以前補銀粉的牙齒咬起來酸酸的-----牙齒裂了,全瓷嵌體修復

蔡先生常常會覺得左邊牙齒咬起來酸酸的,最近覺得之前填補物好像掉了一些塊,來榮醫師門診檢查,檢查後發現,除了填補的銀粉缺了一塊之外,在舌側地方,牙齒裂掉了。
首先榮醫師先將舊有的銀粉清除,清除後發現雖然咬合面沒看到新蛀牙,但是銀粉底部卻有蛀牙的部分,估計是裂痕長期下來,造成細菌滲漏(microleakage)而產生的蛀牙,所幸蛀牙與裂痕不會非常深,將較薄的牙齒修行後,利用全瓷嵌體覆蓋上去,恢復功能與美觀,讓蔡先生不再擔心不小心咬到這顆牙齒時,突然來的痠痛。
銀粉破裂
銀粉破裂

牙齒裂痕
牙齒裂痕

銀粉下牙齒蛀牙
銀粉下牙齒蛀牙

牙齒裂痕
牙齒裂痕

清除蛀牙與裂痕
清除蛀牙與裂痕

清除蛀牙與裂痕
清除蛀牙與裂痕

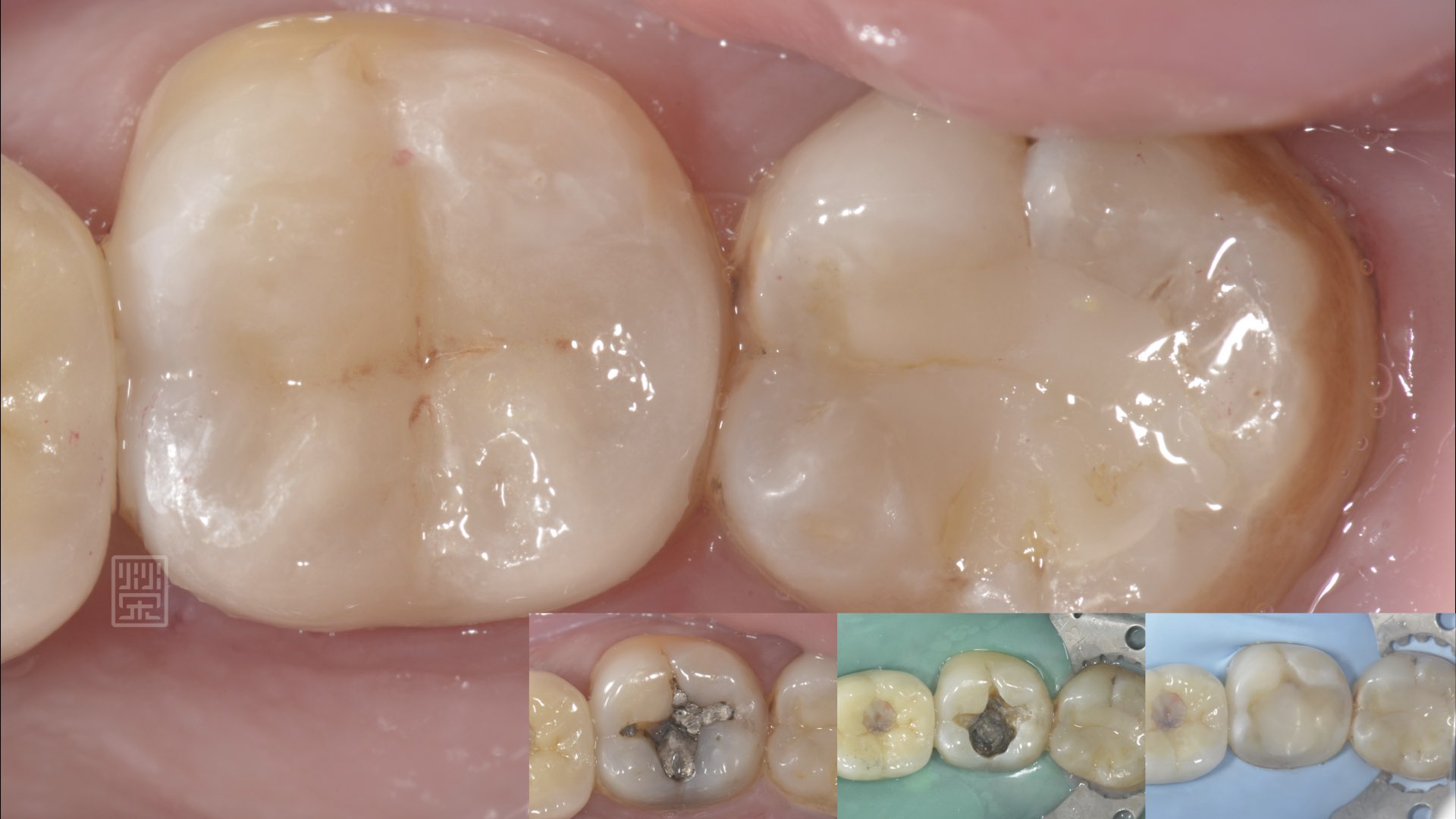
全瓷嵌體修復
全瓷嵌體修復

全瓷嵌體修復
全瓷嵌體修復

全瓷嵌體修復
全瓷嵌體修復