第一次的門診,在榮醫師的診療椅上,翁伯描述著這陣子他生活上的不順遂,講話講久一點就會想吐,想吃的東西,都不能吃,原本活躍精彩的生活,一瞬間變成只能在家裡自怨自艾,甚至得了憂鬱症,對生活的失去了動力與期待。
榮醫師第一次就仔細聽他的想法與問題,當下沒有開始治療,榮醫師需要知道他主要的問題,在有限的資源裡,幫他達到最適合他的方式。
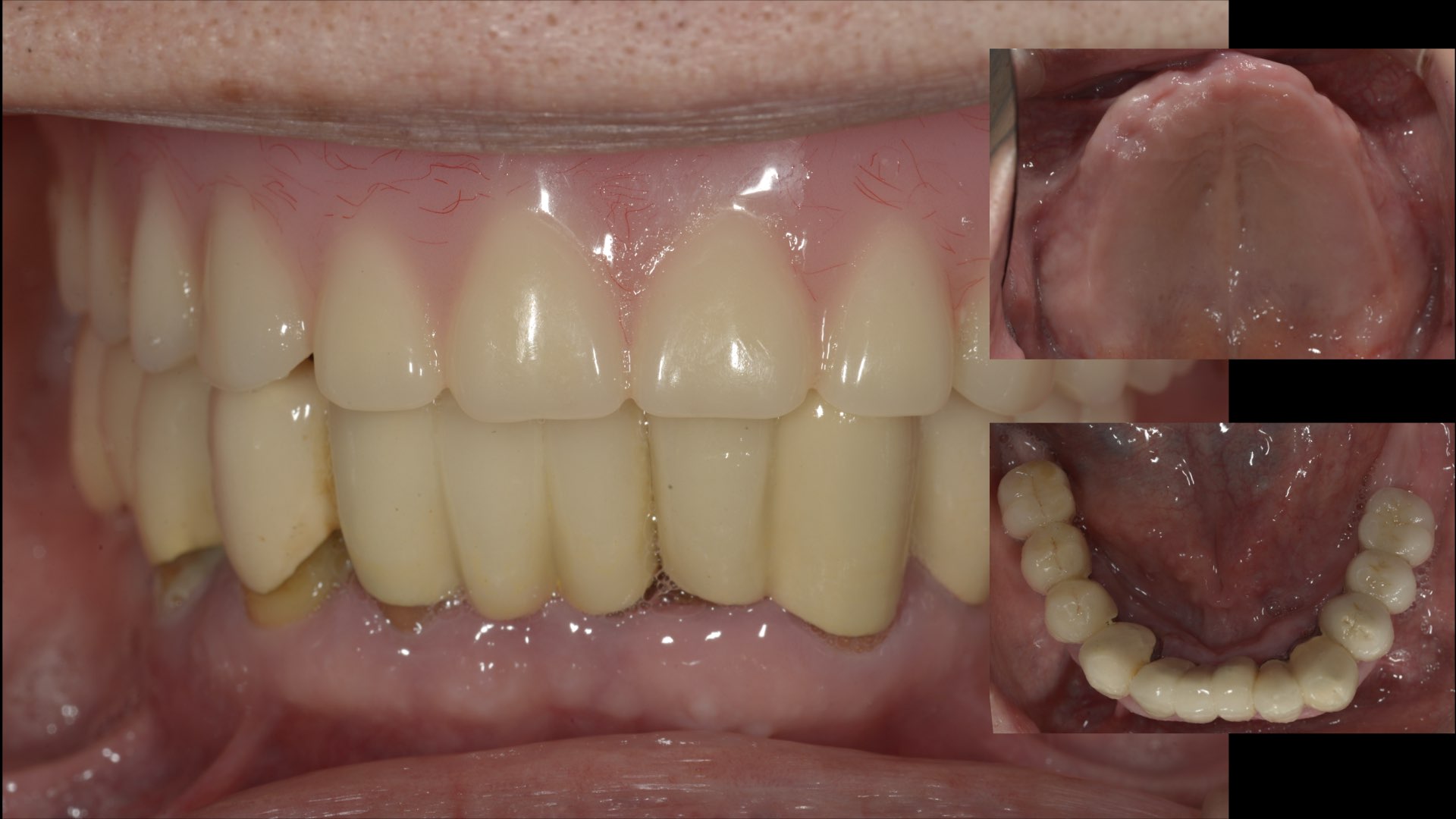
經過幾次調整,先讓假牙穩定,但翁伯對於上顎義齒造成吞嚥不適,講話不清楚一直很困擾,加上下顎舌頭活動時,義齒邊緣造成舌頭不適與異物感也頗困擾。
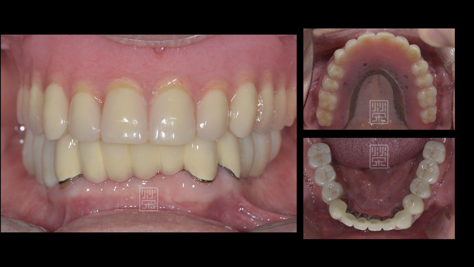
最後與翁伯討論下顎缺牙用植牙修復,上顎加上四顆植牙,增加上顎義齒穩定性,並且將顎側挖空,減少異物感,增加生活的豐富性,讓生活再次回到自在的軌道。

上顎全口義齒併下顎局部活動義齒

上顎增加四顆植牙,活動義齒顎側挖空後,仍可有穩定的功能與美觀

下顎利用局部固定義齒與植牙固定義齒修復


網站照片.050