我的牙齒有點黃,排列不是很整齊---美白、貼片、全瓷冠修復

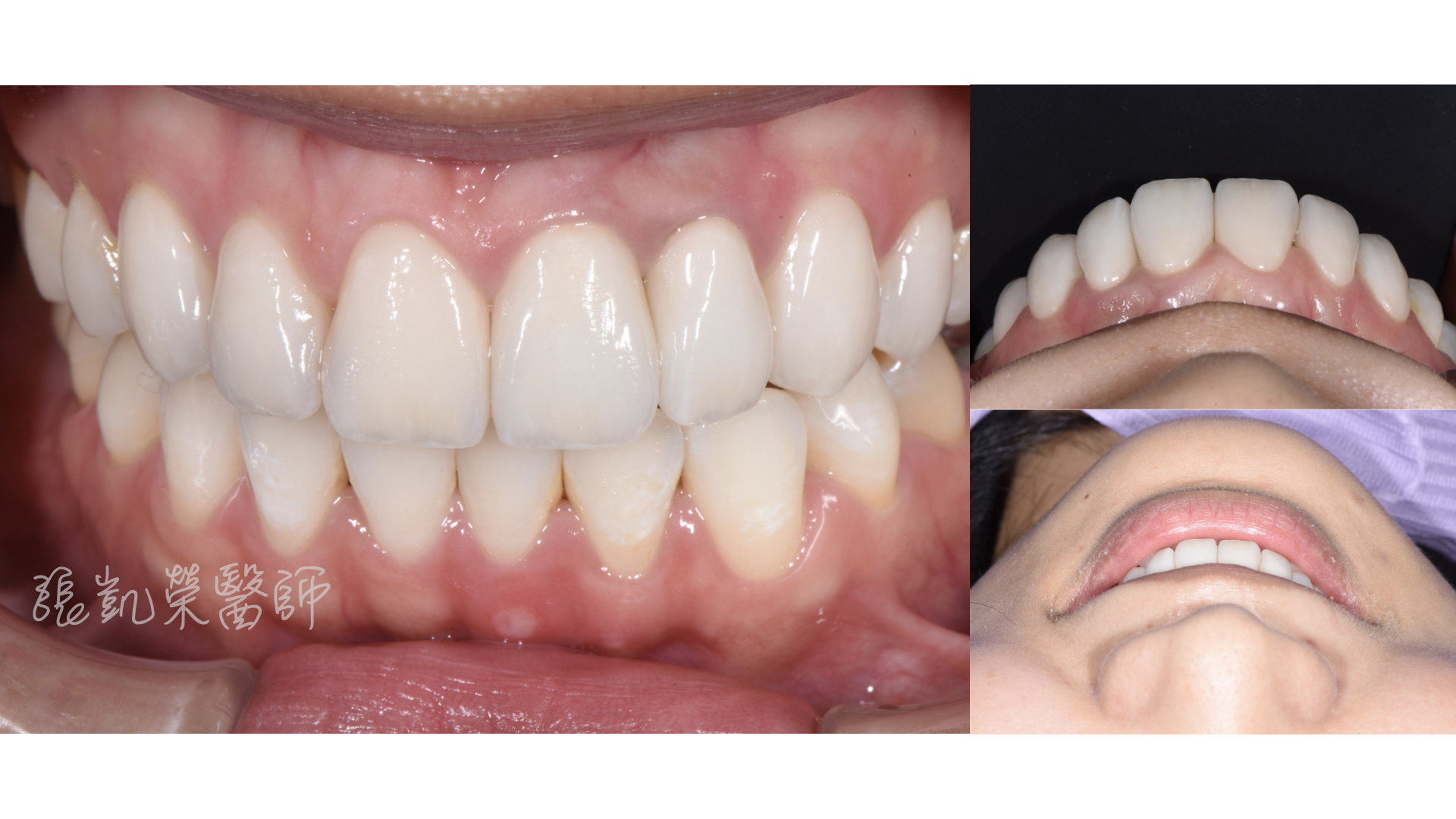
李小姐初次來榮醫師門診時,覺得牙齒偏黃,舊假牙不好看。

榮醫師診斷後,除了上述狀況外,牙齒的水平與中線有點偏斜,主要的是兩側牙齒的位置不太對稱,有一些前後的落差。
因為齒列排整的落差,需要先溝通,確認理想位置,所以榮醫師就先做數位微笑模擬(Digital Smile Design),跟李小姐確認長度、位置都滿意;再藉由美白、貼片、全瓷冠,讓李小姐可以自信開心地開懷大笑。


 






網站照片.004
網站照片.004