矯正後,覺得牙齒黃黃的————全瓷貼片

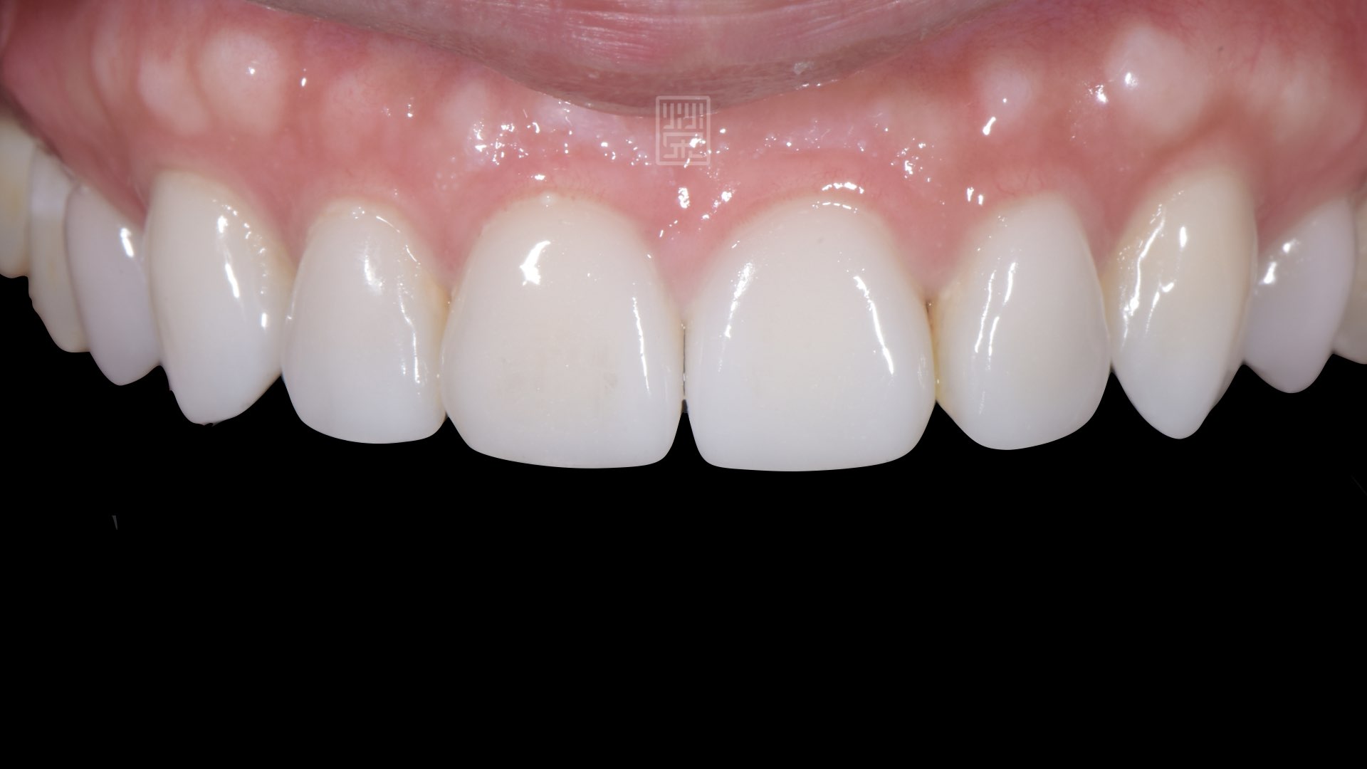
方小姐接受牙齒矯正後,雖然牙齒排整齊了,但總覺得牙齒笑起來不夠亮白,由於矯正後牙齒位置已經很好,排列、微笑曲線矯正醫師都已經安排完整,所以就針對理想的顏色做討論,榮醫師發現