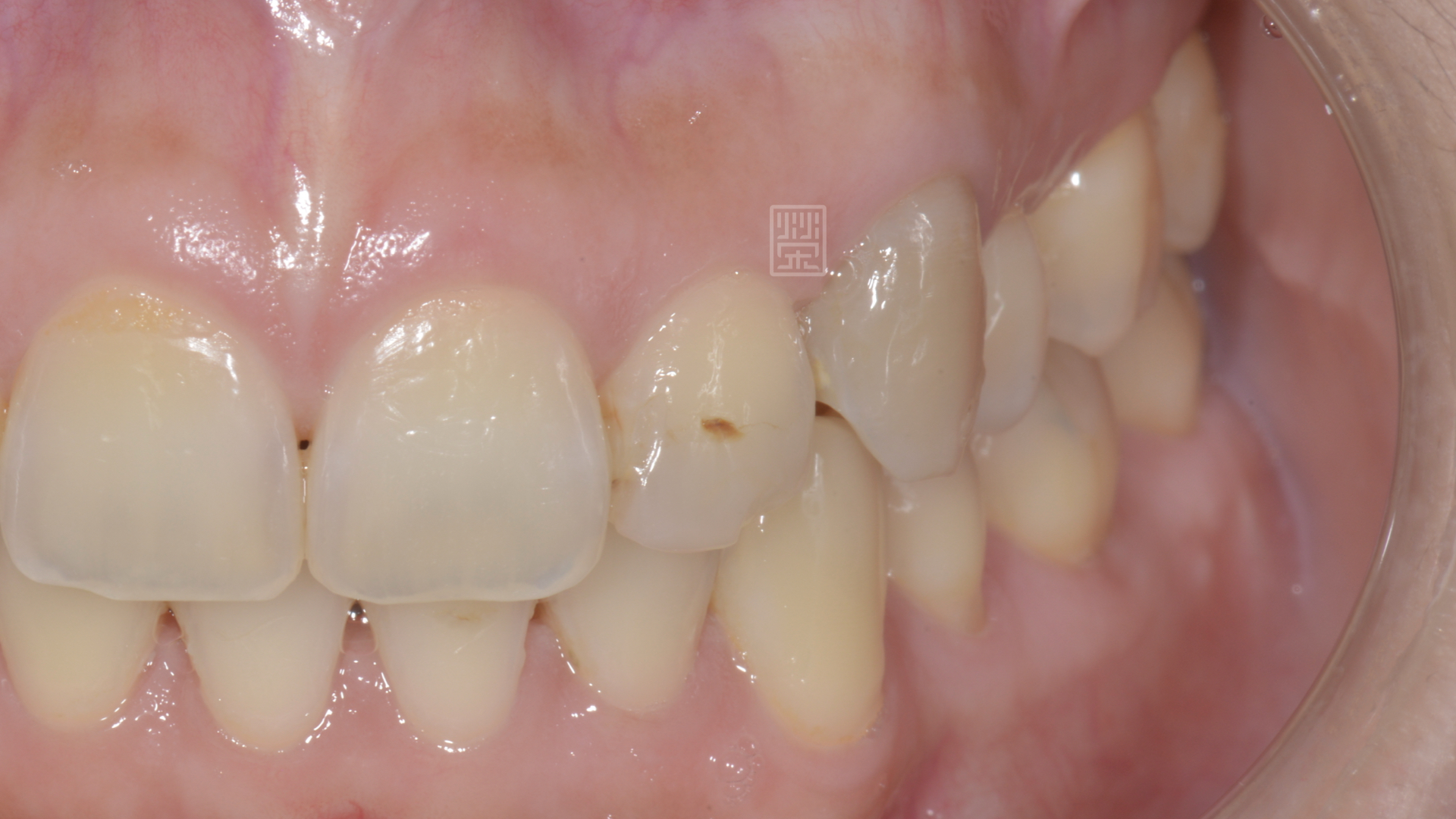
楊小姐市榮醫師多年的患者,有一天,突然來診說:我的牙齒變黑了!!
