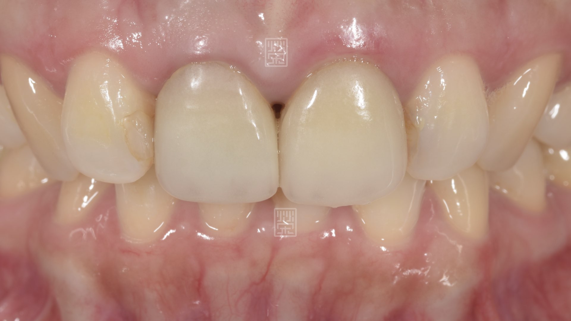
榮醫師診察後,主要是全瓷冠破裂,造成顏色與自然牙不同,但因為全瓷冠邊緣不密貼,長期造成牙齦發炎,所以牙齦有局部萎縮。
與林小姐討論後,除了更換全瓷冠外,還針對萎縮的牙齦,進行牙齦重建,可以改善牙齒中間的黑縫(黑三角),等到牙齦穩定後,完成全瓷冠,讓林小姐在每次的會議上,擁有與專業相稱的自信笑容。

全瓷冠變色,牙齦萎縮

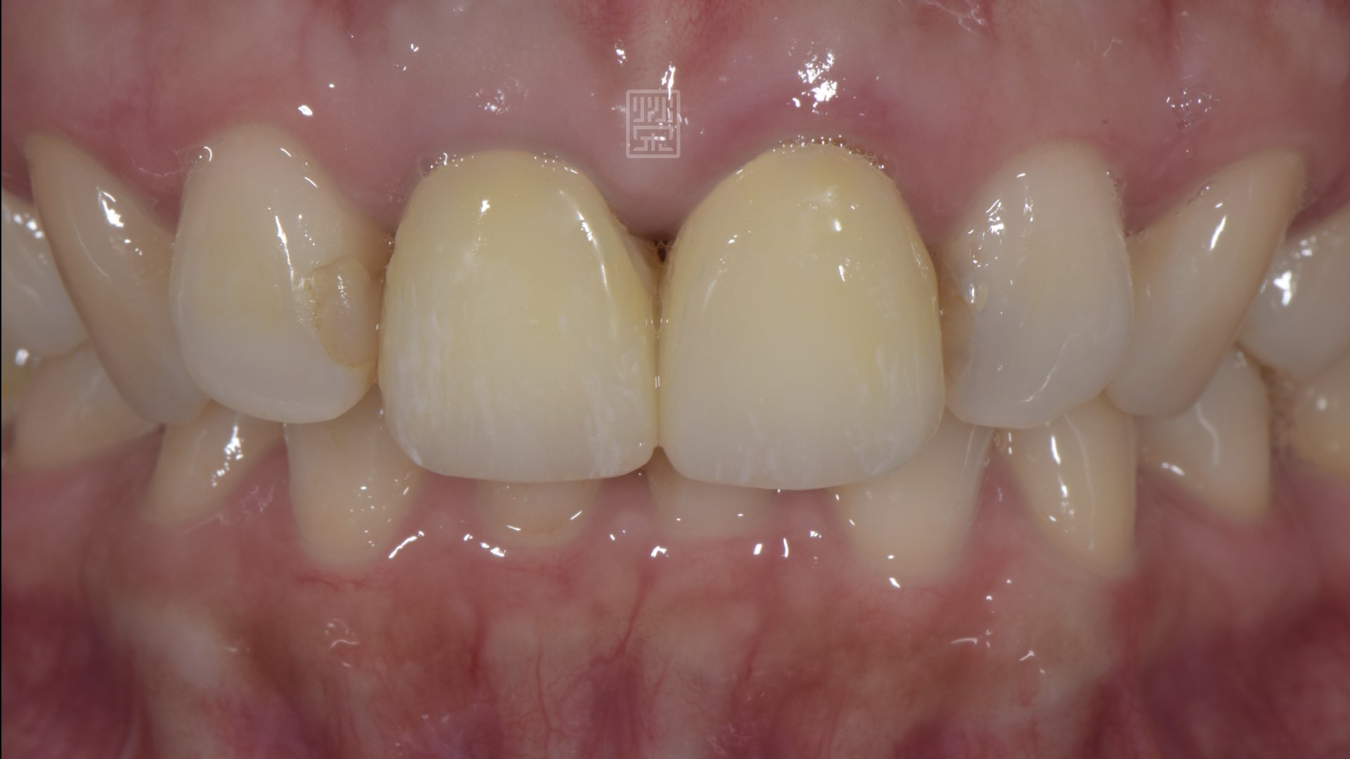
更換成臨時假牙

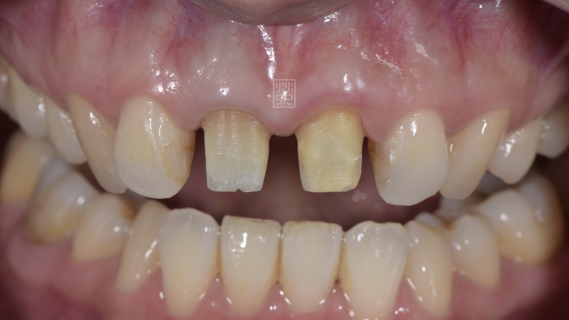
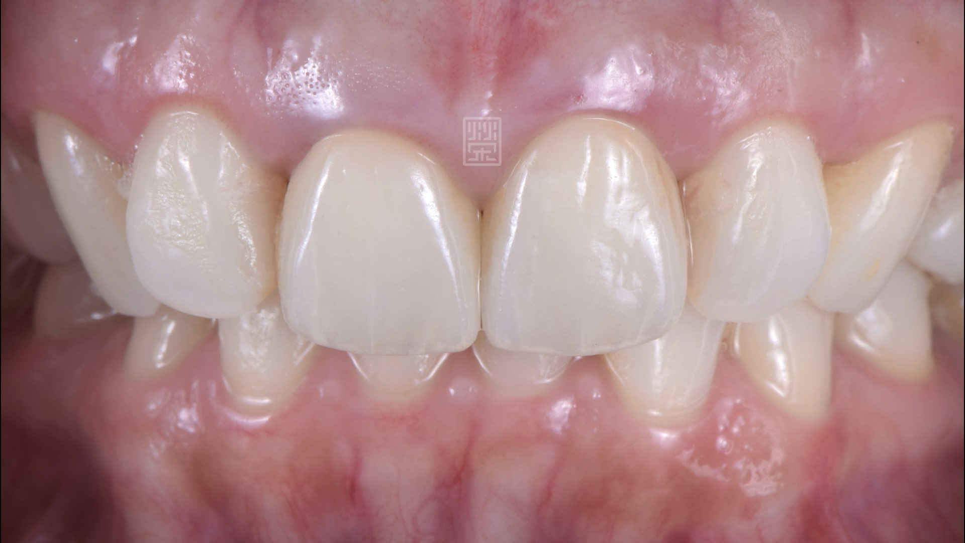
牙齦穩定後,發現門牙中間的牙齦萎縮

