黃小姐由於第一大臼齒嚴重蛀牙,牙髓組織病變,經由牙髓治療後,恢復根尖穩定。
但是因為蛀牙造成的缺損,需要經由假牙修復,為了『減少對牙齒的損傷』,與黃小姐討論後,計劃利用全瓷嵌體,恢復牙齒的功能,在檢查的同時,也發現了第一小臼齒與第二小臼齒也是有二次蛀牙,ㄧ併在同次診療時間,清除病兆,利用全瓷嵌體,一併恢復功能與美觀。

根管治療後大範圍缺損

蛀牙清除後

蛀牙清除後

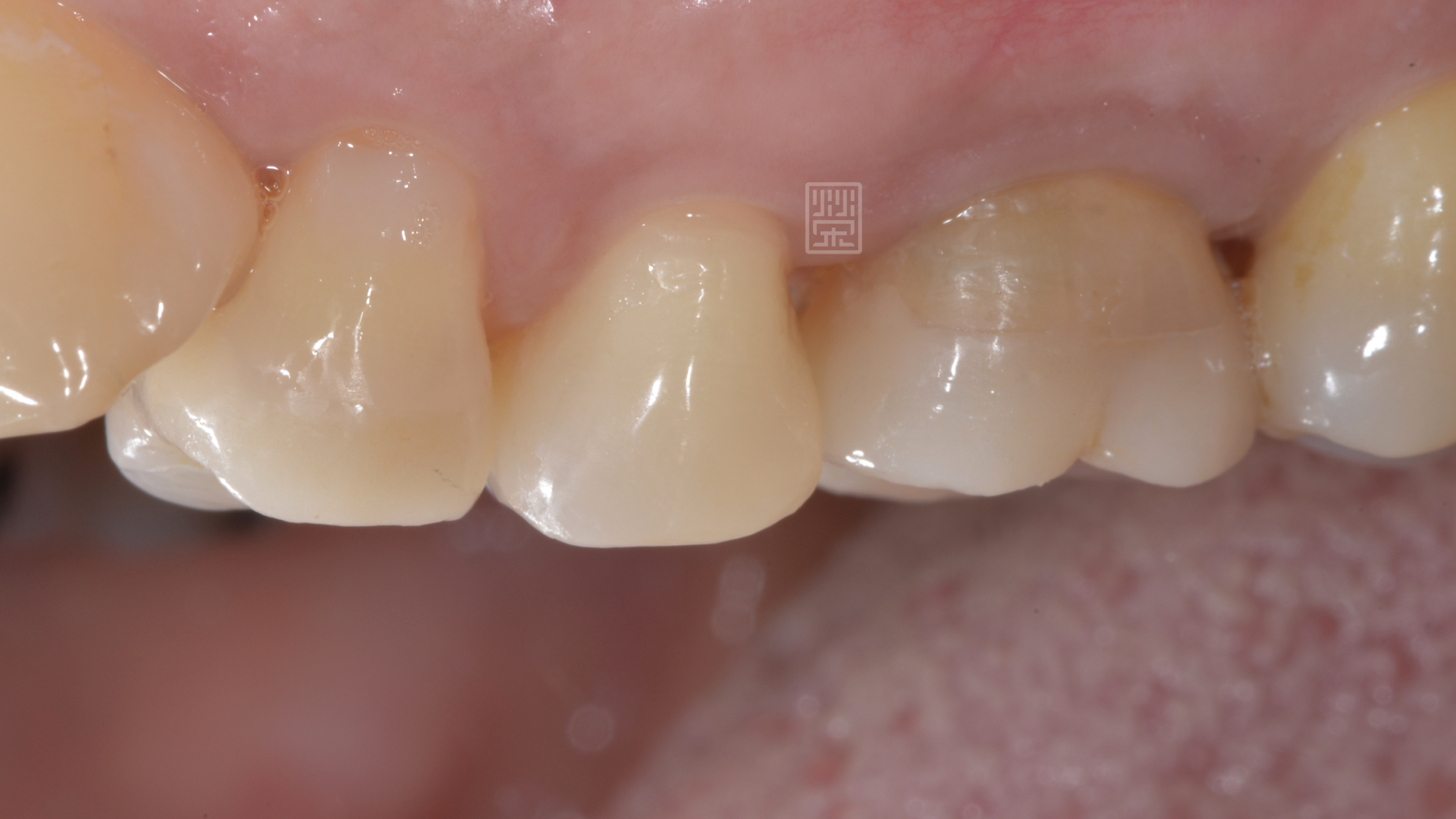
全瓷嵌體完成

全瓷嵌體完成
黃小姐由於第一大臼齒嚴重蛀牙,牙髓組織病變,經由牙髓治療後,恢復根尖穩定。
但是因為蛀牙造成的缺損,需要經由假牙修復,為了『減少對牙齒的損傷』,與黃小姐討論後,計劃利用全瓷嵌體,恢復牙齒的功能,在檢查的同時,也發現了第一小臼齒與第二小臼齒也是有二次蛀牙,ㄧ併在同次診療時間,清除病兆,利用全瓷嵌體,一併恢復功能與美觀。