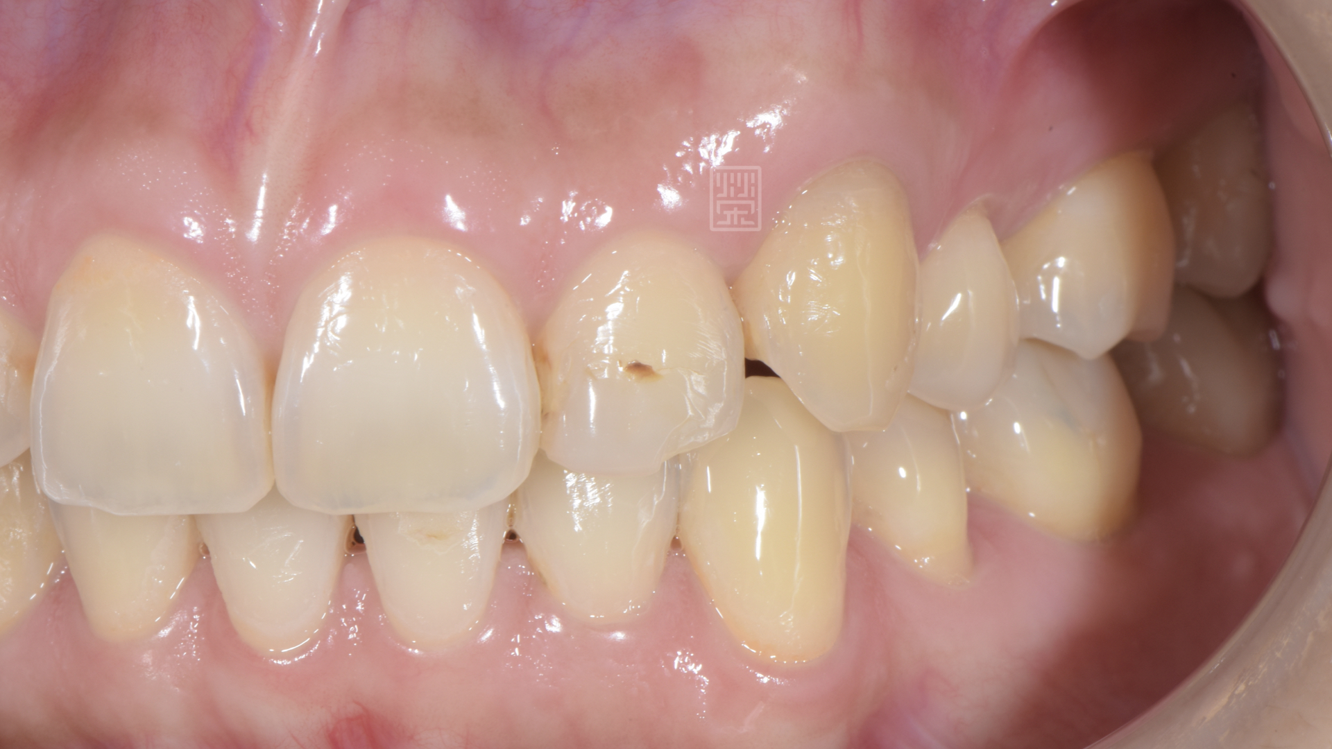
雖然牙齒顏色隨著牙釉質耗損,慢慢變暗,但是突然變暗這一定是有其他的原因,口內檢查,變色的犬齒並沒有蛀牙;但在X光片檢視下,發現牙齒根尖有黑色陰影,這表示牙齒神經已經病變壞死了,但這是為什麼呢?為什麼沒有蛀牙,牙齒神經也會受傷嗎?
