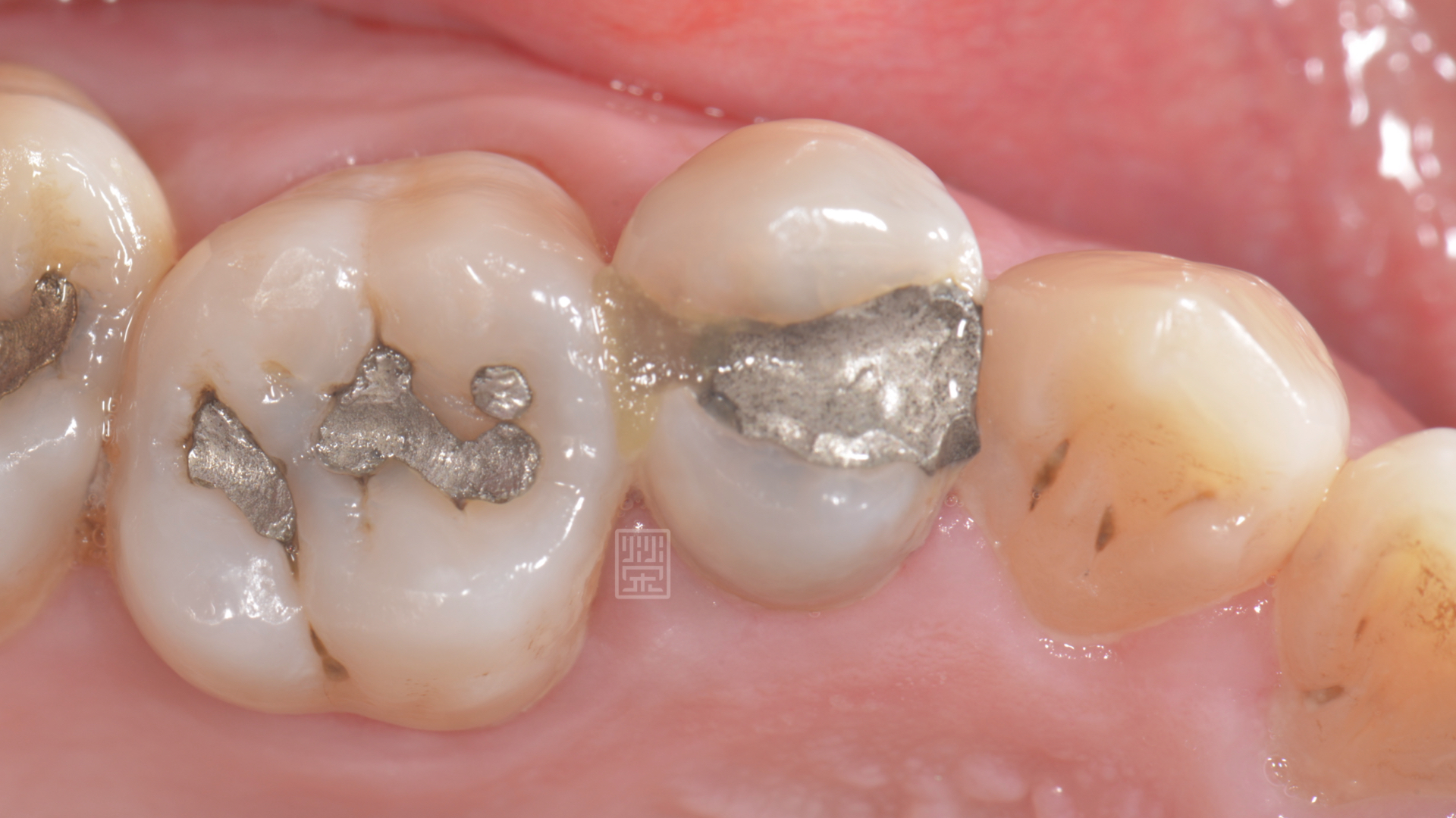
黃先生覺得牙齒常常會卡東西,以為是以前補的地方掉了,榮醫師檢查後發現,不是填補物掉了,而是有新的蛀牙。
將舊填補物與蛀牙清除後,剩下兩片薄薄的齒質,看上去就像是卡通蘋果被咬一圈,首先先考量牙髓神經的健康性,X光與臨床檢查上,牙髓仍是健康的狀態,但是剩餘健康的齒質這麼少,要怎麼恢復牙齒的強度呢?
利用黏著式嵌體對牙齒只需做最少的修磨,但是在頰側,為了有好的外觀,所以包覆到牙齦邊緣,空間厚度以最小厚度0.3毫米為製作空間,減少對牙齒的傷害,完成全瓷嵌體後,恢復理想的功能與美觀,也利用全瓷嵌體的特性,保存了牙齒,減少牙齒需要拔牙的可能性。

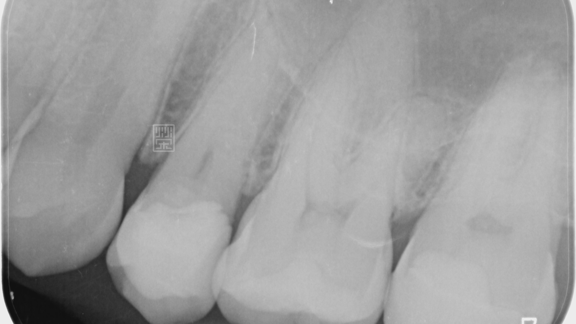
小臼齒齒縫間有個小洞,很容易塞食物

X光檢查下,雖然咬合面的蛀洞小,但是下方有很嚴重的蛀牙

蛀牙拿乾淨後,很像蘋果卡通圖被啃一圈的樣子

另一個角度看清除蛀牙後的狀況

全瓷嵌體修復治療完成

全瓷嵌體修復治療完成

網站照片 IIV.009