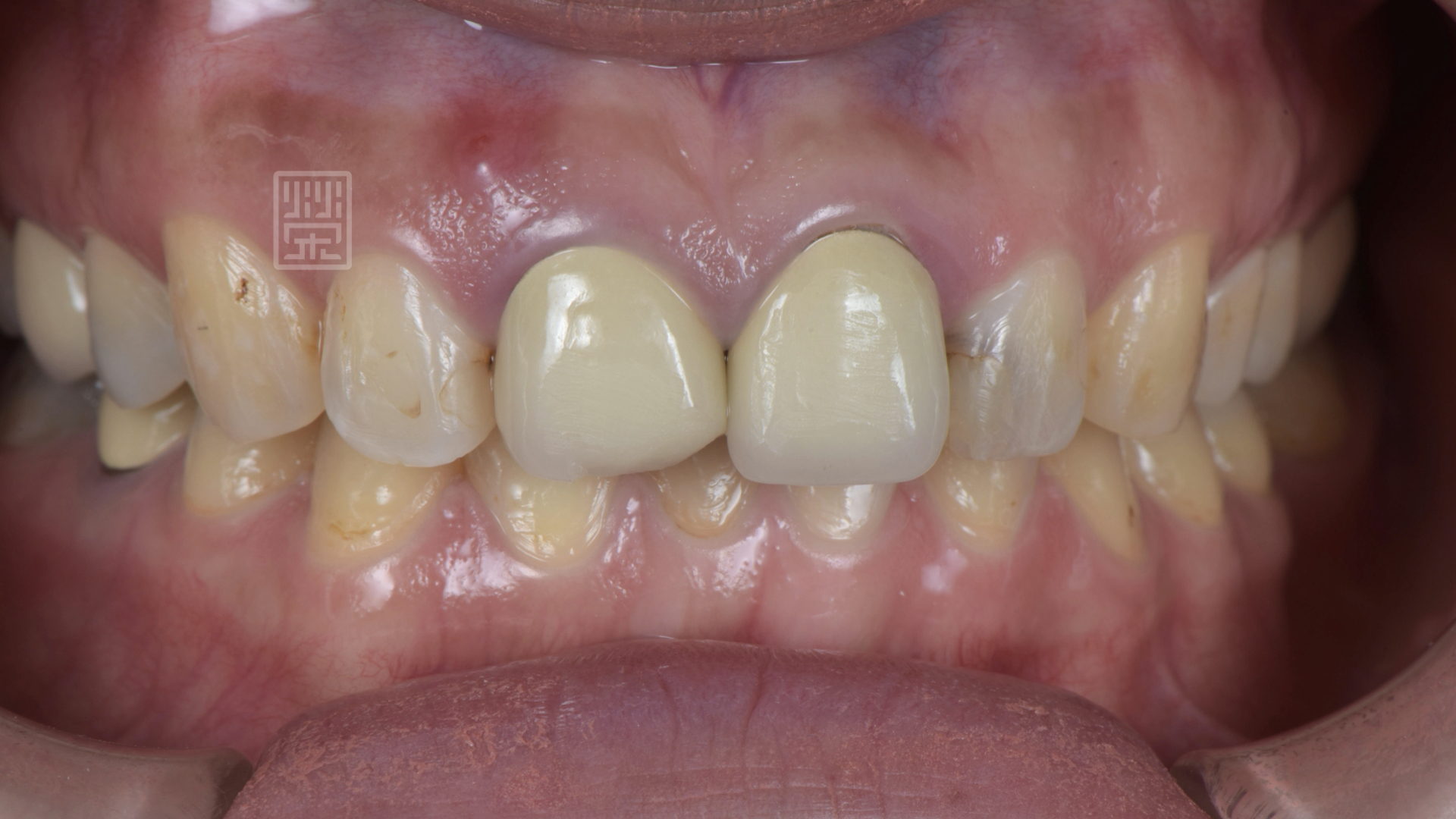
鄧小姐一直覺得笑容不是很滿意,以前的舊假牙邊緣開始黑黑的,加上前陣子因為咬到硬物,邊緣陶瓷裂了一角,更加加深對門牙的在意程度,搞得自己都不敢笑了。
榮醫師檢查後,發現右側門牙根尖有瘻管,右側門牙需要根管治療,預計更換兩個全瓷冠,其餘利用貼片恢復美觀。
但是,就是這個但是......將牙冠、鑄釘移除後,發現右側中門牙牙齒有裂痕,所以就需要改變治療計畫,將右側中門牙改成植牙,解釋後鄧小姐理解這個狀況,安排拔牙與植牙療程。
等到植體癒合穩定後,針對牙齒的長度為製作模擬溝通,顏色部分希望自然白亮即可,所以選擇自然齒色中最白亮的色階,讓整體笑容更加和諧。

