我的牙齒有異味---植牙、全瓷冠修復

賴小姐覺得門牙假牙有異味,怎麼清潔效果都不好,榮醫師檢查後,發現假牙邊緣有蛀牙的狀況,但是在拆掉假牙後,發現右邊門牙蛀牙狀況遠超過預期,在不想影響其他牙齒的狀況下,決定右邊門牙植牙修復,由於牙齦比較薄,為了防止拔牙植牙後牙齦退縮,在植牙手術當次,合併牙齦轉移,增加牙齦厚度,減少牙齦退縮,等待植牙周圍骨頭癒合,完成全瓷冠治療。
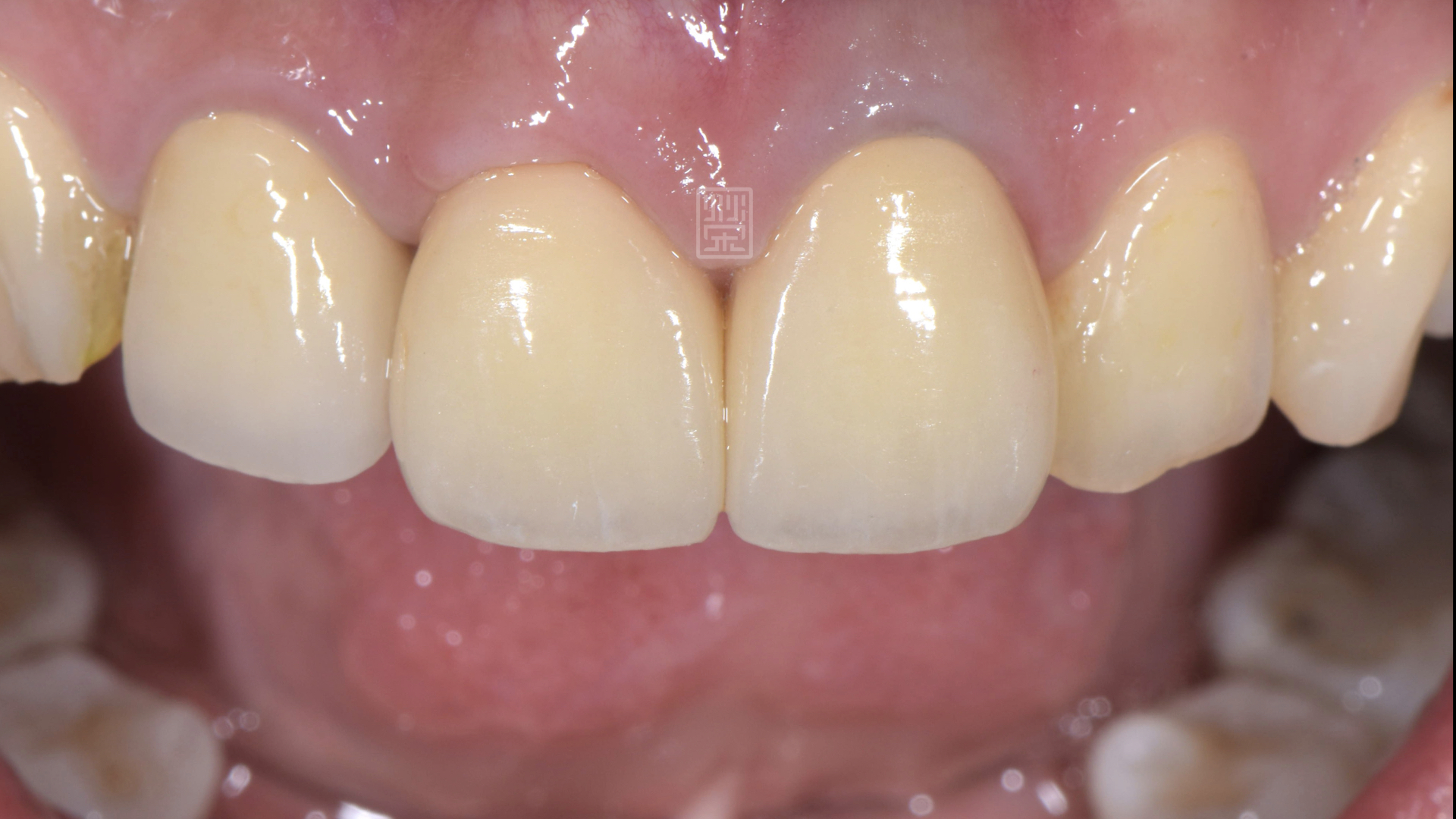
門牙舊假牙有異味
門牙舊假牙有異味

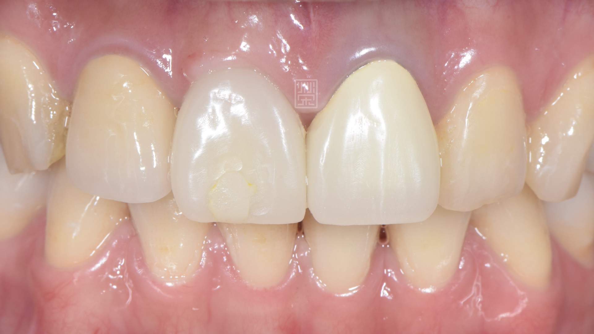
右邊門牙嚴重蛀牙
右邊門牙嚴重蛀牙

右邊門牙嚴重蛀牙
右邊門牙嚴重蛀牙

植牙手術合併牙齦轉移
植牙手術合併牙齦轉移

植牙手術合併牙齦轉移
植牙手術合併牙齦轉移

臨時假牙牙齦調整
臨時假牙牙齦調整

全瓷冠完成
全瓷冠完成