陳小姐一直是診所固定檢查患者,除了定期檢查時有些牙結石之外,口腔狀況都很穩定,只是牙齒磨耗比較嚴重一些。
一天電話來訊,說明多年前已經忘了什麼時候填補的材料掉了(果然是很多年前^^“),要約時間回來填補。
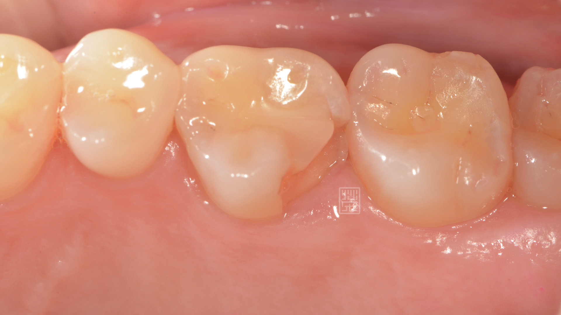
門診時榮醫師一看,發現並不是填補的材料脫落,而是牙齒斷裂了,而且裂痕延伸到牙齦下深不見底。
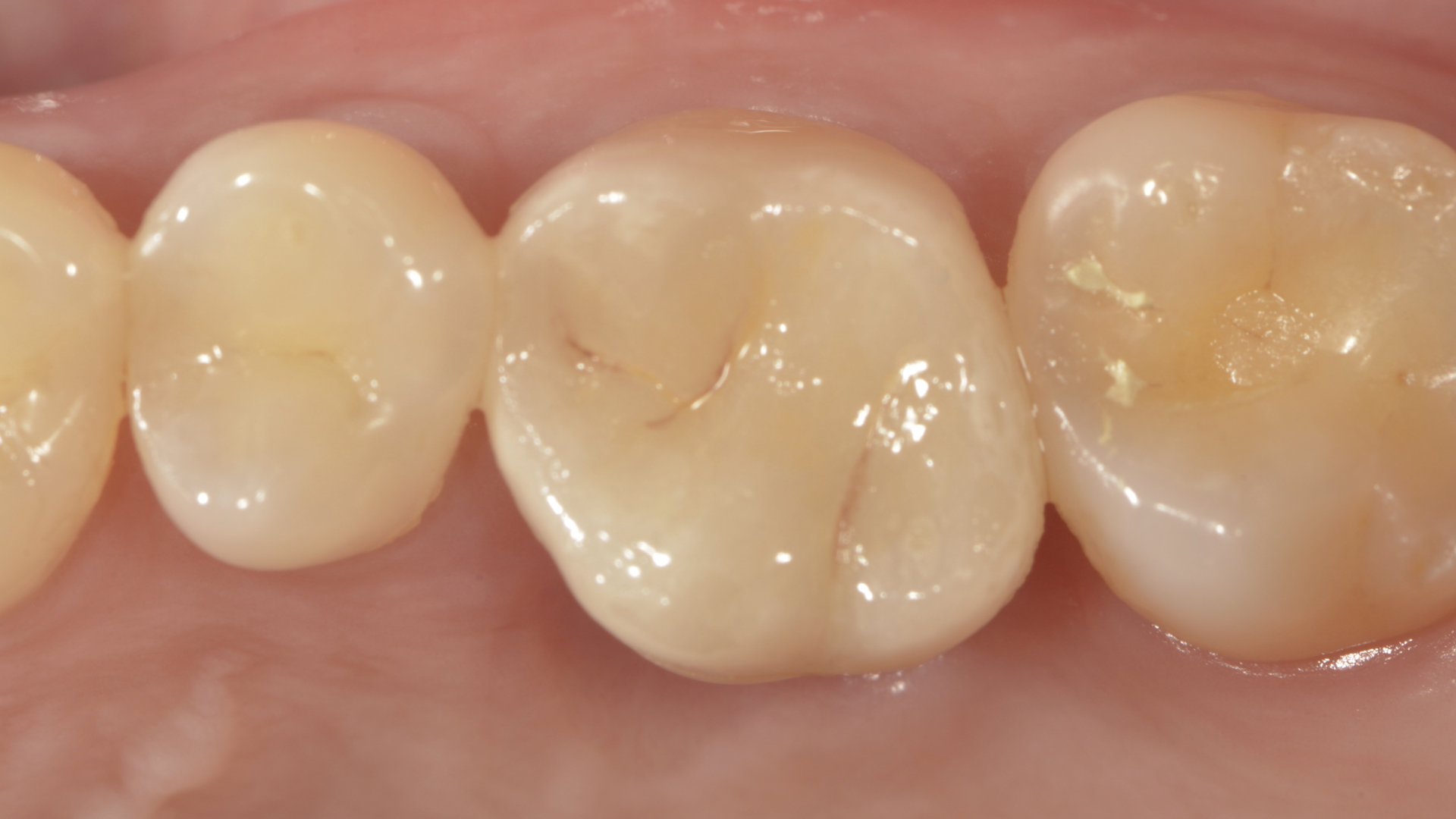
原本榮醫師很擔心牙髓神經會受損,但是在牙冠增長術後,牙齒沒有明顯敏感,牙髓神經檢測正常,利用全瓷嵌體全祼覆蓋,恢復牙齒的功能與美觀。

