我的牙齒好像乞丐裝,縫縫補補好多次---多次填補再蛀牙

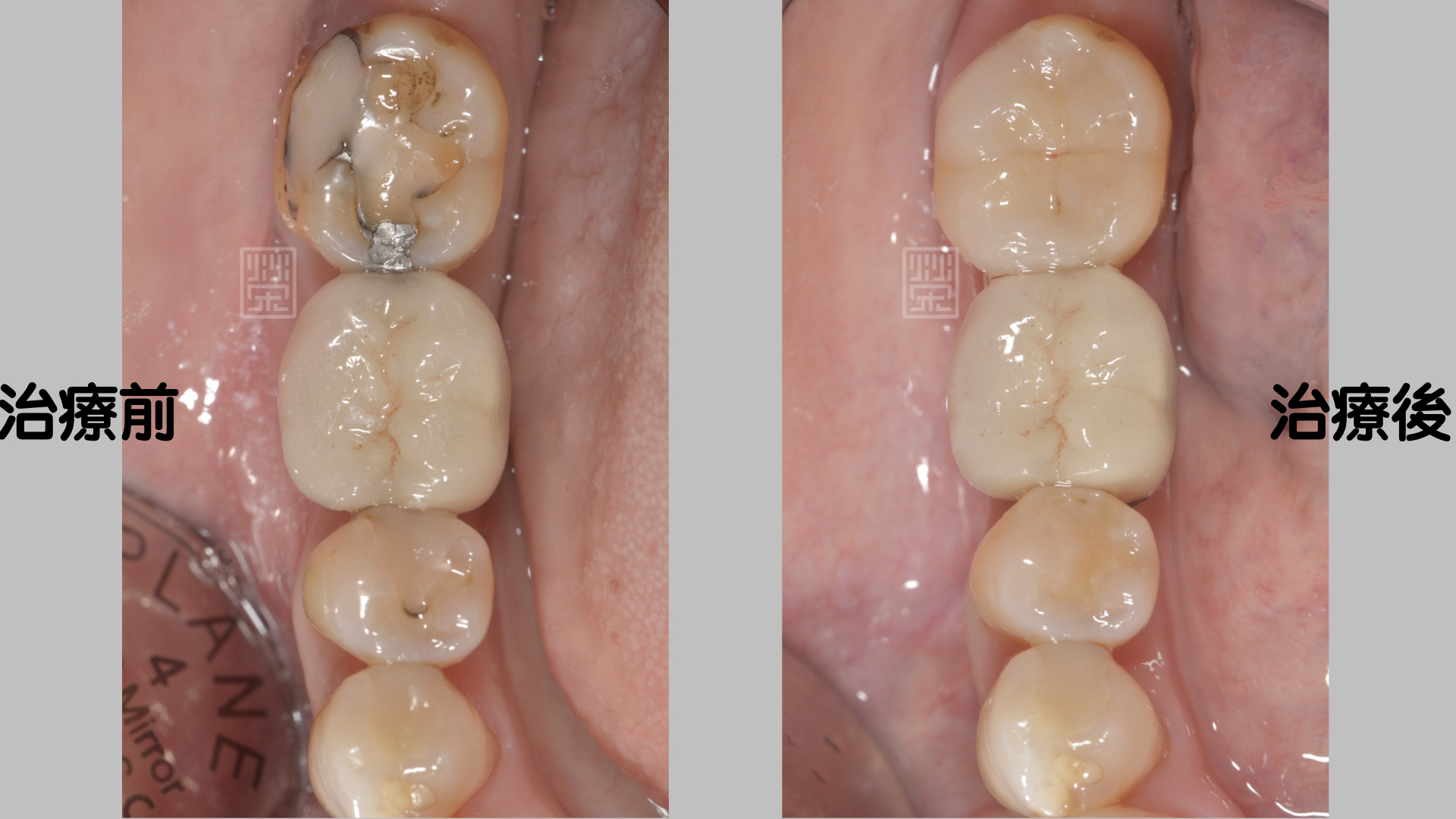
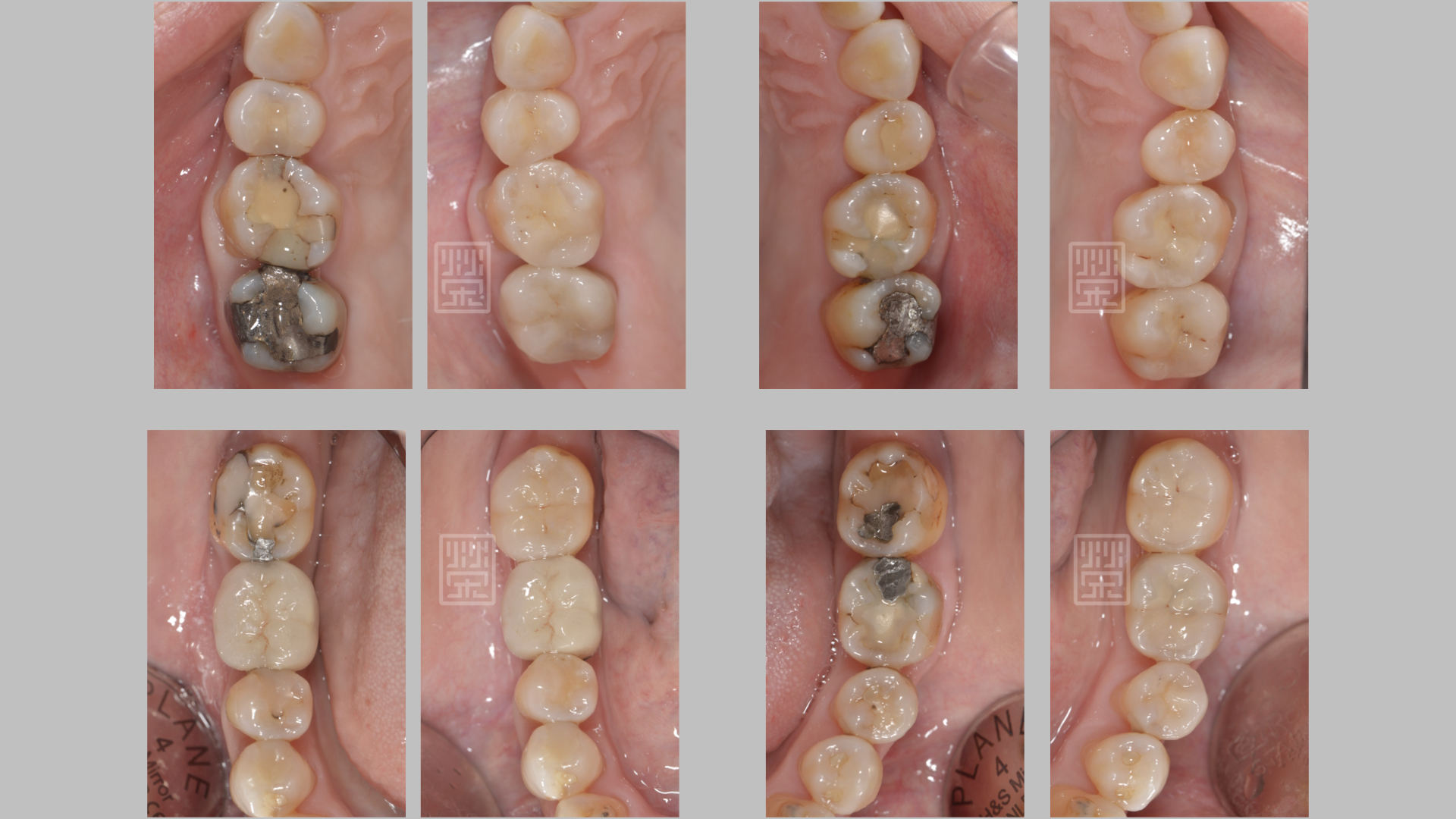
魏小姐都有定期檢查牙齒的習慣,但有時就覺得牙齒怪怪的,偶爾會酸酸的,而且照鏡子下,牙齒好像有點黑黑的