將黑三角縫再打開,以準備牙齦手術填補空間

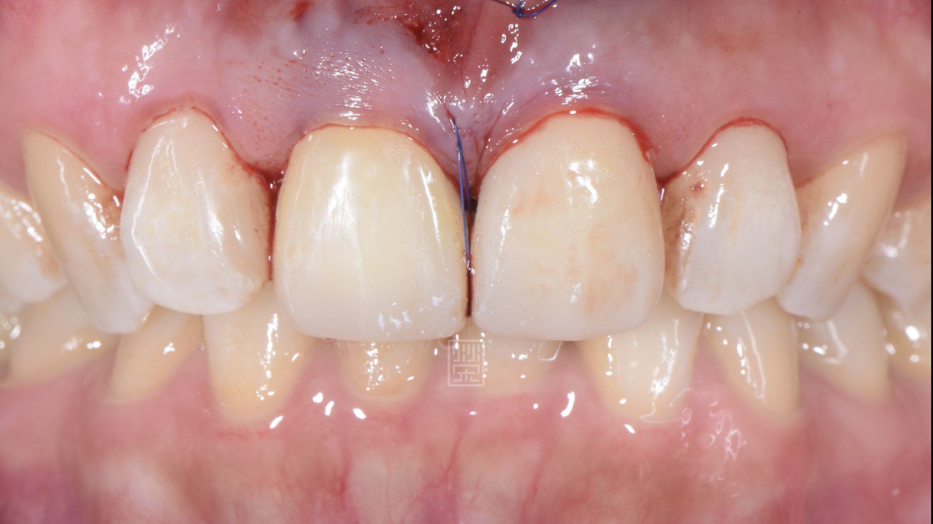
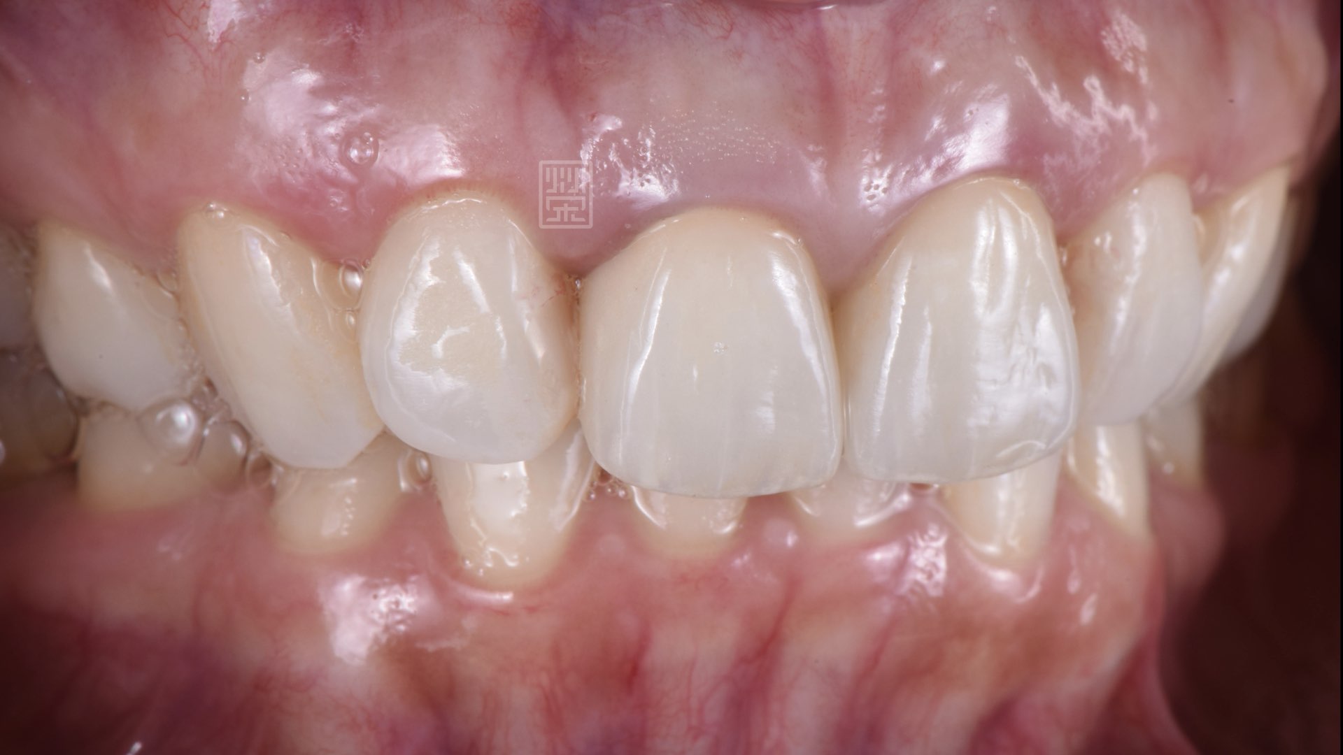
牙齦手術,將黑三角縫填補

