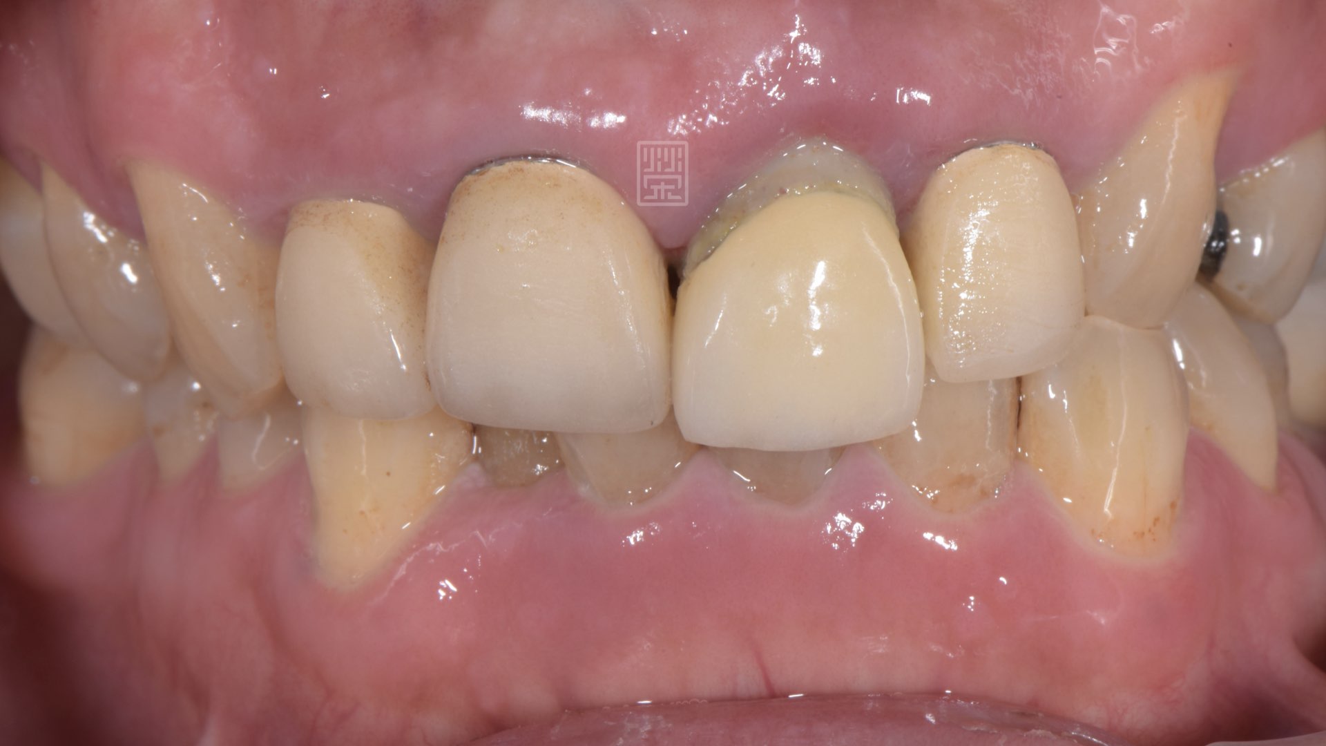
檢查後拍攝X光片,我滴天啊~~哪是牙周病,是牙根斷裂了,黃先生感到非常驚訝,原以為牙齒晃是牙周病,而且沒有撞到,牙齒怎麼會斷了呢?
榮醫師小學堂:每個牙齒的型態都不一樣,也都有不同的角色,前牙比較尖,是拿來剪斷與撕裂食物,後牙比較平面,就像是磨臼一樣,是把食物磨碎的,而前牙中也有細分角色,中門牙側門牙比較平,犬齒比較尖,除了切斷食物與撕裂食物的差異外,左右運動時,標準齒列就會都接觸在犬齒上,也就是力量會集中在犬齒,這就是牙科中所謂的『犬齒導引』或『犬齒保護作用』,為什麼犬齒可以支撐這麼多力量呢?因為犬齒是所有齒列中牙根最長的牙齒,所以可以負擔最多了力量。
黃先生因為齒列不正,往左邊移動時,是由門牙作為力量支撐,加上黃先生有磨牙的習慣,把下顎門牙都磨平了,長期下來,力量集中在門牙,加上門牙已經根管治療,比較脆弱,日積月累下,造成門牙斷裂;所以榮醫師建議除了門牙拔除,補骨植牙外,需要將左側犬齒重新製作牙套,改變咬合,減少對於門牙的力量,否則這次斷的是門牙,長期受力下,難保治療後的門牙植牙,不會產生問題啊。

