陳小姐本身是一位護理師,平日工作繁忙,總是對於自己的笑容不是很滿意;榮醫師檢查後,發現除了瓷牙牙冠邊緣變色外,鄰近牙齒也有蛀牙與樹脂填補物變等問題。
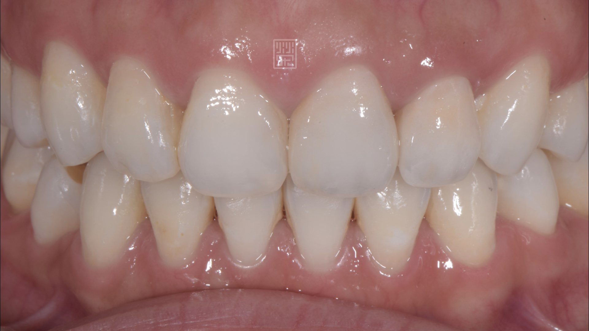
先將瓷牙冠卸下後,經由美白、美學樹脂填補,再經由準確比色,製作出微妙微俏的全瓷冠,可以讓陳小姐自信開心的微笑。

瓷牙冠邊緣變色

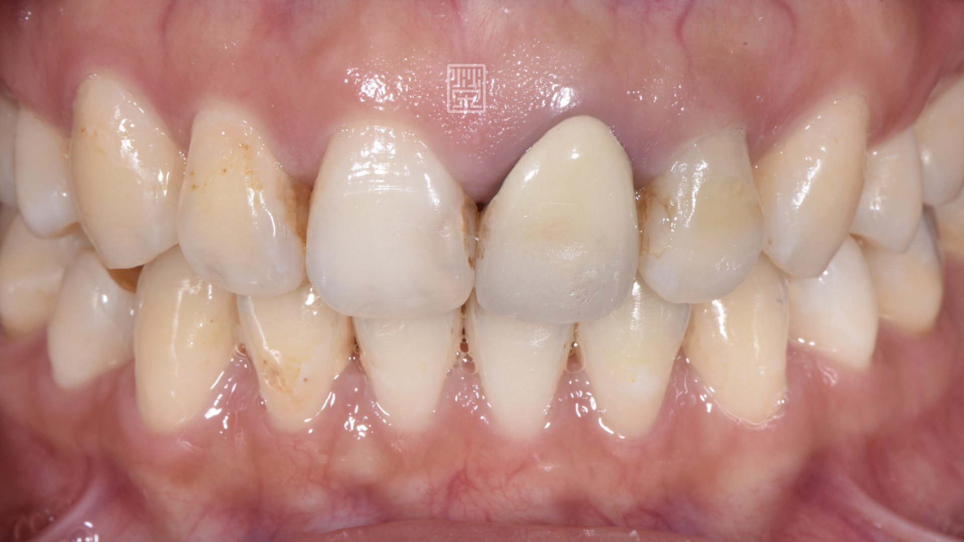
樹脂變色、蛀牙、全瓷冠變色

