牙冠增長術 part III---局部矯正後牙齦調整與穩定

關鍵字:牙冠增長術、牙齦整形、笑齦治療、牙齦萎縮

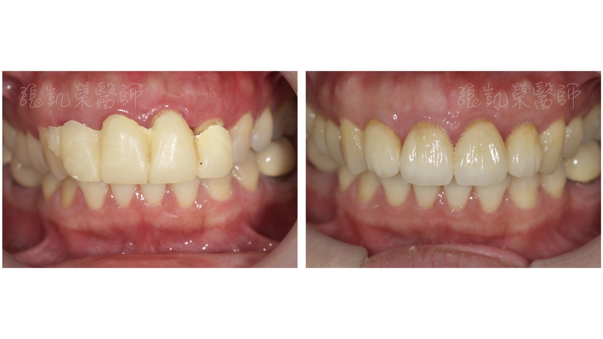
牙冠增長術 part III---局部矯正後牙齦調整與穩定


當牙齒原本有牙周病或是牙根排列造成牙齦萎縮,可以藉由輕微的矯正治療,隨著牙齒拉出,可將牙齦拉出,達到適當的比例。

但是牙齒拉出時,牙根尖周圍的骨頭還未長出,再加上牙周韌帶回彈的拉力,可能將牙齒拉回原本的位置。

所以在牙齒達到理想的位置時,需要做牙齦手術,將牙齒周圍的牙周韌帶局部切除,再加上矯正線的固定一段時間,讓牙齒與牙齦穩定,才能完成適當型態與穩定性佳的全瓷冠。