牙齒邊緣破裂

牙齒邊緣破裂

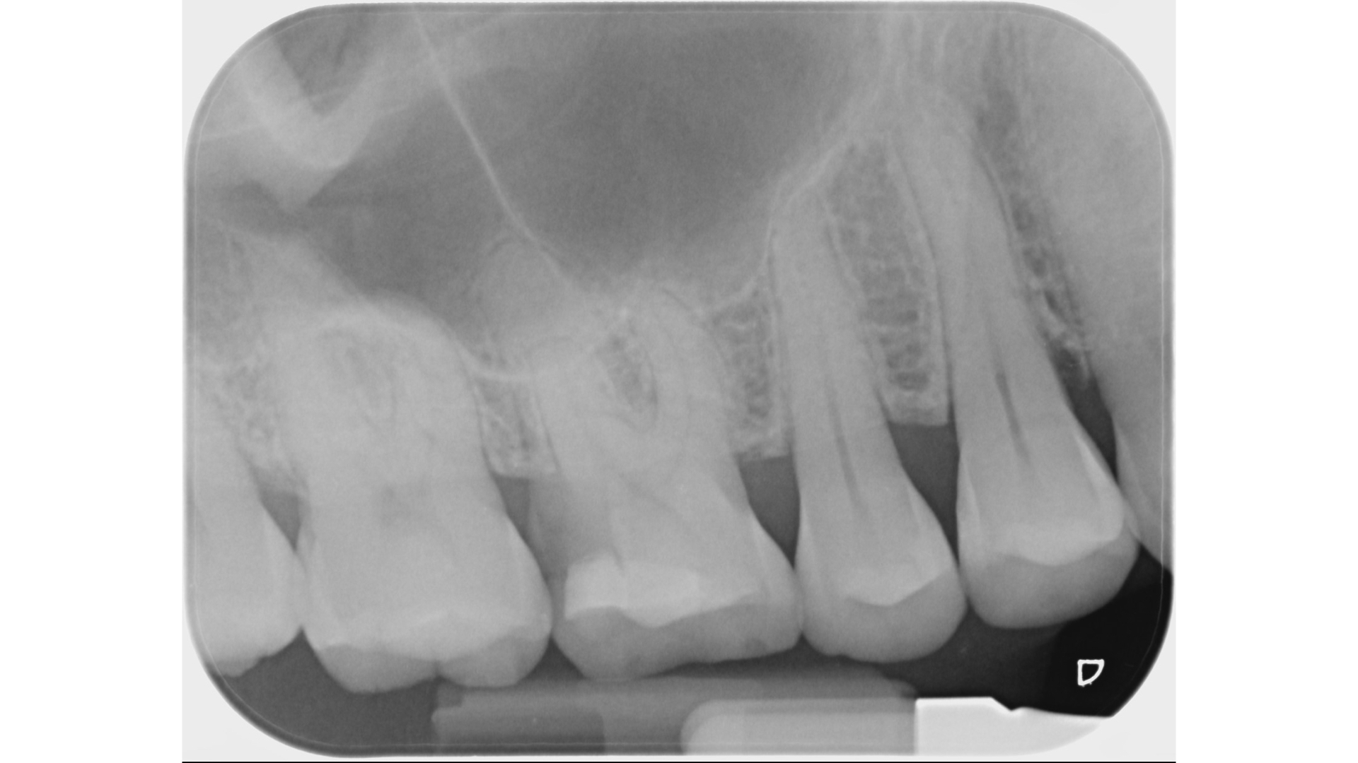
X光發現裂痕延伸到接近骨頭