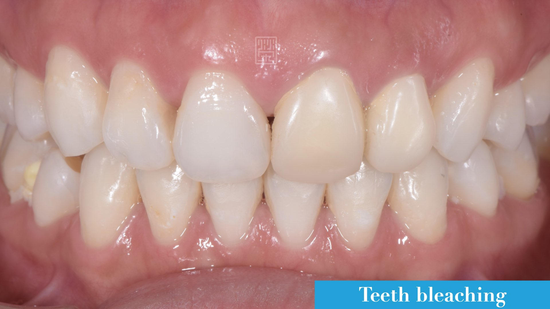
美白後,利用美學樹脂修復

數位精確比色

全瓷冠完成

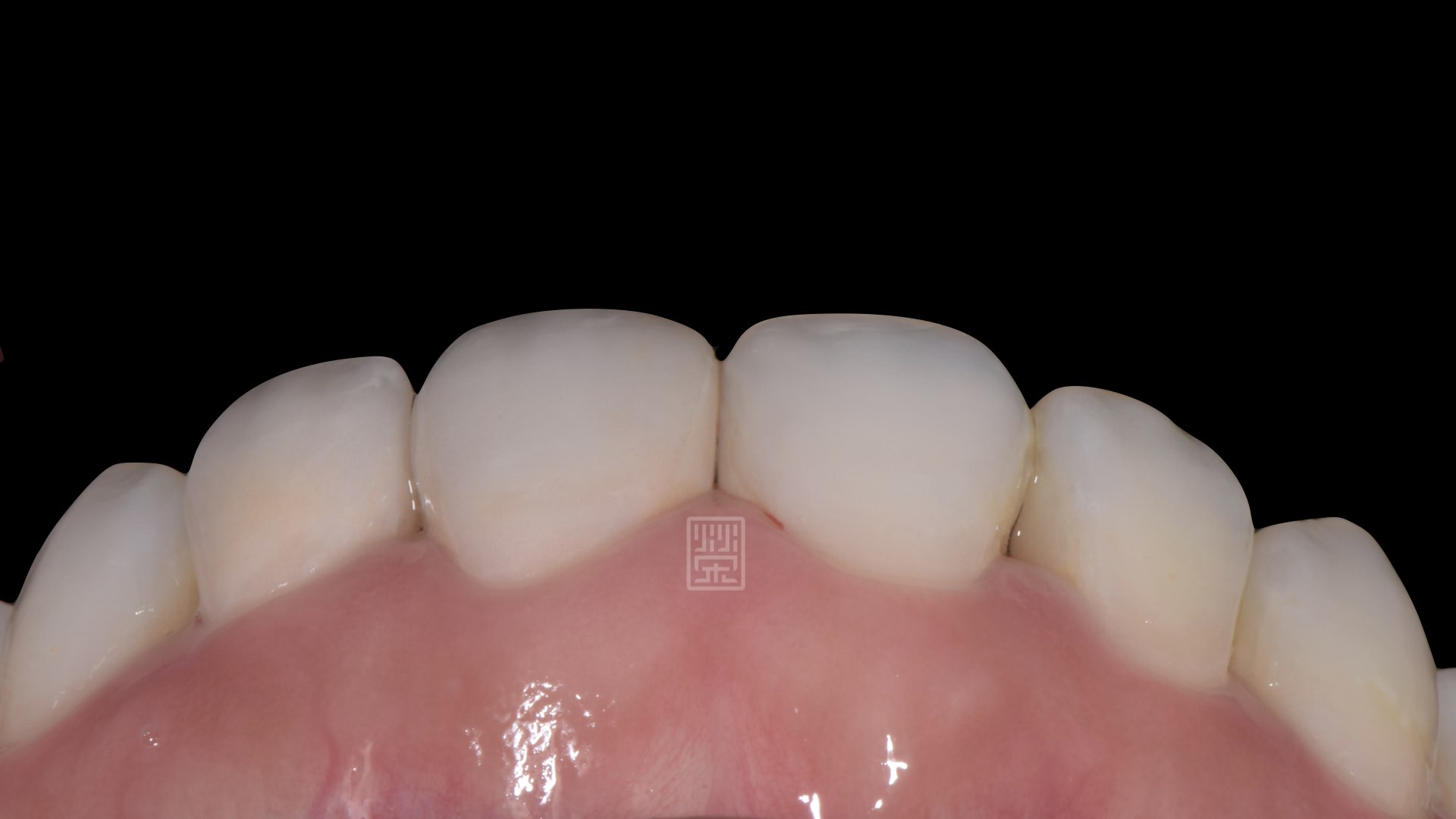
12點鐘完美對稱

牙齦、牙齒、笑容和諧呈現

陳小姐本身是一位護理師,平日工作繁忙,總是對於自己的笑容不是很滿意;榮醫師檢查後,發現除了瓷牙牙冠邊緣變色外,鄰近牙齒也有蛀牙與樹脂填補物變等問題。
先將瓷牙冠卸下後,經由美白、美學樹脂填補,再經由準確比色,製作出微妙微俏的全瓷冠,可以讓陳小姐自信開心的微笑。







