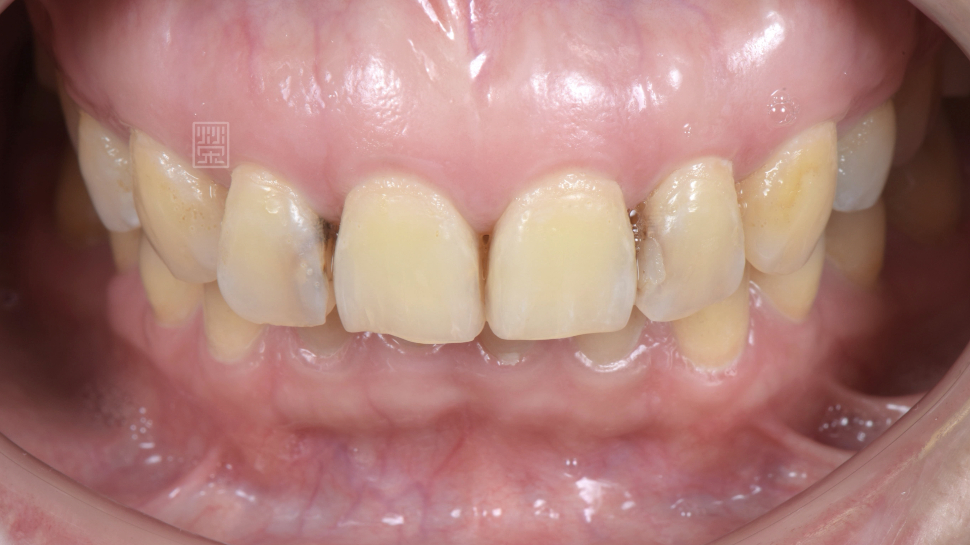
吳小姐一直覺得自己牙齒言偏黃,都不敢露齒笑,照片還用現在的app軟體修圖,讓微笑變成露齒笑,第一次看到照片的時候,榮醫師還以為是單純牙齒美白的軟體,沒想到現在數位科技變得這麼發達,能夠讓沒有變成有了~~
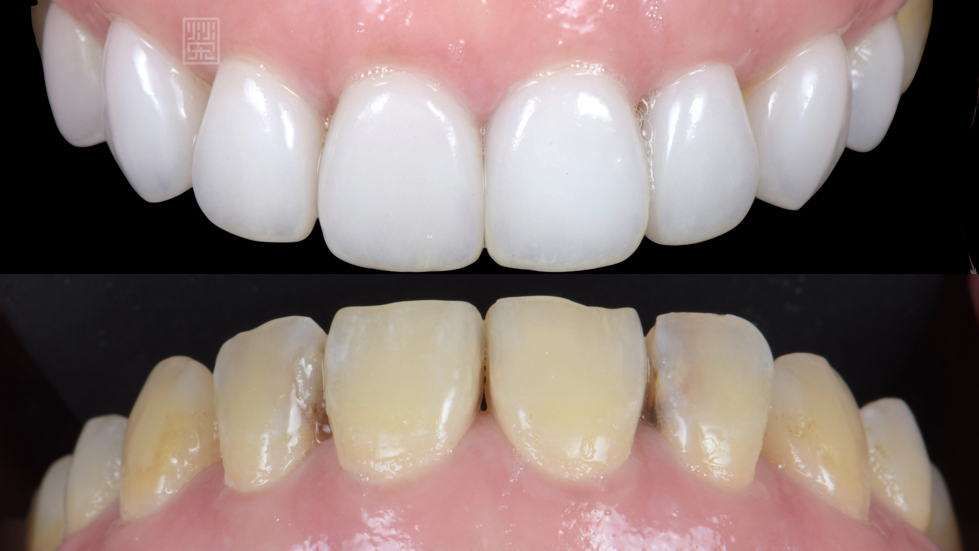
但數位科技總是有它的極限,也就是拍照的時候都只能一個人的個人照,而且角度也有限制,這點讓愛自拍的吳小姐很困擾,為了能夠讓吳小姐可以在各式角度下,都拍到自己滿意的照片,榮醫師診察下,建議做上顎前牙美白貼片,而下顎先用美白將顏色亮度提升,如果真的想要跟上顎一樣亮白,再來製作貼片即可。
流程上,先跟吳小姐溝通牙齒的牙齦位置與切端位置,也就是常常討論到的微笑曲線,分析後發現門牙稍微短一些,藉由牙冠增長術調整,再來將牙齒的舊樹脂填補與蛀牙清除,確定牙齒的病灶已經完整治療,畢竟所有的美觀都要建立在健康的基石上,最後再選擇亮白的牙齒貼片,完成美白貼片的治療,讓吳小姐下次照相,不再擔心自己的牙齒不夠美麗了。

微笑時,門牙四顆切端略平

門牙長度與側門牙長度在側面照時,需要西維調整

門牙長寬比例約為90%,理想應達到75~80%之間

數位微笑模擬,溝通門牙長度,讓微笑曲線設計更好溝通

治療步驟,包含牙冠增長術、去除舊填補物與蛀牙、牙齒美白、比色

與原本齒色相比,明顯增加亮白

全瓷冠貼片完成

貼片與笑容的搭配

網站照片 IIV.022