有幾個可能:
1.被外力撞擊過,牙齒受傷壞死,但這可能是慢慢發生的,並不會在外力撞擊後馬上顯現。
2.矯正過後,牙根位置超過齒槽骨的位置,這也是牙髓受傷的可能原因。
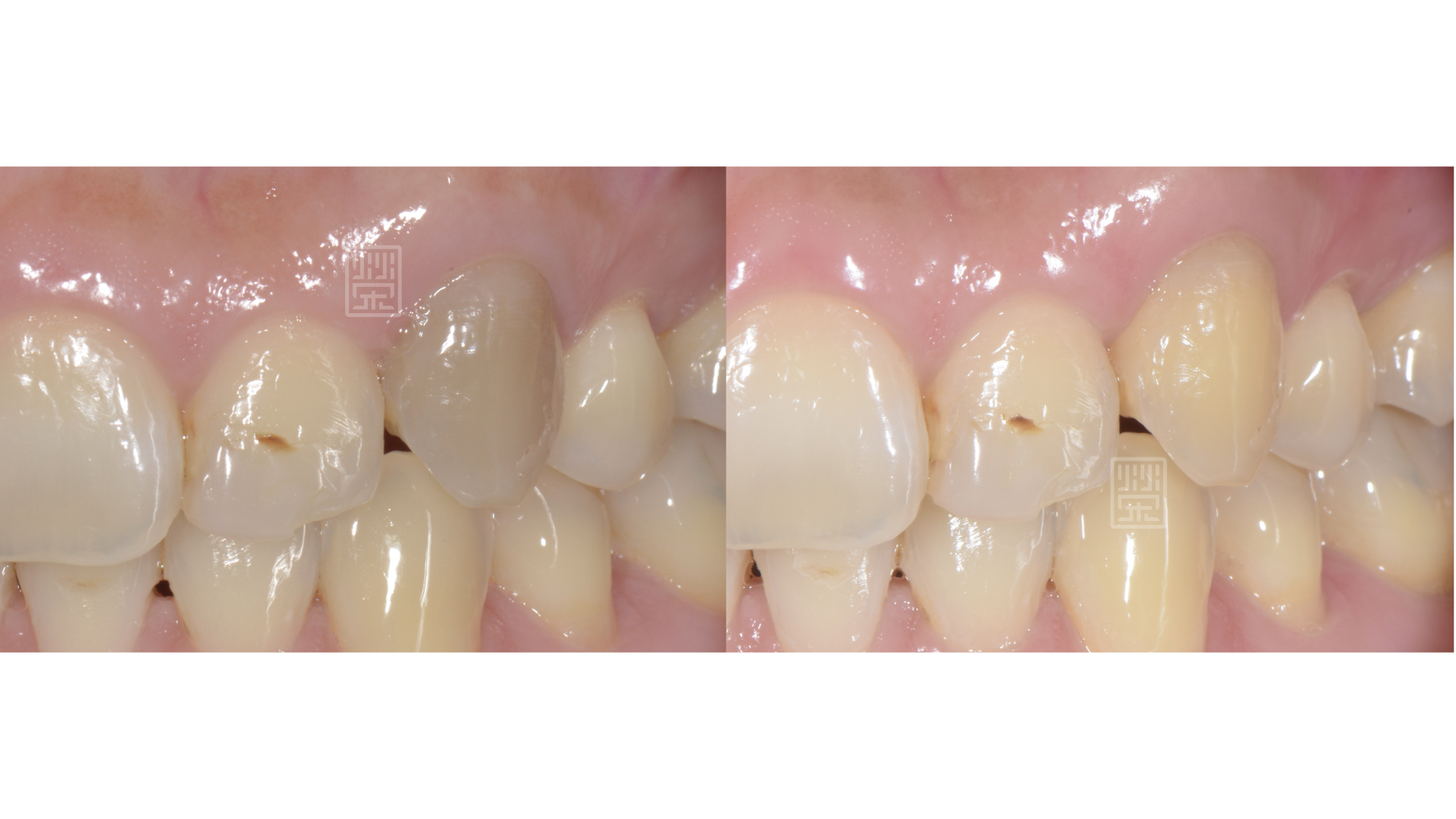
既然已經確定牙齒神經病變壞死,所以將牙髓組織清除,然後做齒內美白,恢復牙齒原本的顏色。

犬齒變灰黑色

X光片中發現根尖陰影

根管治療並且齒內美白

牙齒恢復顏色
