矯正後完美笑容的最後一哩路————全瓷冠治療

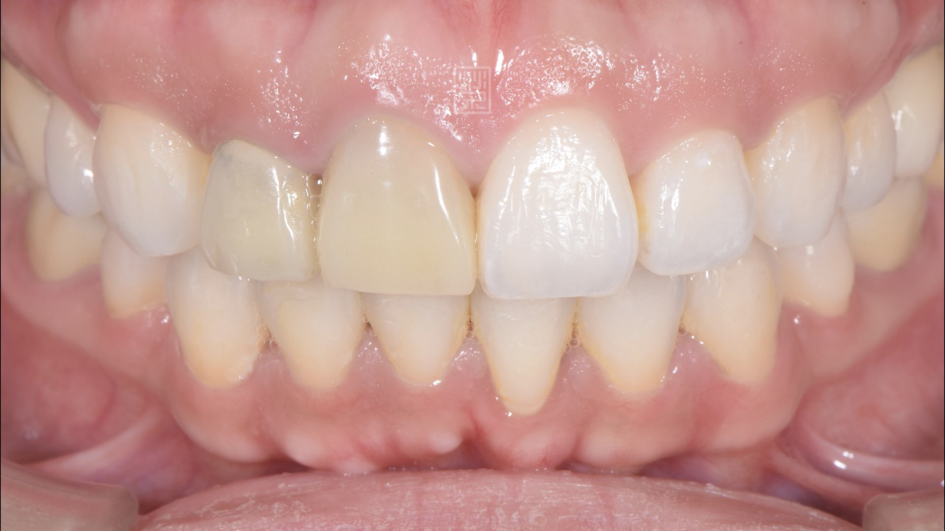
黃小姐是榮醫師配合矯正醫師的患者,三年前要矯正時,來榮醫師這邊處理許多問題,也將門牙舊假牙換成臨時假牙,以利矯正醫師調整位置。矯正結束後,黃小姐來榮醫師這邊,完成完美笑容的最後一哩路,以幾近擬真的全瓷冠,修復門牙全瓷冠,達成完美笑容的最後一哩路。
矯正後臨時假牙變色
矯正後臨時假牙變色

