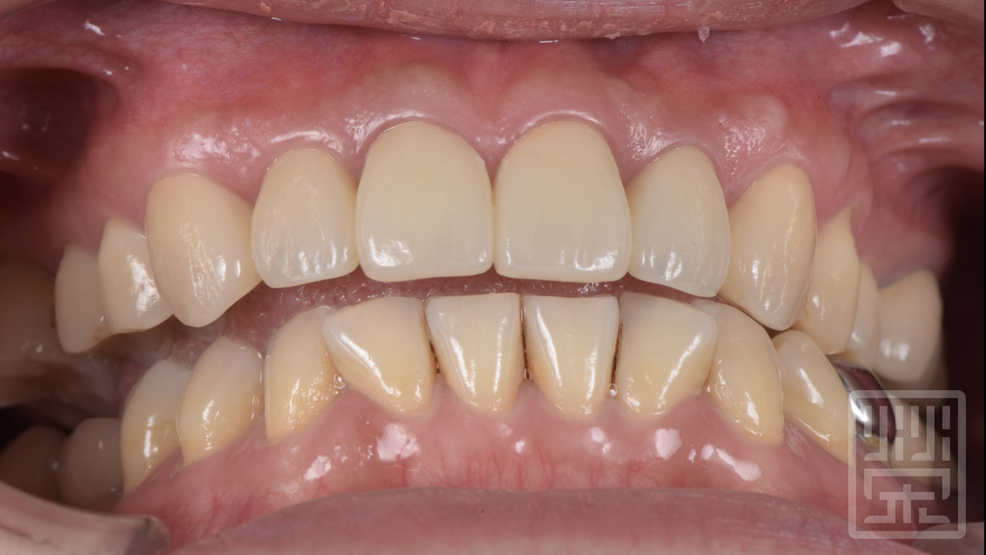
趙小姐有次跟小孩玩耍,玩到開心時,不小心被小孩手上玩具打到,牙齒突然一陣劇痛,之後就無法咬東西。
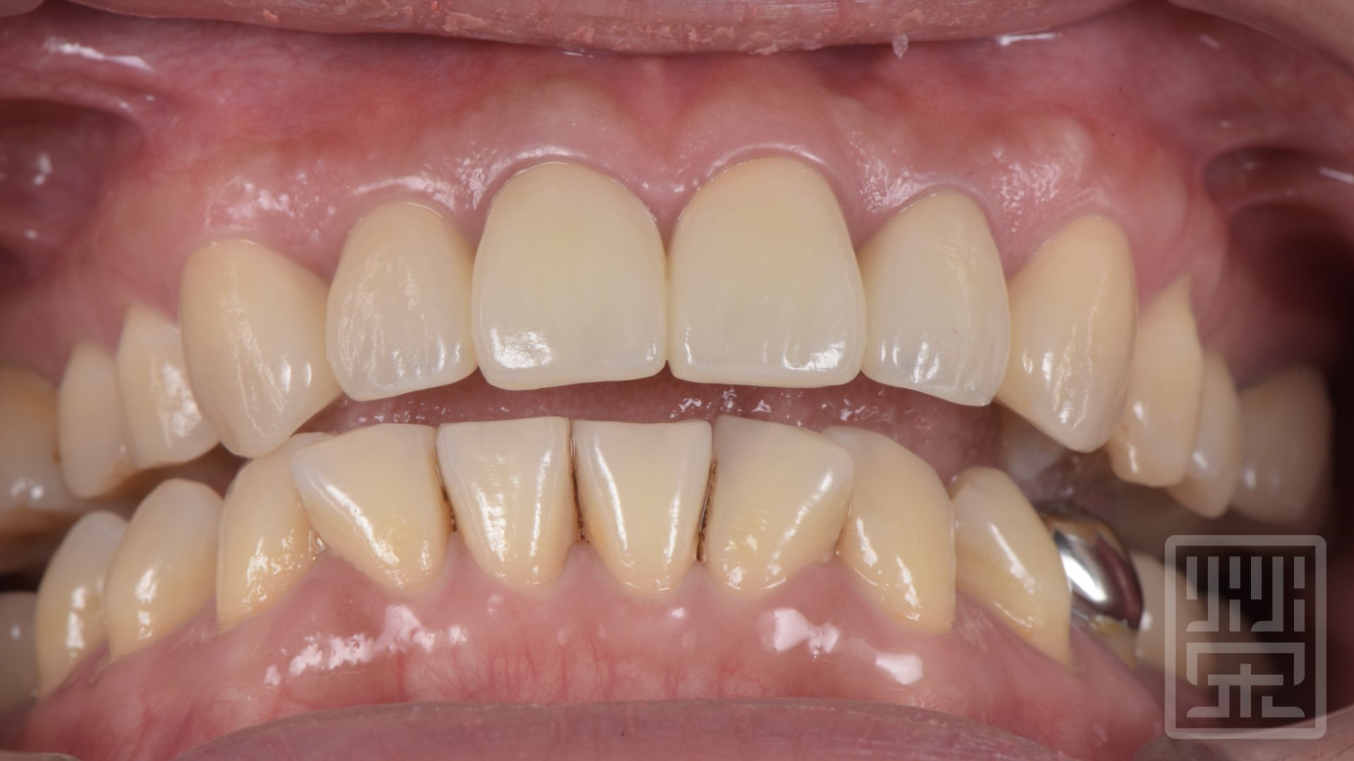