手術後癒合穩定

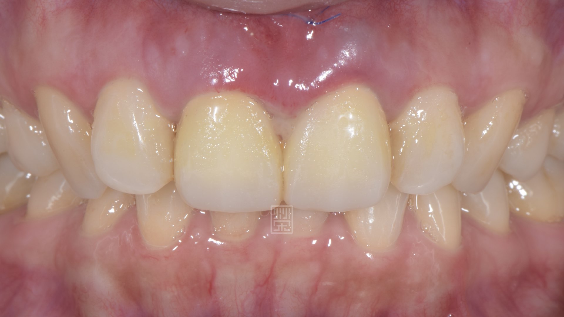
兩週後傷口修復

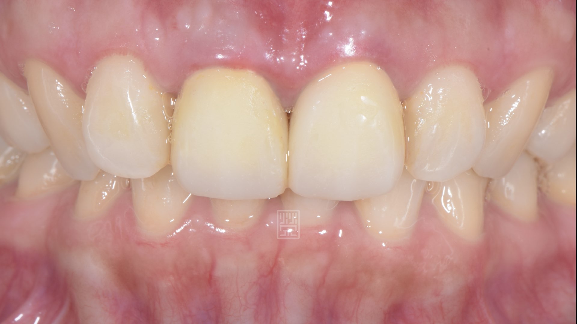
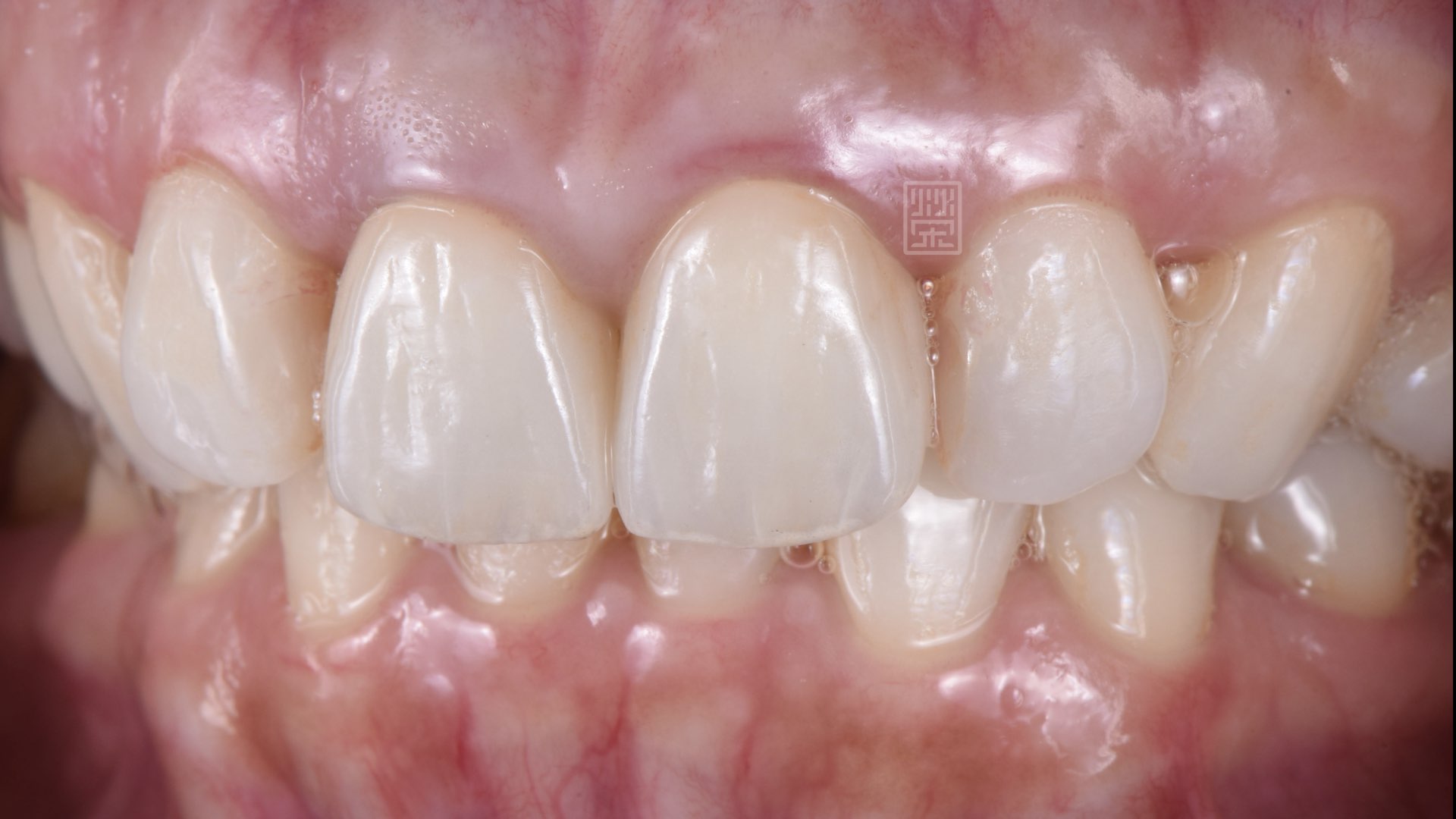
六週後牙齦穩定

