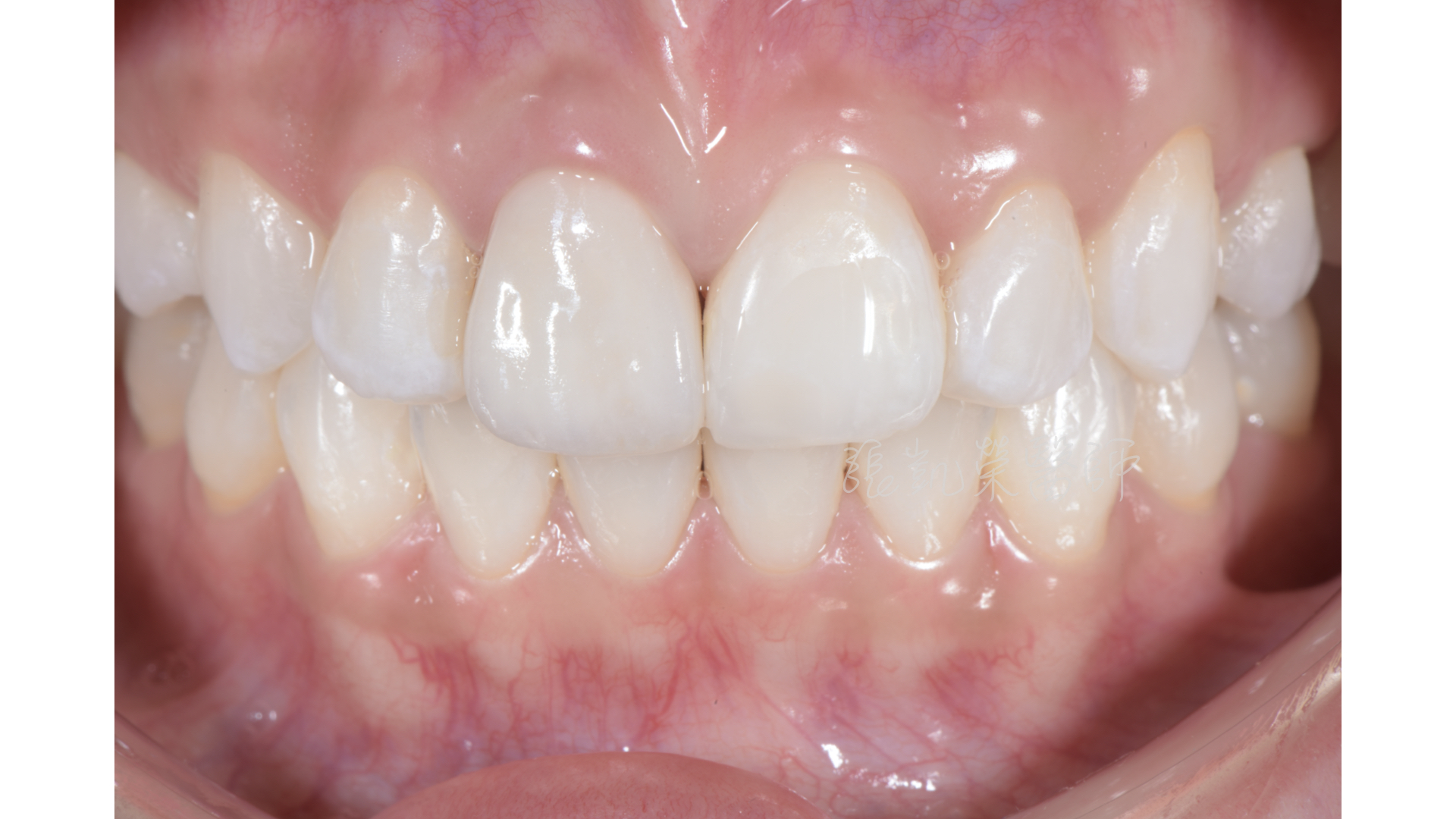
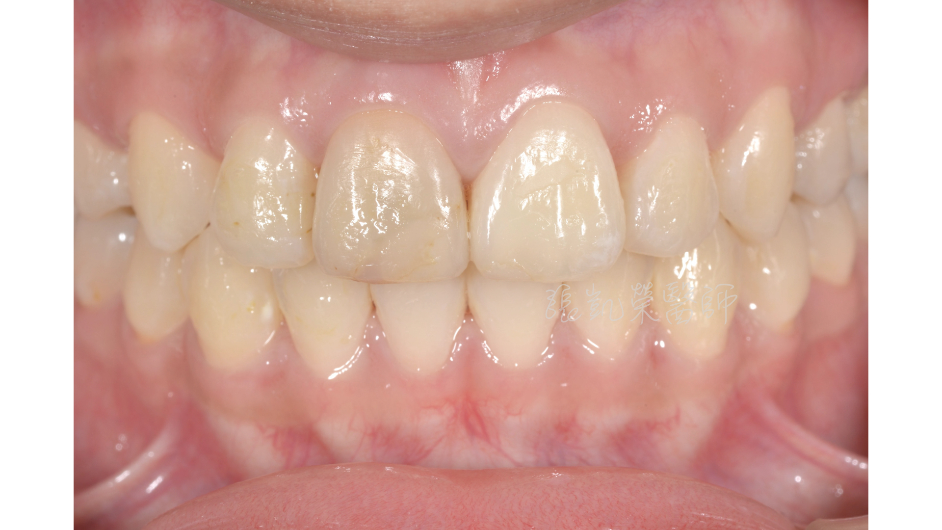
榮醫師,我右邊根管治療後的門牙,最近我覺得變黑了~~ 檢查後,榮醫師發現,黃小姐齒質狀況穩定,但因為根管治療後,需要全冠保護,加上黃小姐希望牙齒能夠白一點,榮醫師建議全口美白與單顆全瓷冠,就能夠達到白亮美觀與保護牙齒。 不過請記得,全瓷冠不會變黃,但是美白後的牙齒會變黃喔,所以一陣子都要美白牙齒,這樣牙齒跟全瓷冠才能夠持續維持亮白喔。