,經榮醫師檢查,發現大部分的臼齒,都有多次填補紀錄,而且在填補的交界處,都有微滲漏,產生二次蛀牙。

健保自民過84年開辦以來,讓全國人民健康更上一層樓,對於口腔保健,維持健康與功能,是每個人認定的普世價值,但隨著醫療進步,對於蛀牙、牙齒窩洞的填補,從早期用銀粉治療,到後來用複合性樹脂填補,時常可以在患者口中看到歲月的痕跡,這兩種材料都有其適當性。

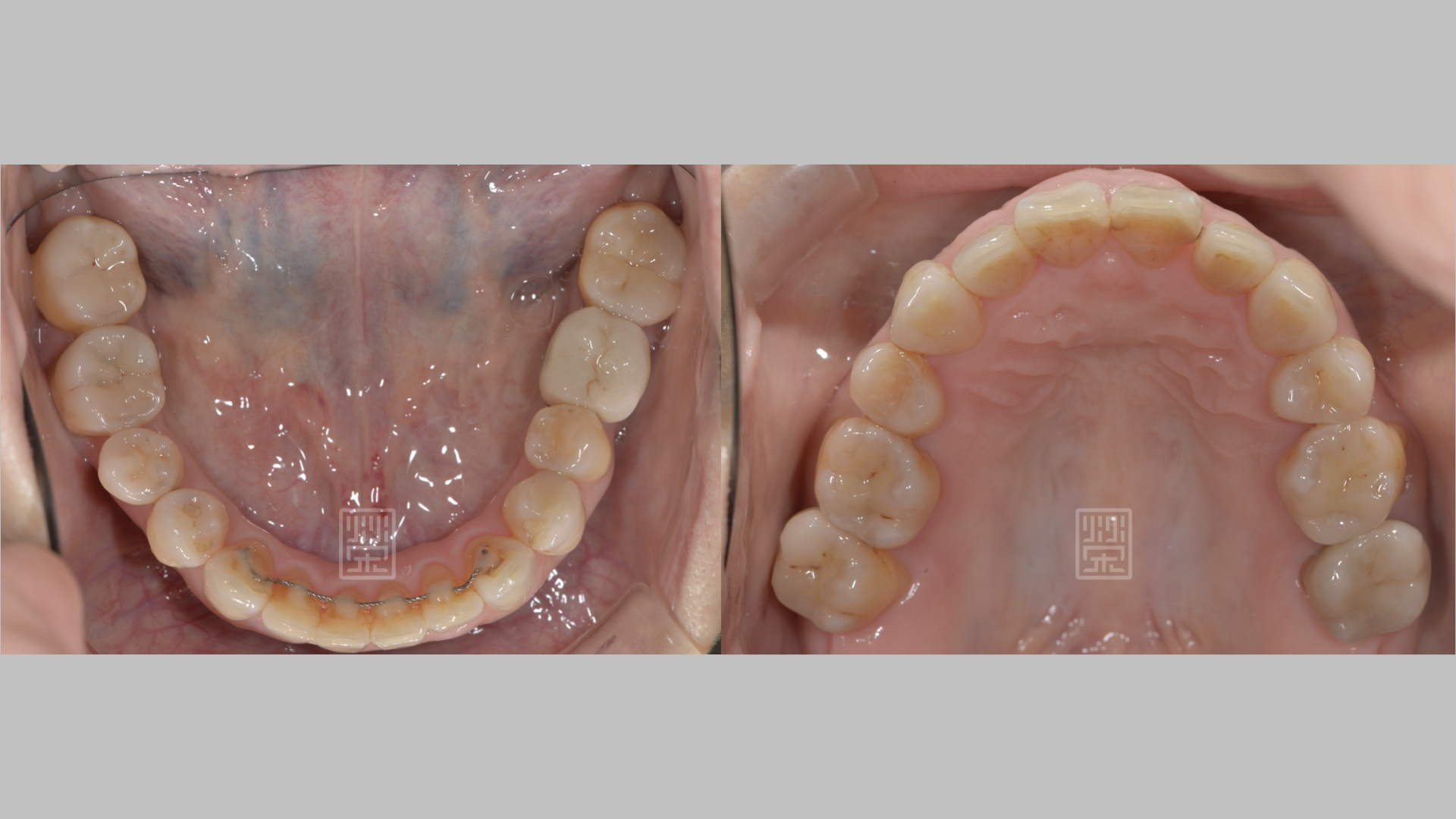
但治療時,需把受感染的區域清除乾淨,再將窩洞填補,過大的缺損,就需要用更強固的材料,所以榮醫師建議魏小姐後牙大範圍的缺損,用全瓷嵌體全口修復,以最小牙齒的傷害,恢復功能。
多次填補、多處蛀牙
多次填補、多處蛀牙