六週後牙齦穩定

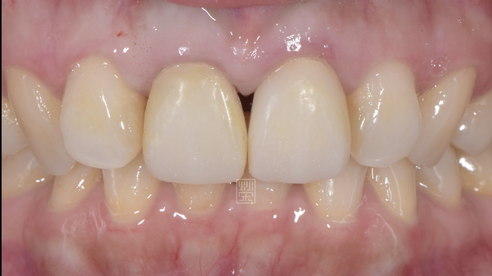
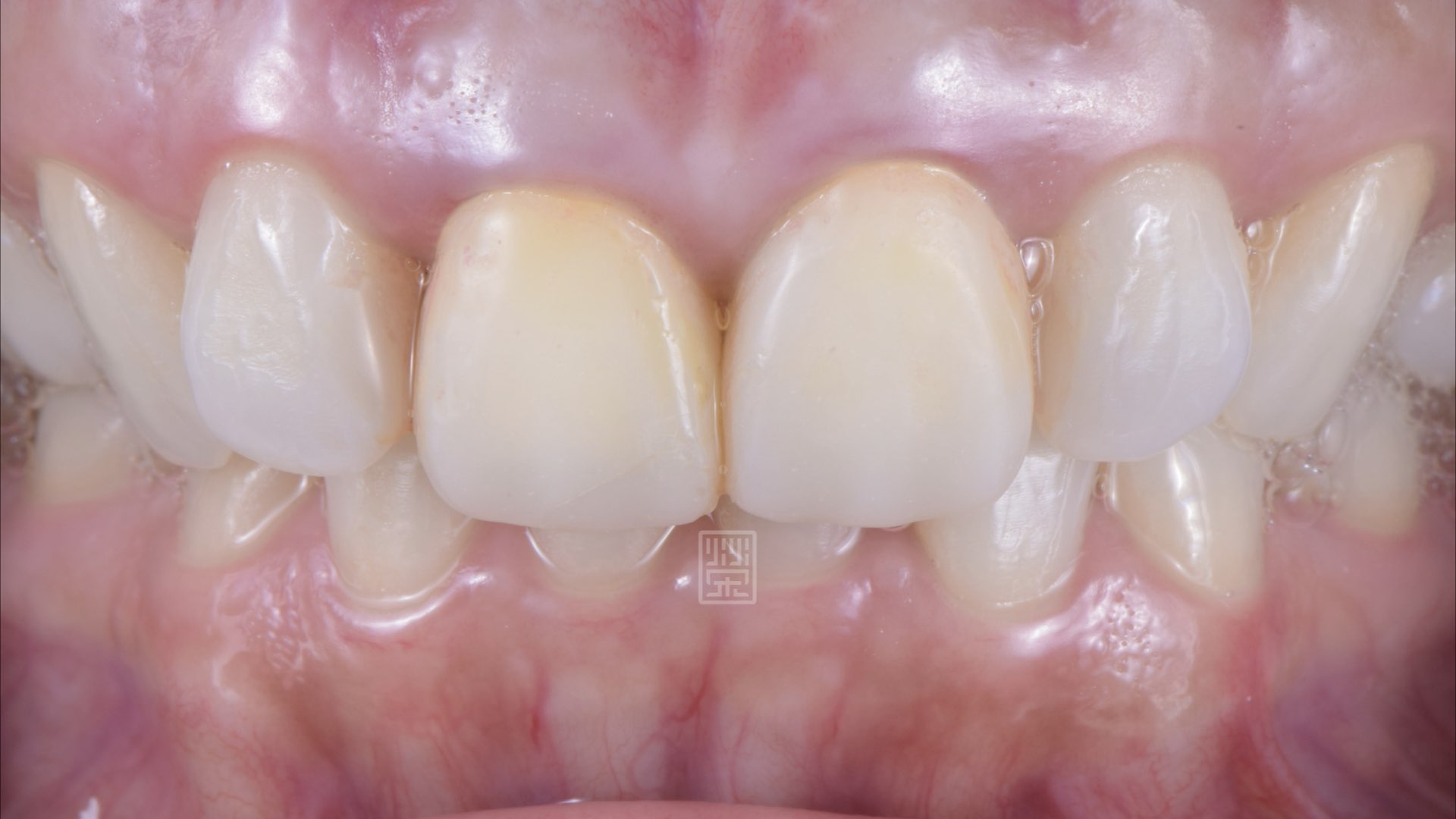
全瓷冠完成

全瓷冠完成

全瓷冠完成