,方小姐想要潔白無瑕的笑容,所以榮醫師幫她選了美白後的瓷塊貼片,讓方小姐可以一直維持在潔白無瑕的笑容囉。
顏色偏黃,有局部樹脂填補變色
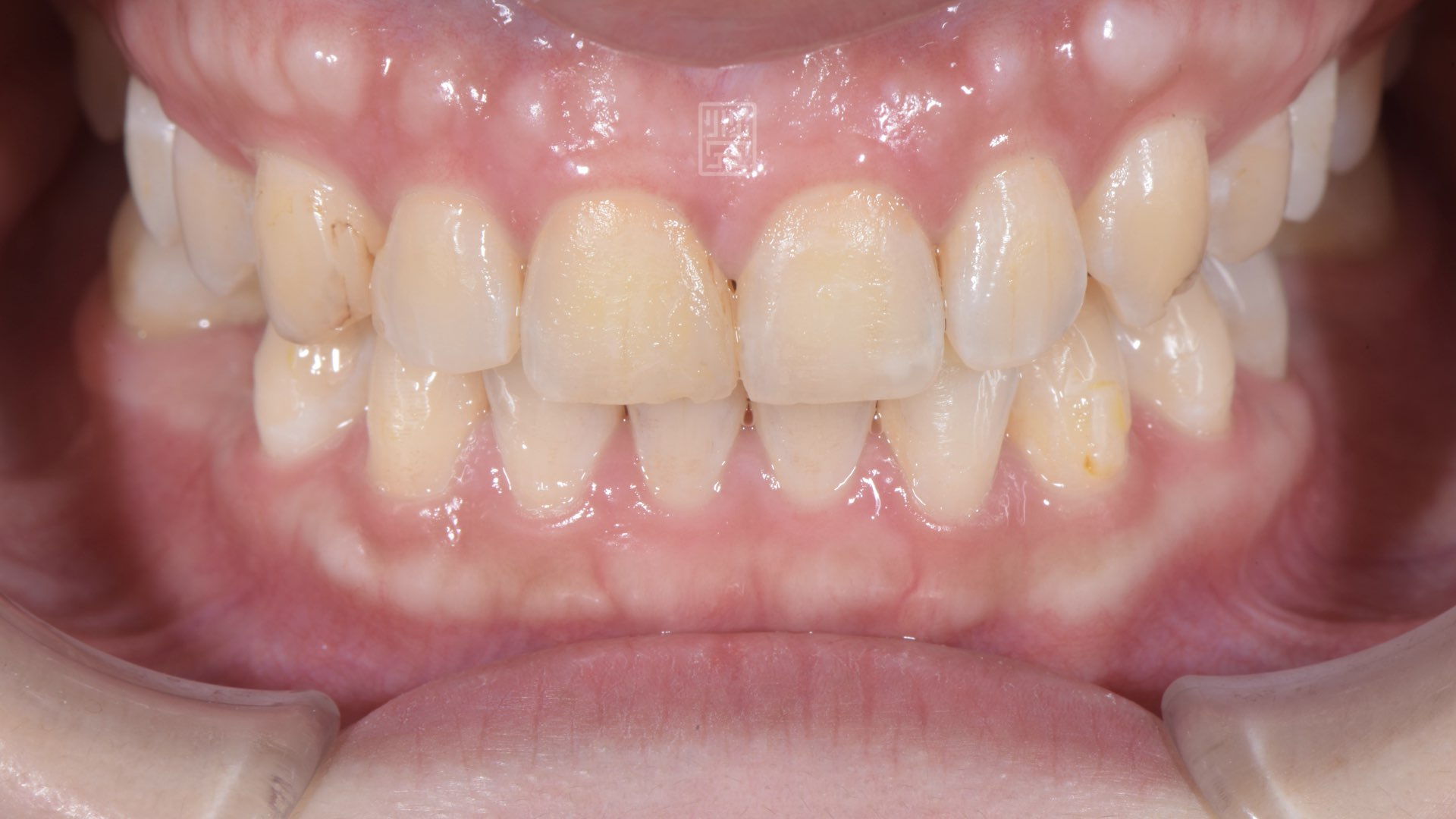
顏色偏黃,有局部樹脂填補變色



美白貼片
美白貼片

美白貼片
美白貼片