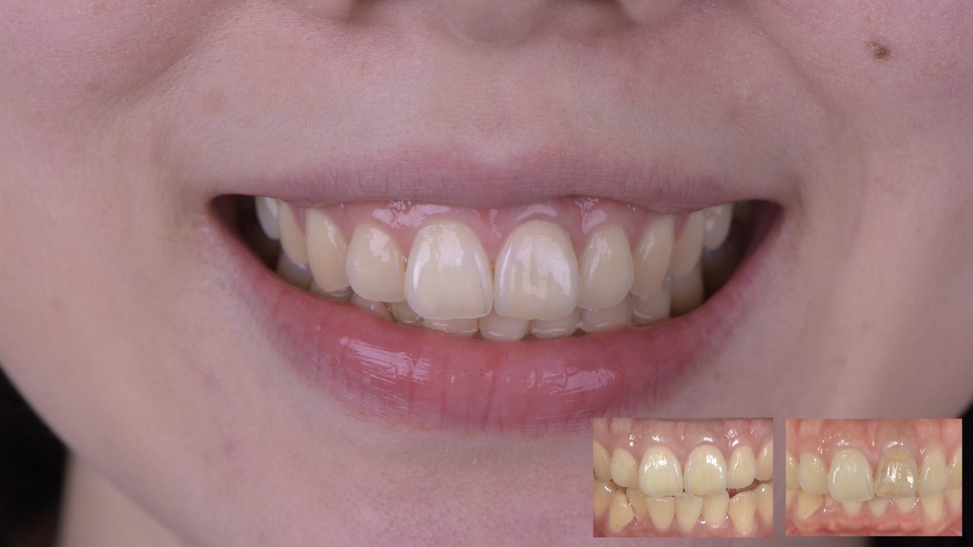
當牙齒接受過根管治療後,牙齒會慢慢變深,變得跟旁邊的牙齒顏色不同,或是根管治療後,旁邊填補的樹脂顏色改變了,造成與鄰接牙齒顏色不協調。
這時的處理相對單純,如果牙齒變色只局限於牙冠,牙齦處沒有明顯差異,就只需要要更換全瓷牙套。




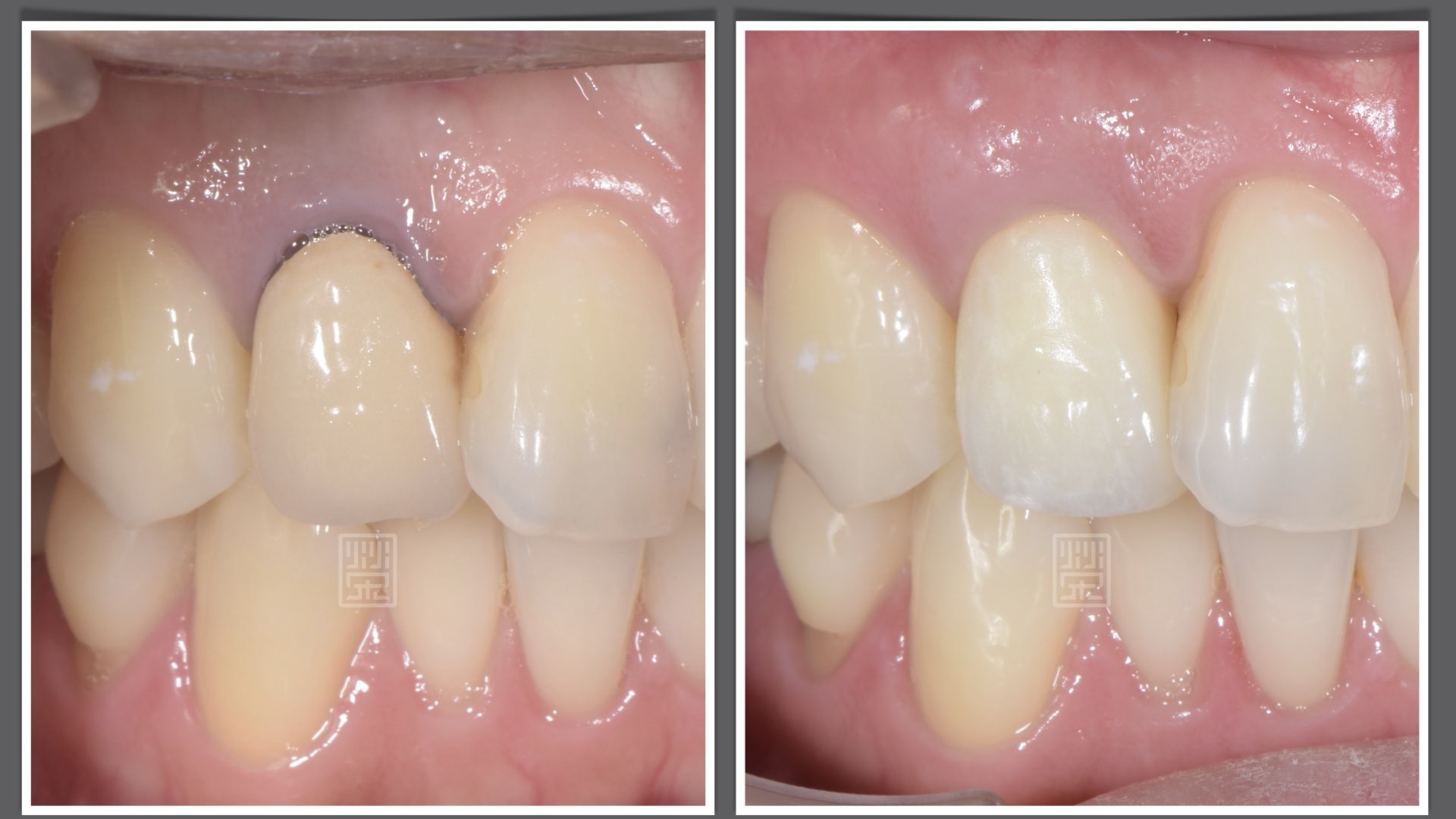
當牙齒接受過根管治療後,牙齒會慢慢變深,變得跟旁邊的牙齒顏色不同,或是根管治療後,旁邊填補的樹脂顏色改變了,造成與鄰接牙齒顏色不協調。
這時的處理相對單純,如果牙齒變色只局限於牙冠,牙齦處沒有明顯差異,就只需要要更換全瓷牙套。



