牙齒咬起來酸酸的---牙齒裂了

胡小姐常常會覺得咬東西時會有酸軟感,也補過牙,但是狀況一直沒有改善。
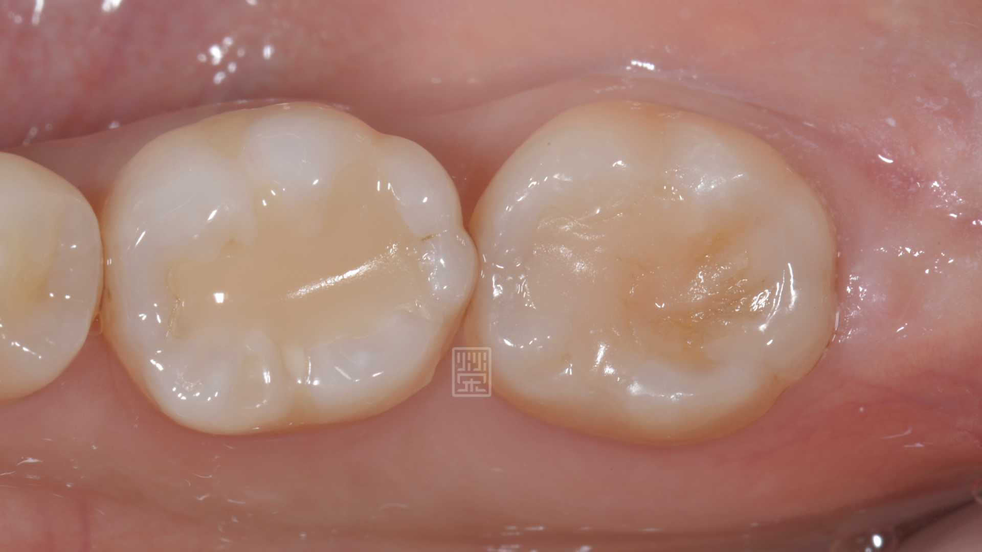
榮醫師檢查後發現,雖然X光下沒有明顯蛀牙,但是胡小姐有磨牙的習慣,最後一顆大臼齒已經被磨的『凹』下去,而且會酸的時候,常常是『咬下去,放開的時候』,這個就是牙齒有裂痕的跡象。
當把舊的蛀牙清乾淨後,就可以看到下方有裂痕穿過牙釉質到牙本質,咬下去時,會造成牙本質小管滲透壓改變,而有酸軟感。
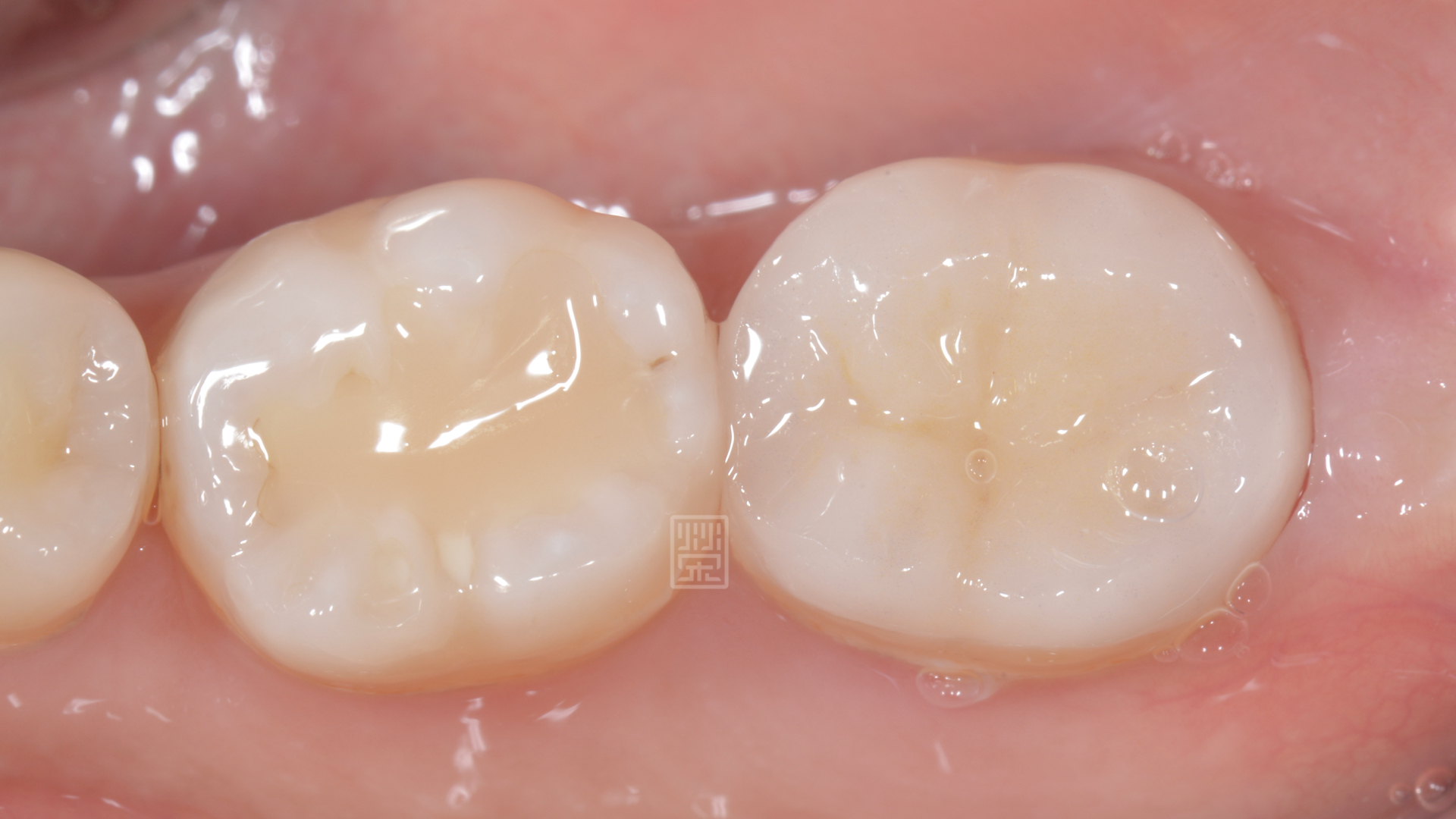
榮醫師利用嵌體治療,整體包覆牙齒,而且利用樹脂黏著劑固位,讓治療過程對牙齒的傷害降到最低。
牙齒最後有填補
牙齒最後有填補

大臼齒整個被磨的凹下去
大臼齒整個被磨的凹下去

染色劑發現牙齒有裂痕
染色劑發現牙齒有裂痕



網站照片.005
網站照片.005