來檢查時,明顯是個裂齒症,X光檢查下,果然牙齒裂了,並且開始長膿皰了,只好計畫將牙齒移除,幸好條件不錯,同時植牙與補骨;加上他兩側犬齒因長期磨牙,造成保護性咬合喪失。
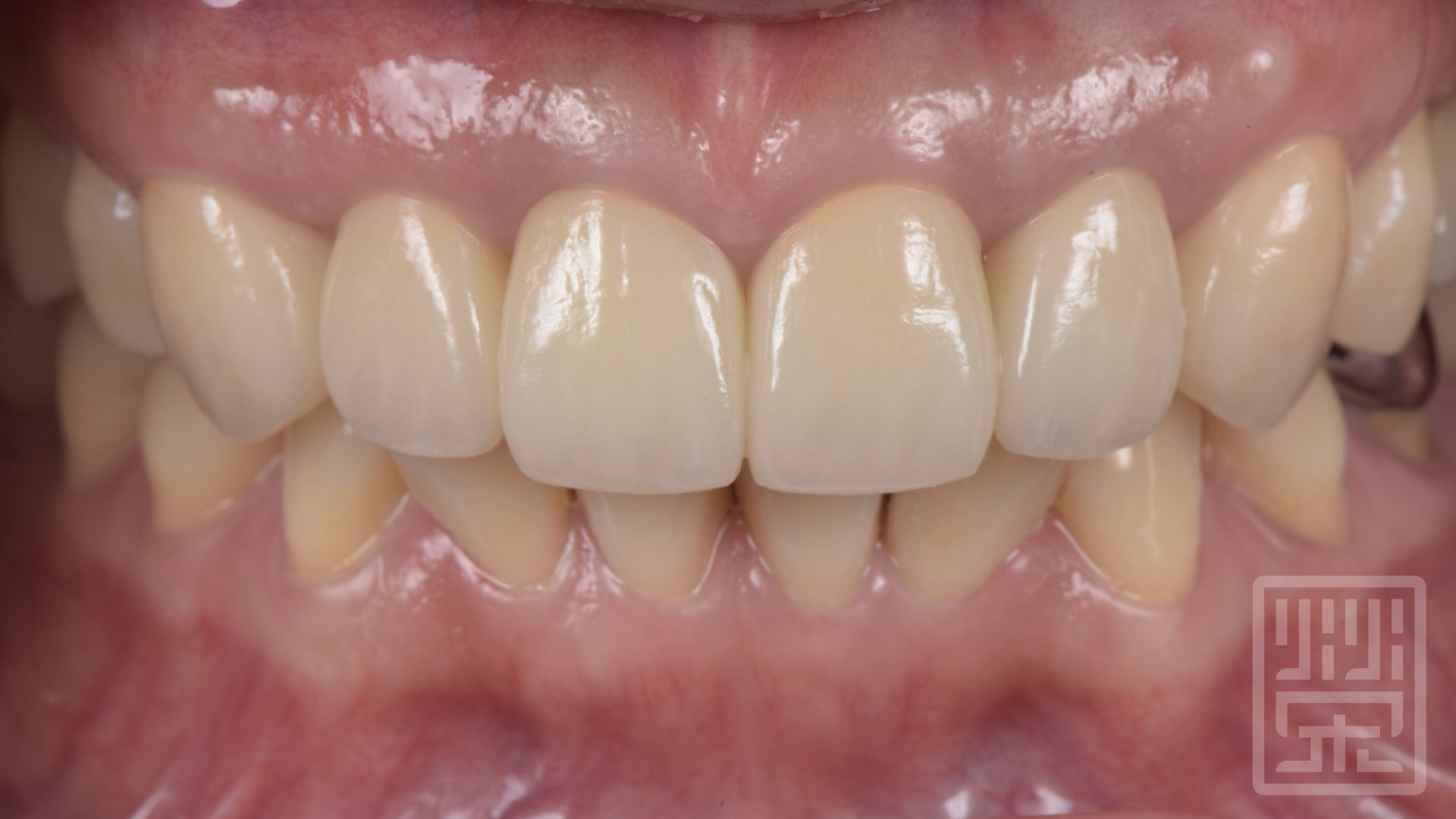
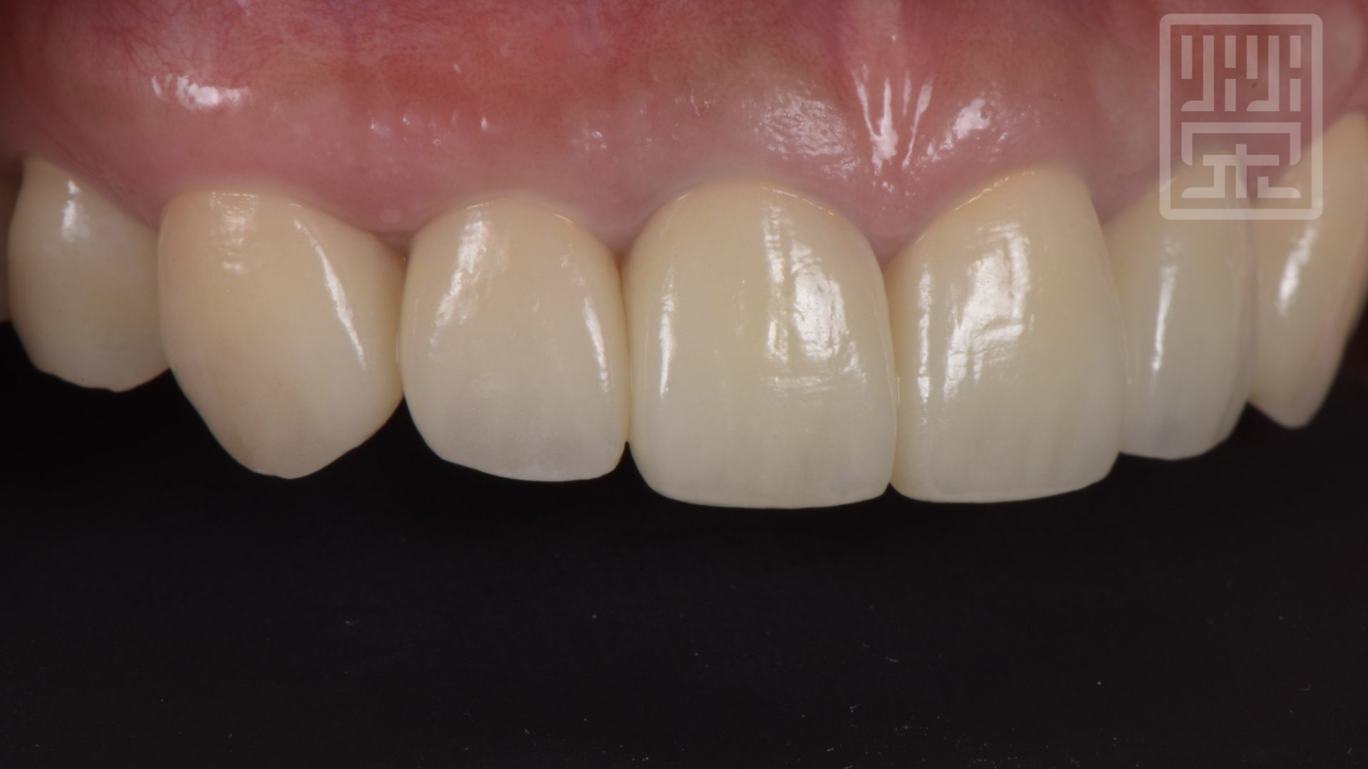
榮醫師建議他兩側上顎犬齒也一起更換全瓷冠,保護牙齒,重新建立保護性咬合。

