在上顎中,上顎犬齒與上顎第二大臼齒,就是最晚萌發的兩顆牙;犬齒被擠到旁邊,就變成虎牙,因為比較容易發現,可以積極用矯正治療,而第二大臼齒因為在後面,只要不影響功能,常常被忽略,當發現有問題的時候,往往都是『蛀牙或疼痛』。
因為位置後面,加上牙齒偏外側生長,刷牙的時候,常常會刷不乾淨,而且嘴巴張大時,除了張口受限、易痠痛,還有就是下顎骨的解剖構造coronoid process在張開嘴巴時,會縮限頰側空間,造成器械不易到達,當然也就造成治療上的困難。
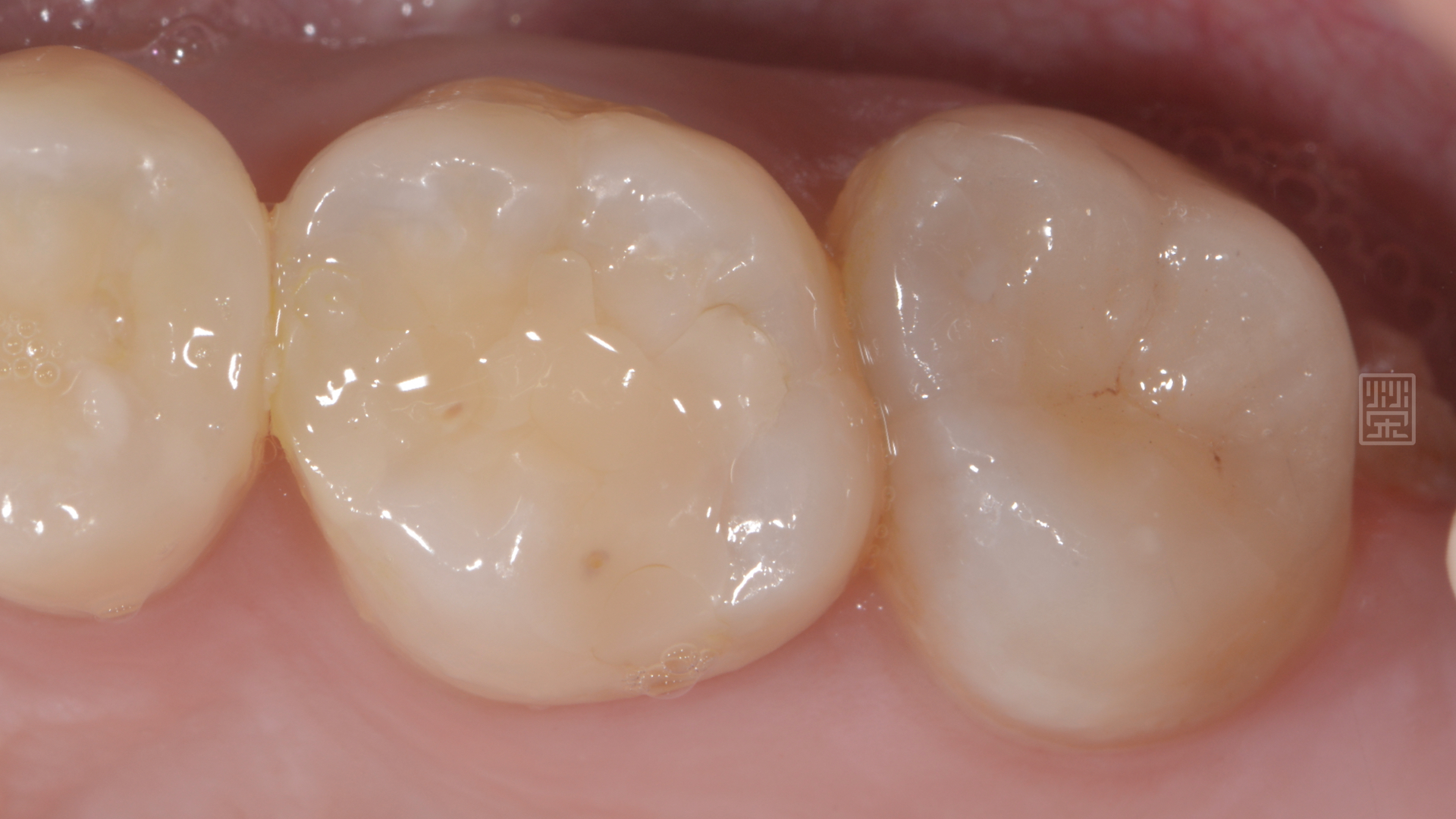
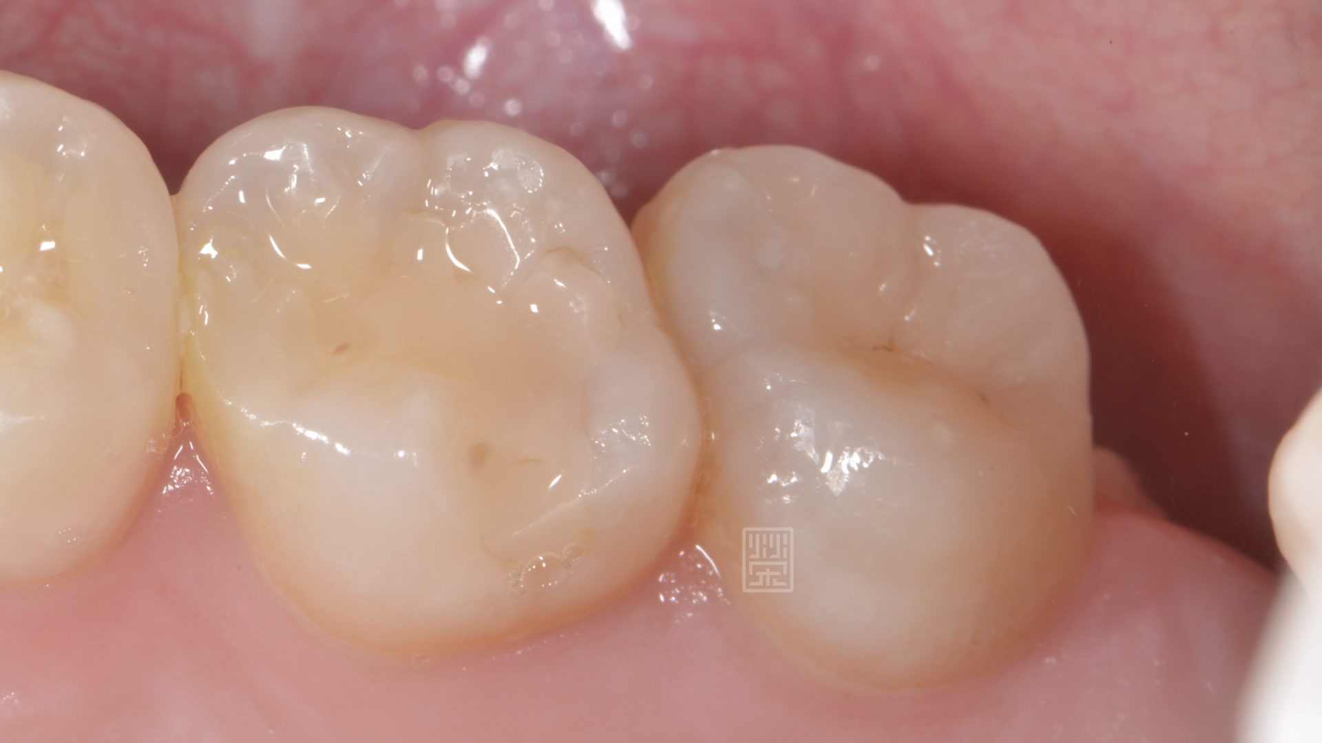
所以榮醫師遇到這種大範圍蛀牙,除了考量器械操作外,更需要規劃長期維持清潔的重要性,而陶瓷表面的光滑度比複合性樹脂好,所以遇到這樣的狀況,會以全瓷嵌體修復,除了維持功能,也是讓清潔比較容易達成。


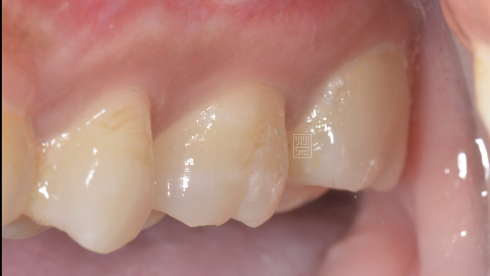
牙齒外翻,清潔不易

全瓷嵌體修復

全瓷嵌體修復

全瓷嵌體修復