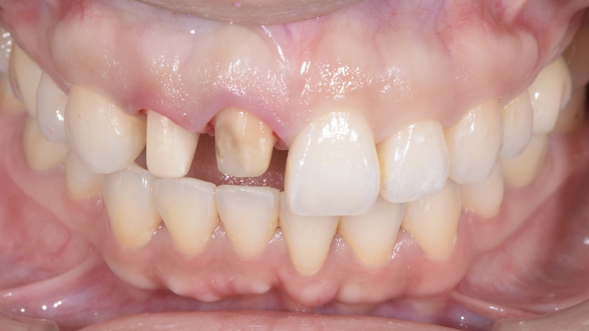
牙根變色
牙根變色



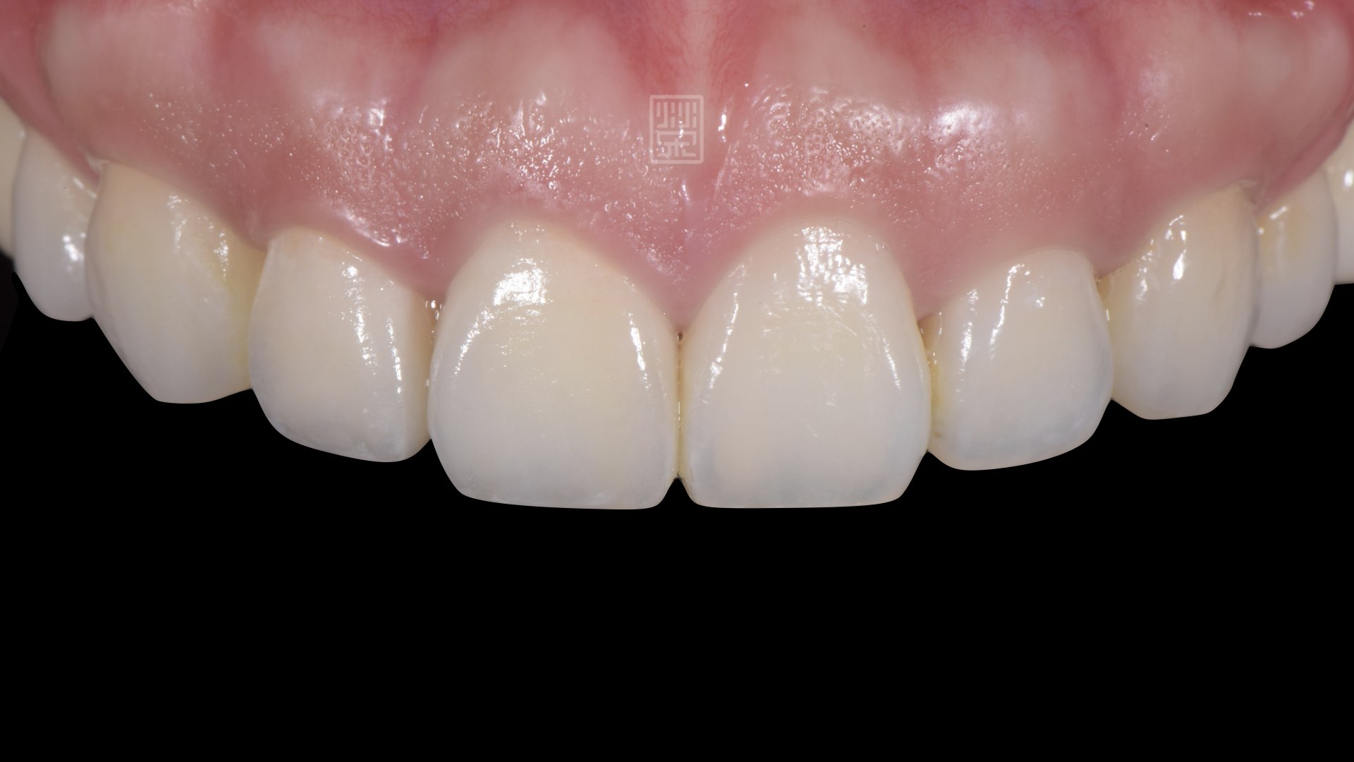
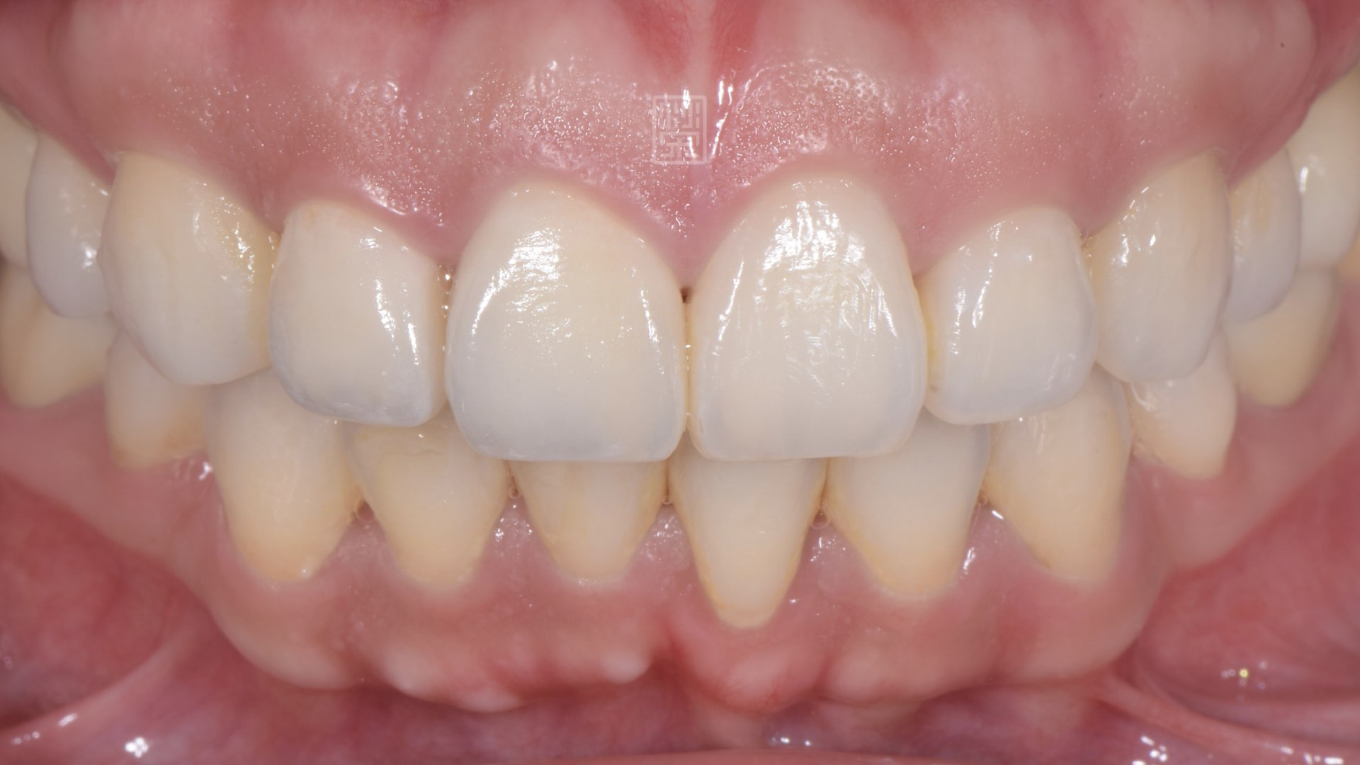
全瓷冠完成
全瓷冠完成

全瓷冠完成
全瓷冠完成