牙齒斷裂,X光檢查可發現斷裂面

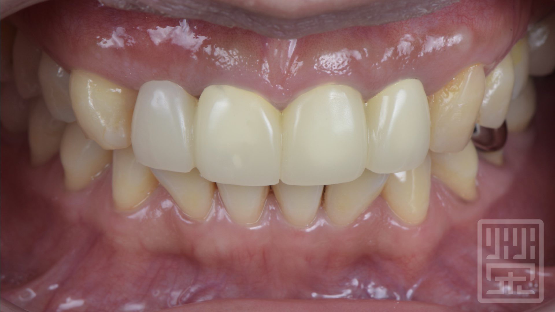
臨時假牙修復

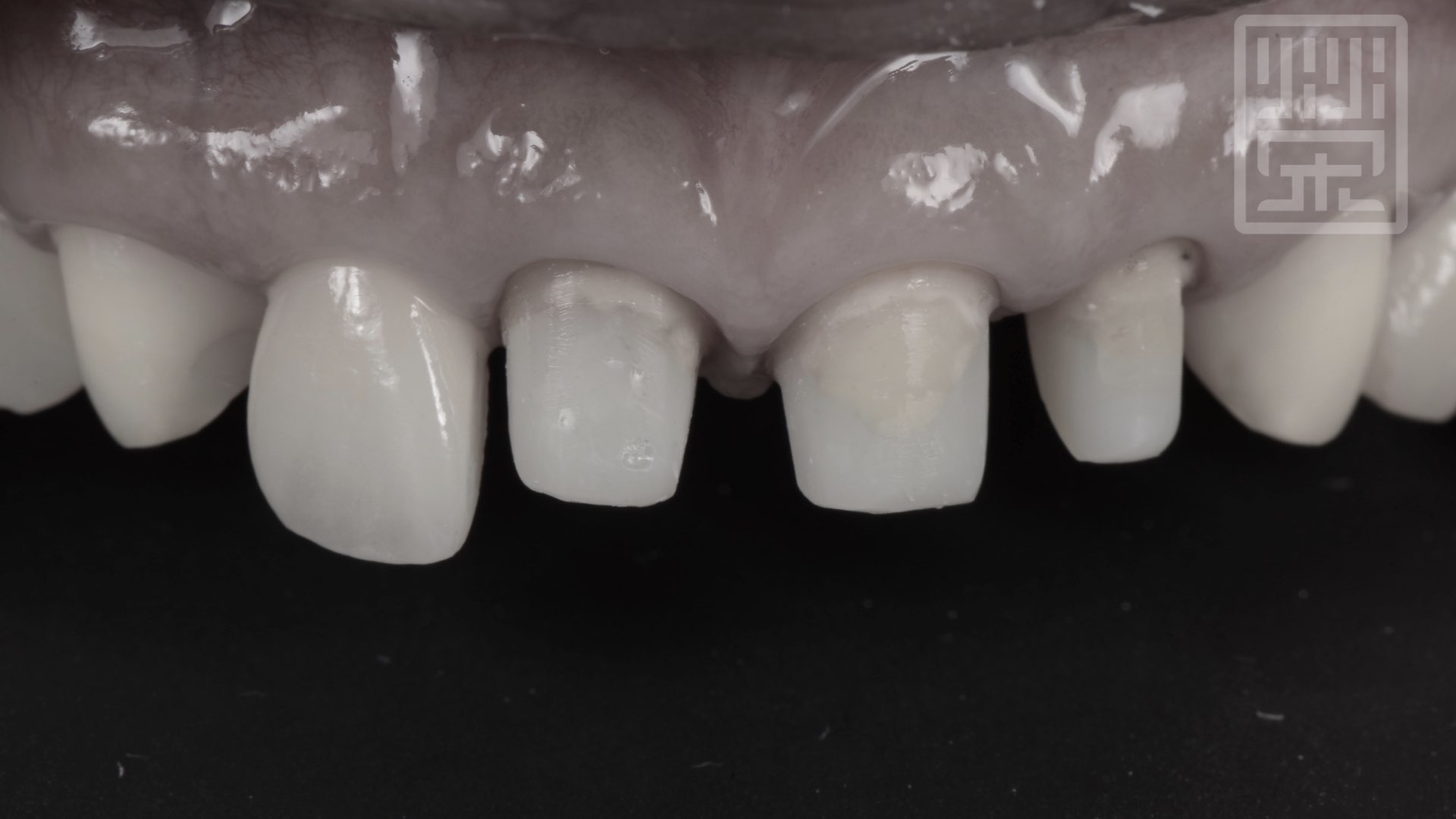
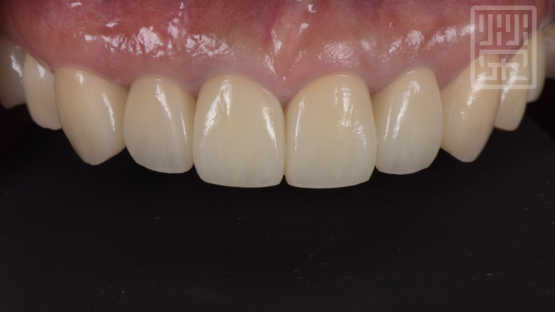
健康的植牙周圍牙齦


