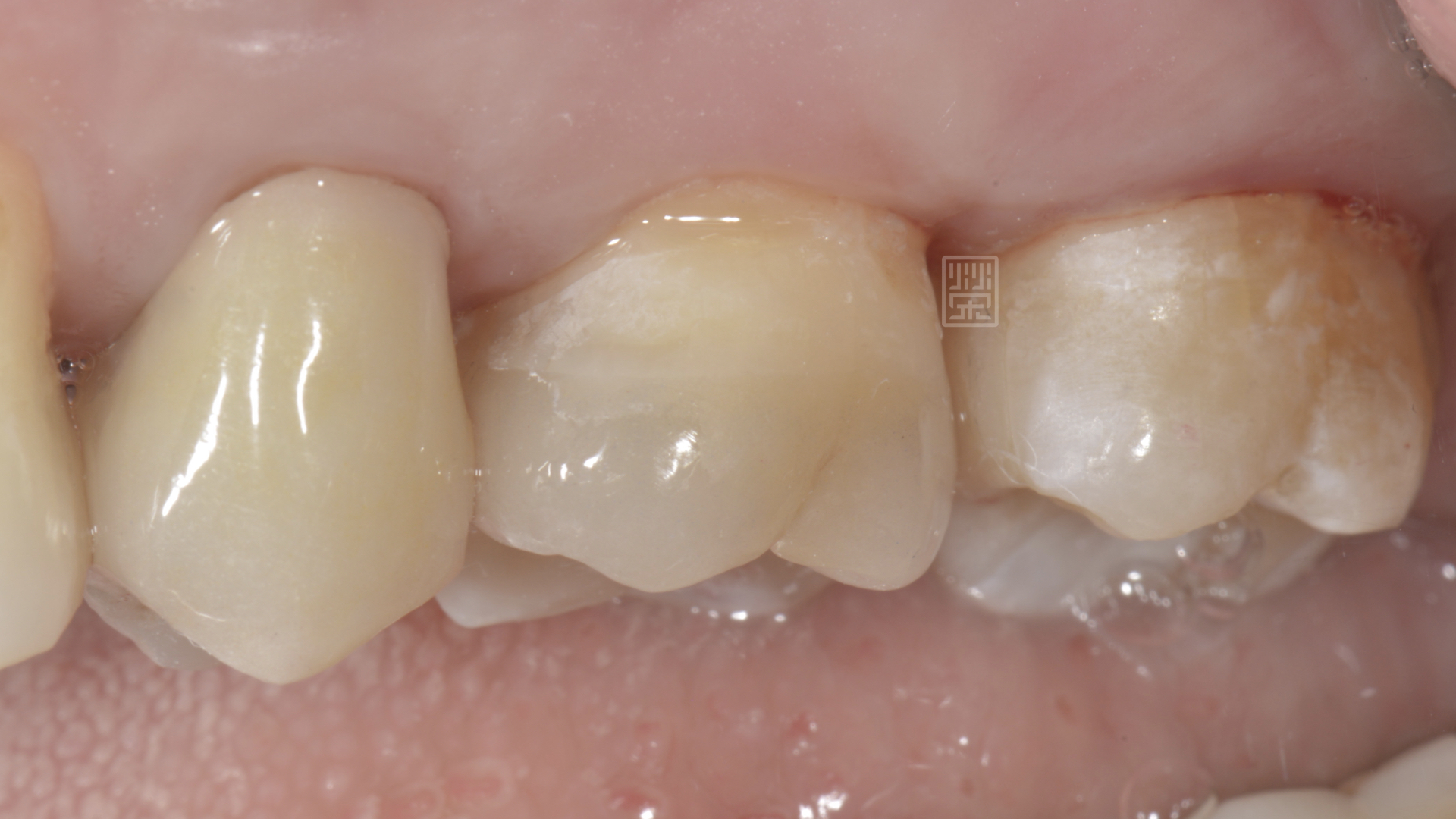
吳小姐多年前牙齒銀粉填補蛀牙,最近覺得咬起來酸酸的,特別是咬到某個位置的時候,當把舊的銀粉與樹脂移除後,才發現牙齒有裂痕!!!
牙齒裂痕可能來自於過大的外部力量或是內部的應力累積,外部力量可能是咬合力、意外撞擊等,內部力量可能來自於填補材料。
銀粉是過去常使用的材料,但是在硬化過程會有1~4%的膨脹率,因次長期下來可能會造成牙齒脆弱處產生裂痕。
而當裂痕產生後,雖然沒有蛀牙等問題,但是在吃東西時,力量會激化裂痕,容易產生酸軟、咬不下去、咬起來沒力的感覺,嚴重時對冷熱會特別敏感。
將有裂痕的牙齒部分覆蓋起來,讓咬合力均勻受力在牙齒上,減少對裂痕的刺激,可以恢復正常的功能了。

銀粉填補的第一大臼齒咬起來酸酸的

蛀牙清除後牙齒結構受損嚴重

牙齒窩洞交接處有裂痕

將有裂痕的牙齒包覆起來

將有裂痕的牙齒包覆起來

將有裂痕的牙齒包覆起來

全瓷嵌體完成

全瓷嵌體完成