門齒斷裂造成掉下來

X光片明顯看到中門牙斷裂痕

斷層掃描發現中門牙與側門牙都有斷裂痕

右側運動時,有犬齒導引保護,左側運動時,受力在門齒

牙根拔除後,發現斷裂處骨頭嚴重缺損

再生醫材補骨

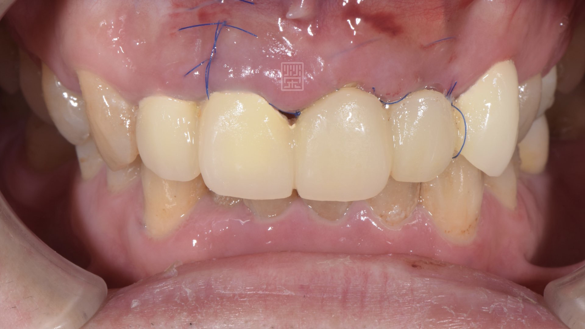
手術後傷口恢復

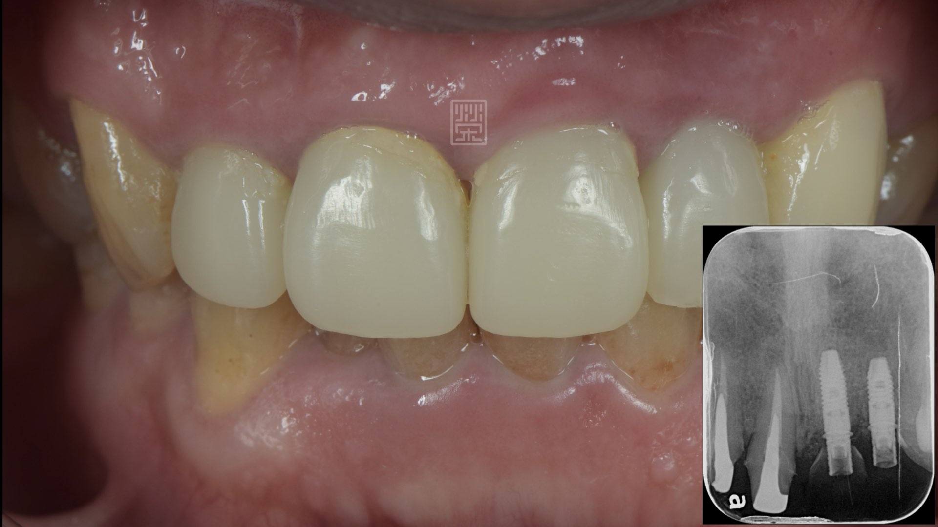
骨頭生長完成,植牙穩定後,接出臨時假牙

臨時假牙功能發音測試

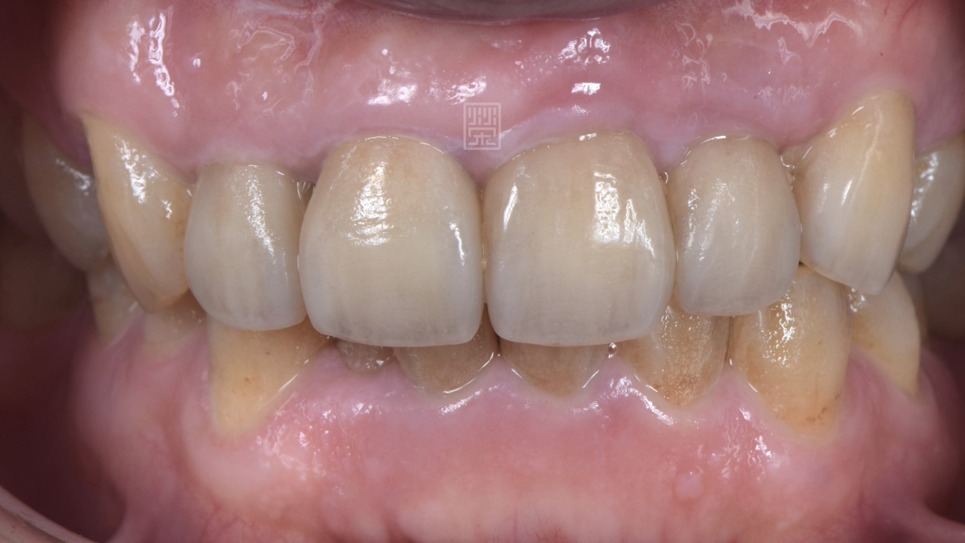
擬真牙齒完成

左側運動與右側運動皆有犬齒導引保護

smile~~