植牙全瓷冠修復

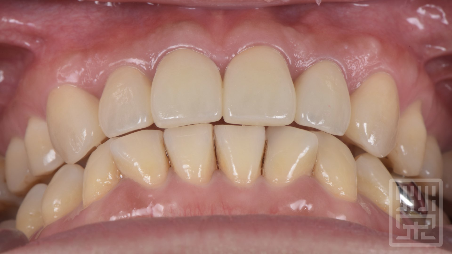
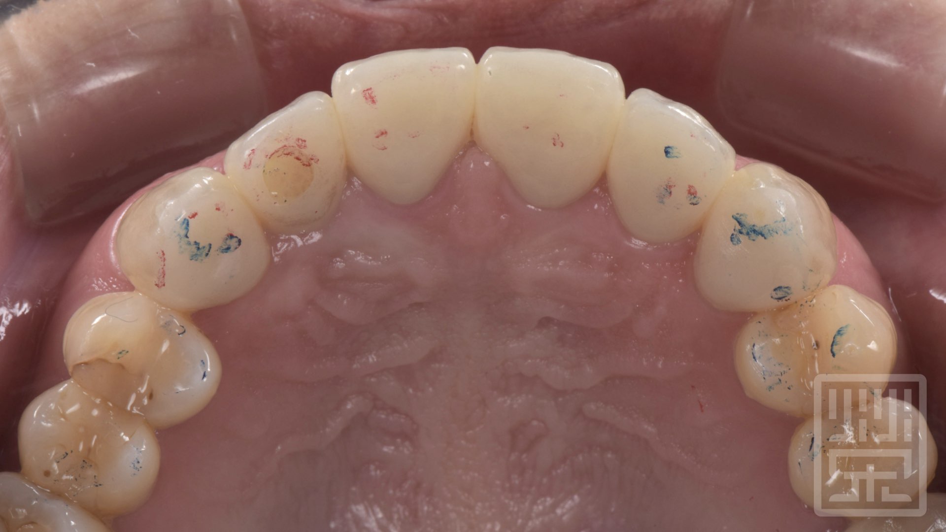
保護性咬合

保護性咬合

保護性咬合

保護性咬合痕跡

植牙全瓷冠

植牙全瓷冠

自信開心的微笑