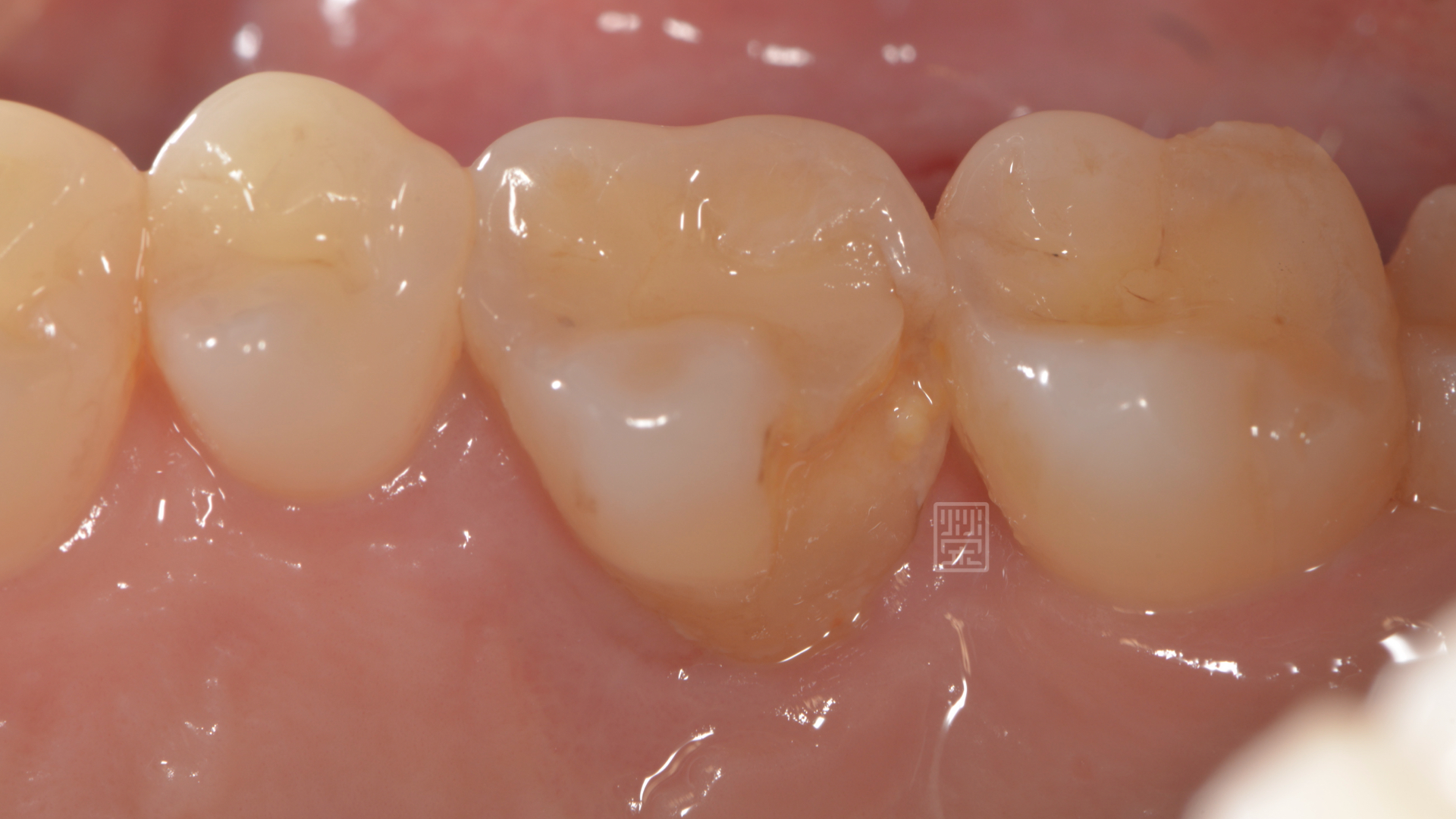
牙冠增長術後將牙齒邊緣獨立出來

牙齒邊緣修行,給全瓷嵌體足夠空間

全瓷嵌體完成

全瓷嵌體完成

全瓷嵌體完成