假牙破裂,邊緣有黑色邊

右邊中門牙牙齦腫起來

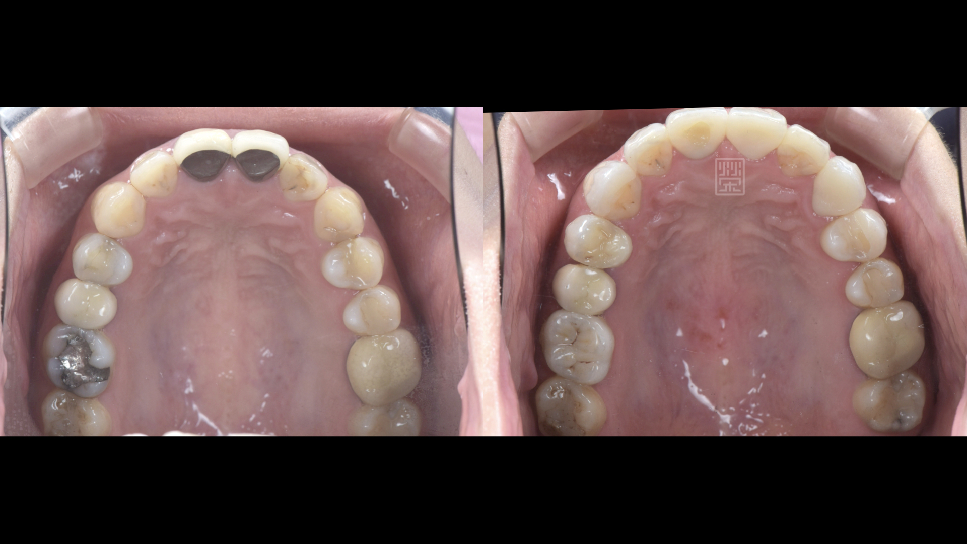
假牙拆除後,發現右邊中門牙有裂痕

模擬牙齒長度

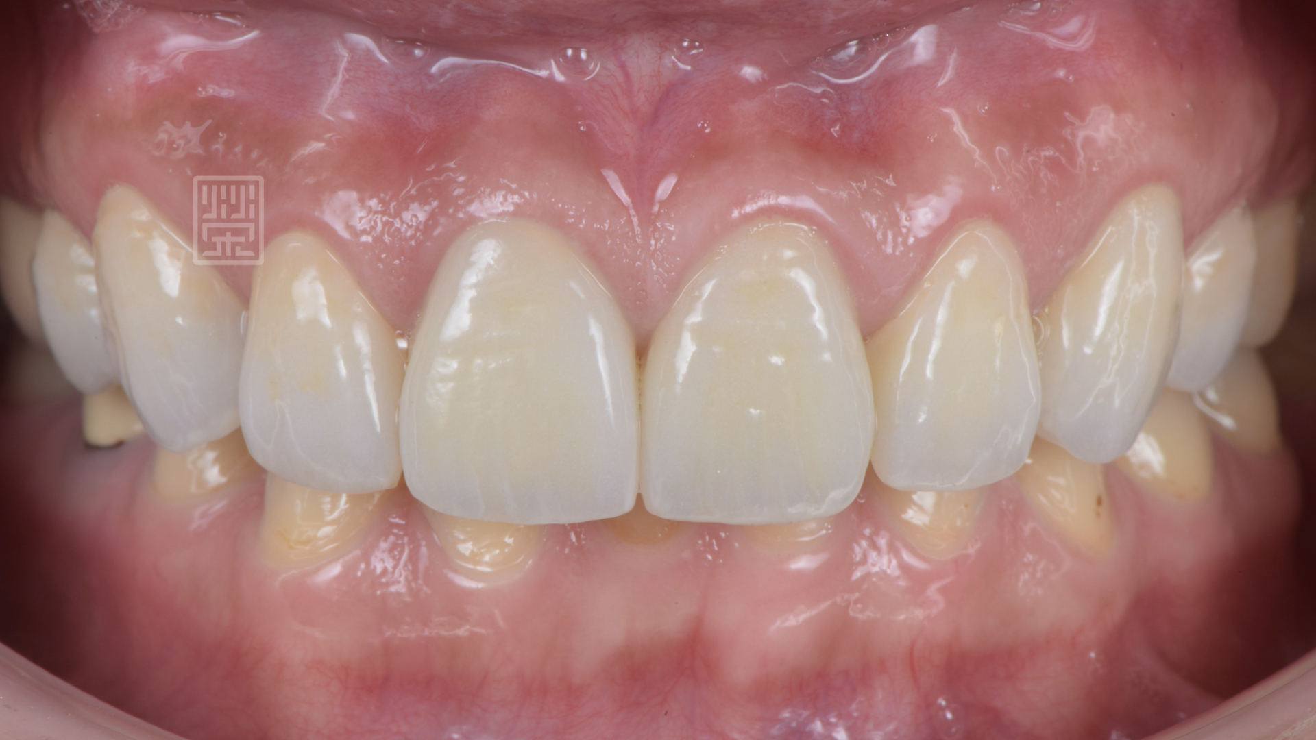
植牙、全瓷冠、全瓷貼片完成

植牙、全瓷冠、全瓷貼片完成

植牙、全瓷冠、全瓷貼片完成

植牙、全瓷冠、全瓷貼片完成

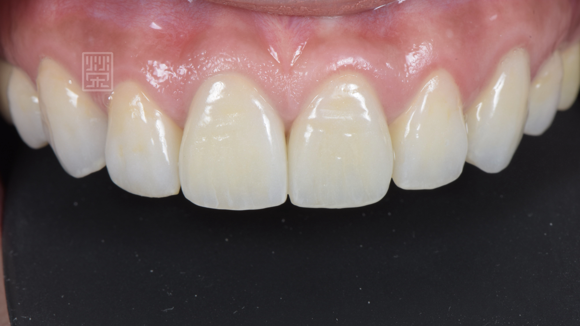
貼片全瓷冠與笑容和諧

貼片全瓷冠與笑容和諧

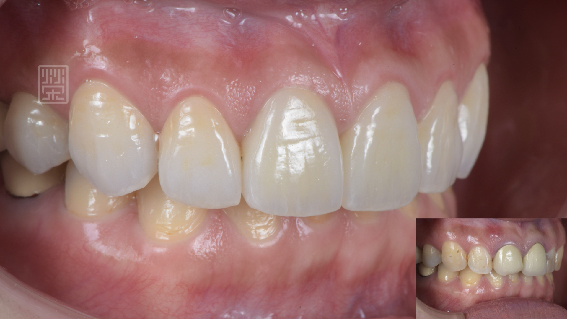
前後對比

前後對比